• 文献检索
  • 文档翻译
  • 深度研究
  • 学术资讯
  • Suppr Zotero 插件Zotero 插件
  • 邀请有礼
  • 套餐&价格
  • 历史记录
应用&插件
Suppr Zotero 插件Zotero 插件浏览器插件Mac 客户端Windows 客户端微信小程序
定价
高级版会员购买积分包购买API积分包
服务
文献检索文档翻译深度研究API 文档MCP 服务
关于我们
关于 Suppr公司介绍联系我们用户协议隐私条款
关注我们

Suppr 超能文献

核心技术专利:CN118964589B侵权必究
粤ICP备2023148730 号-1Suppr @ 2026

文献检索

告别复杂PubMed语法,用中文像聊天一样搜索,搜遍4000万医学文献。AI智能推荐,让科研检索更轻松。

立即免费搜索

文件翻译

保留排版,准确专业,支持PDF/Word/PPT等文件格式,支持 12+语言互译。

免费翻译文档

深度研究

AI帮你快速写综述,25分钟生成高质量综述,智能提取关键信息,辅助科研写作。

立即免费体验

CPNE5过表达通过促进FAS受体的降解来抑制心肌细胞凋亡。

CPNE5 overexpression inhibits cardiomyocytes apoptosis by promoting the degradation of FAS receptor.

作者信息

Zhao Tingting, Bai Yangjinming, Fei Yudong, Wei Zhixing, Yao Pengcheng, Che Qianji, Zhang Yichao, Yan Ji, Chen Kaiyan, Wu Zhengyang, Qiu Junhao, Wang Yuepeng, Li Wei, Wang Qian, Li Yigang

机构信息

Department of Cardiology, Xinhua Hospital Affiliated to Shanghai Jiao Tong University School of Medicine, 1665 Kongjiang Road, Shanghai 200092, China.

出版信息

iScience. 2025 Aug 6;28(9):113302. doi: 10.1016/j.isci.2025.113302. eCollection 2025 Sep 19.

DOI:10.1016/j.isci.2025.113302
PMID:40894904
原文链接:https://pmc.ncbi.nlm.nih.gov/articles/PMC12398889/
Abstract

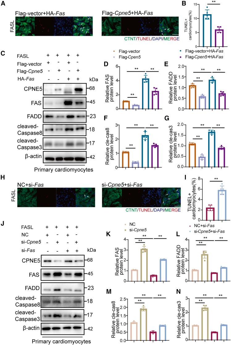
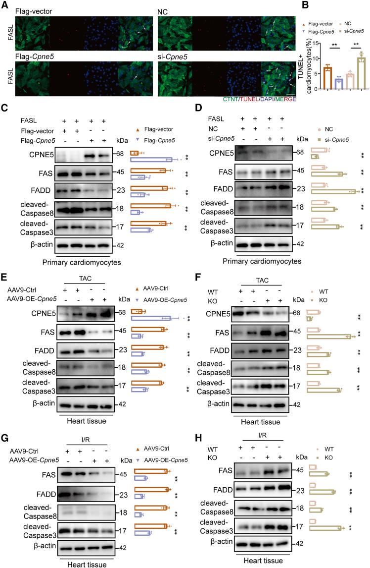
CPNE5, a member of the Copine family, is characterized by its membrane-binding properties and functions as a regulatory modulator of intracellular signaling through the spatial redistribution of interacting protein partners. Emerging evidence has demonstrated that CPNE3 exerts cardioprotective effects via anti-apoptotic activity in myocardial ischemia-reperfusion injury models. However, the functional role of CPNE5 in cardiac pathology remains unclear. In this study, the cardiac-specific overexpression of CPNE5 in mice improved cardiac function, reduced cellular apoptosis, and attenuated cardiac fibrosis in both transverse aortic constriction and ischemia-reperfusion models. Conversely, CPNE5 knockout mice exhibited opposite pathological phenotypes. Mechanistic studies revealed that CPNE5 retains FAS within the endoplasmic reticulum and promotes its degradation through the ER-phagy pathway. This process involves CPNE5's interaction with the autophagy marker LC3 and CALCOCO1, a key receptor in the ER-lysosome-associated degradation (ERLAD) pathway. Collectively, these findings indicate that CPNE5 overexpression protects cardiomyocytes against FASL-induced apoptosis under stress and ischemic conditions.

