Suppr超能文献

在磨牙过度萌出的小鼠模型中,部分牙骨质细胞消融不会减少细胞性牙骨质的沉积。

Partial cementocyte ablation does not reduce cellular cementum apposition in a mouse model of molar super-eruption.

作者信息

Mohamed Fatma F, Phanrungsuwan Aonjittra, Nociti Francisco H, Foster Brian L

机构信息

Division of Biosciences, College of Dentistry, The Ohio State University, Columbus, OH, USA.

American Dental Association, Department of Evidence-Based Dentistry, Chicago, IL, USA.

出版信息

Bone Rep. 2025 Aug 15;26:101873. doi: 10.1016/j.bonr.2025.101873. eCollection 2025 Sep.

Abstract

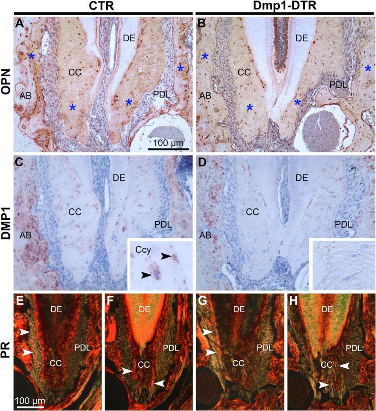
Cementocytes reside in the cellular cementum of the apical tooth root and resemble bone osteocytes in their markers, lacunocanalicular network, and response to mineralization defects. However, it is unclear if cementocytes have a role in regulating cellular cementum similar to that of osteocytes in controlling bone formation and resorption. The Dmp1Cre-iDTR (Dmp1-DTR) mouse sensitizes -expressing cells, including osteocytes and cementocytes, to diphtheria toxin (DT), allowing selective ablation of cell populations. Compared to iDTR control (CTR) mice, 1.0 μg/kg intraperitoneal DT administration at 6 and 8 weeks of age increased femur cortical bone porosity and reduced alveolar bone density in Dmp1-DTR mice, validating the model. DT administration eliminated approximately 80 % of alveolar bone osteocytes and 60 % of cementocytes in -iDTR mice. Mice were subjected to the challenge of unopposed first molar super-eruption, which promotes increased cellular cementum apposition. Maxillary molars were bilaterally extracted at 7 weeks, and effects on cellular cementum accumulation in mandibular first molars were analyzed at 3 weeks post-procedure using micro-computed tomography and histology. DT-directed cementocyte ablation did not alter cellular cementum volume, density, or porosity vs. CTR mice. Immunostaining showed similar distributions between treatment groups of osteopontin (OPN), an extracellular matrix protein associated with axial tooth movement. Localization of DMP1 in cellular cementum and cementocyte networks of Dmp1-DTR mice appeared reduced compared to CTR mice. Within the limits of the study, these results suggest that cementocytes are not essential for new cellular cementum formation under challenge. Further insights into roles for cementocytes require additional in vivo approaches.

摘要

牙骨质细胞存在于牙根尖部的细胞性牙骨质中,在标志物、陷窝小管网络以及对矿化缺陷的反应方面与骨细胞相似。然而,目前尚不清楚牙骨质细胞是否具有类似于骨细胞在控制骨形成和吸收方面那样调节细胞性牙骨质的作用。Dmp1Cre-iDTR(Dmp1-DTR)小鼠使包括骨细胞和牙骨质细胞在内的表达细胞对白喉毒素(DT)敏感,从而能够选择性地消融细胞群体。与iDTR对照(CTR)小鼠相比,在6周龄和8周龄时腹腔注射1.0 μg/kg DT可增加Dmp1-DTR小鼠的股骨皮质骨孔隙率并降低牙槽骨密度,验证了该模型。在Dmp1-iDTR小鼠中,注射DT消除了约80%的牙槽骨骨细胞和60%的牙骨质细胞。对小鼠进行第一磨牙无对抗性过度萌出的挑战,这会促进细胞性牙骨质附着增加。在7周时双侧拔除上颌磨牙,并在手术后3周使用微型计算机断层扫描和组织学分析对下颌第一磨牙中细胞性牙骨质积累的影响。与CTR小鼠相比,DT介导的牙骨质细胞消融并未改变细胞性牙骨质的体积、密度或孔隙率。免疫染色显示,与轴向牙齿移动相关的细胞外基质蛋白骨桥蛋白(OPN)在治疗组之间的分布相似。与CTR小鼠相比,Dmp1-DTR小鼠的细胞性牙骨质和牙骨质细胞网络中DMP1的定位似乎减少。在本研究的范围内,这些结果表明牙骨质细胞对于在挑战情况下新的细胞性牙骨质形成并非必不可少。对牙骨质细胞作用的进一步深入了解需要更多的体内研究方法。

https://cdn.ncbi.nlm.nih.gov/pmc/blobs/fe66/12391567/f595a4efcaaa/gr1.jpg

文献AI研究员

20分钟写一篇综述,助力文献阅读效率提升50倍。

立即体验

用中文搜PubMed

大模型驱动的PubMed中文搜索引擎

马上搜索

文档翻译

学术文献翻译模型,支持多种主流文档格式。

立即体验