Suppr超能文献

惊恐障碍患者因过度通气引发冠状动脉痉挛导致心室颤动:病例报告

Ventricular fibrillation due to coronary vasospasm triggered by hyperventilation in a patient with panic disorder: case report.

作者信息

Takimoto Shota, Masuda Shinichiro, Tanimoto Shuzou, Ogata Nobuhiko, Isshiki Takaaki

机构信息

Department of Cardiology, Ageo Central General Hospital, Saitama, Japan.

出版信息

Eur Heart J Case Rep. 2025 Aug 18;9(9):ytaf383. doi: 10.1093/ehjcr/ytaf383. eCollection 2025 Sep.

Abstract

BACKGROUND

Panic attacks can trigger hyperventilation, which has been associated with the induction of coronary vasospasm. The resulting vasospasm may cause myocardial ischaemia and trigger life-threatening arrhythmias. Patients with panic disorders experiencing hyperventilation sometimes present with symptoms similar to those of acute coronary syndrome, making it difficult to determine their origin.

CASE SUMMARY

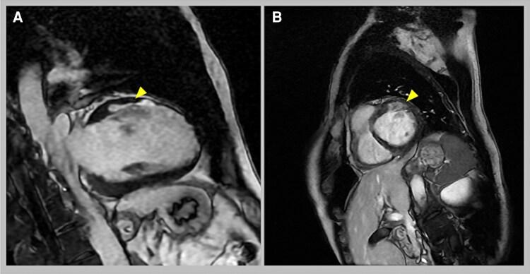
A 37-year-old man with a history of panic disorder was transported to our institute after he experienced hyperventilation during a panic attack and developed chest pain and a subsequent loss of consciousness. During transportation, ventricular fibrillation was observed on electrocardiography, and sinus rhythm was successfully restored with defibrillation. Suspecting hyperventilation-induced coronary vasospasm, a hyperventilation test was performed, which induced 90% coronary spasm accompanied by chest pain. An acetylcholine (ACh) provocation test revealed total occlusion of the left main bifurcation, with significant ischaemic ST-T elevation. Medication with a calcium channel blocker (nifedipine 40 mg per day), nitrate (isosorbide dinitrate 40 mg per day), and statin (rosuvastatin 20 mg per day) was initiated. Three months later, a repeat ACh provocation test performed to assess response to the medications revealed 90% stenosis with ischaemic ST-T changes and chest discomfort. Subsequently, a subcutaneous cardioverter defibrillator was implanted to address refractory vasospastic angina.

DISCUSSION

Herein, ventricular fibrillation was likely caused by coronary spasm induced by hyperventilation during the panic attack. Regarding the management of patients with panic disorder who present with chest pain, clinicians should carefully assess the symptoms and consider hyperventilation-induced coronary spasm as a differential diagnosis.

摘要

背景

惊恐发作可引发过度通气,这与冠状动脉痉挛的诱发有关。由此产生的血管痉挛可能导致心肌缺血并引发危及生命的心律失常。患有惊恐障碍且经历过度通气的患者有时会出现与急性冠状动脉综合征相似的症状,这使得难以确定其病因。

病例摘要

一名有惊恐障碍病史的37岁男性在惊恐发作期间经历过度通气并出现胸痛,随后失去意识,被送往我院。在转运过程中,心电图显示心室颤动,通过除颤成功恢复窦性心律。怀疑是过度通气诱发的冠状动脉痉挛,进行了过度通气试验,该试验诱发了90%的冠状动脉痉挛并伴有胸痛。乙酰胆碱(ACh)激发试验显示左主分叉完全闭塞,伴有明显的缺血性ST-T段抬高。开始使用钙通道阻滞剂(硝苯地平每日40毫克)、硝酸盐(硝酸异山梨酯每日40毫克)和他汀类药物(瑞舒伐他汀每日20毫克)治疗。三个月后,为评估药物反应而进行的重复ACh激发试验显示有90%的狭窄,伴有缺血性ST-T改变和胸部不适。随后,植入了皮下心脏复律除颤器以治疗难治性血管痉挛性心绞痛。

讨论

在此病例中,心室颤动可能是由惊恐发作期间过度通气诱发的冠状动脉痉挛所致。对于出现胸痛的惊恐障碍患者的管理,临床医生应仔细评估症状,并将过度通气诱发的冠状动脉痉挛作为鉴别诊断考虑。

https://cdn.ncbi.nlm.nih.gov/pmc/blobs/cd10/12396383/2deddff17b2d/ytaf383il2.jpg

文献检索

告别复杂PubMed语法,用中文像聊天一样搜索,搜遍4000万医学文献。AI智能推荐,让科研检索更轻松。

立即免费搜索

文件翻译

保留排版,准确专业,支持PDF/Word/PPT等文件格式,支持 12+语言互译。

免费翻译文档

深度研究

AI帮你快速写综述,25分钟生成高质量综述,智能提取关键信息,辅助科研写作。

立即免费体验