摘要

CPNE5是Copine家族的成员之一,其特点是具有膜结合特性,并通过相互作用的蛋白质伙伴的空间重新分布,作为细胞内信号传导的调节调节剂发挥作用。新出现的证据表明,在心肌缺血-再灌注损伤模型中,CPNE3通过抗凋亡活性发挥心脏保护作用。然而,CPNE5在心脏病理中的功能作用仍不清楚。在本研究中,在小鼠中特异性过表达CPNE5可改善心脏功能,减少细胞凋亡,并减轻横向主动脉缩窄和缺血-再灌注模型中的心脏纤维化。相反,CPNE5基因敲除小鼠表现出相反的病理表型。机制研究表明,CPNE5将FAS保留在内质网中,并通过内质网自噬途径促进其降解。这个过程涉及CPNE5与自噬标记物LC3和CALCOCO1的相互作用,CALCOCO1是内质网-溶酶体相关降解(ERLAD)途径中的关键受体。总的来说,这些发现表明,CPNE5过表达可在应激和缺血条件下保护心肌细胞免受FASL诱导的凋亡。

https://cdn.ncbi.nlm.nih.gov/pmc/blobs/6a3e/12398889/1283629c2754/gr8.jpg
https://cdn.ncbi.nlm.nih.gov/pmc/blobs/6a3e/12398889/142a219028b1/fx1.jpg
https://cdn.ncbi.nlm.nih.gov/pmc/blobs/6a3e/12398889/16bd6c66b9b0/gr1.jpg
https://cdn.ncbi.nlm.nih.gov/pmc/blobs/6a3e/12398889/5845c88a57e5/gr2.jpg
https://cdn.ncbi.nlm.nih.gov/pmc/blobs/6a3e/12398889/f10097efb30f/gr3.jpg
https://cdn.ncbi.nlm.nih.gov/pmc/blobs/6a3e/12398889/a4d0ad0ac7ba/gr4.jpg
https://cdn.ncbi.nlm.nih.gov/pmc/blobs/6a3e/12398889/4f6e72186229/gr5.jpg
https://cdn.ncbi.nlm.nih.gov/pmc/blobs/6a3e/12398889/32f518606856/gr6.jpg
https://cdn.ncbi.nlm.nih.gov/pmc/blobs/6a3e/12398889/f0bc495f65ff/gr7.jpg
https://cdn.ncbi.nlm.nih.gov/pmc/blobs/6a3e/12398889/1283629c2754/gr8.jpg
https://cdn.ncbi.nlm.nih.gov/pmc/blobs/6a3e/12398889/142a219028b1/fx1.jpg
https://cdn.ncbi.nlm.nih.gov/pmc/blobs/6a3e/12398889/16bd6c66b9b0/gr1.jpg
https://cdn.ncbi.nlm.nih.gov/pmc/blobs/6a3e/12398889/5845c88a57e5/gr2.jpg
https://cdn.ncbi.nlm.nih.gov/pmc/blobs/6a3e/12398889/f10097efb30f/gr3.jpg
https://cdn.ncbi.nlm.nih.gov/pmc/blobs/6a3e/12398889/a4d0ad0ac7ba/gr4.jpg
https://cdn.ncbi.nlm.nih.gov/pmc/blobs/6a3e/12398889/4f6e72186229/gr5.jpg
https://cdn.ncbi.nlm.nih.gov/pmc/blobs/6a3e/12398889/32f518606856/gr6.jpg
https://cdn.ncbi.nlm.nih.gov/pmc/blobs/6a3e/12398889/f0bc495f65ff/gr7.jpg
https://cdn.ncbi.nlm.nih.gov/pmc/blobs/6a3e/12398889/1283629c2754/gr8.jpg

相似文献

1
CPNE5 overexpression inhibits cardiomyocytes apoptosis by promoting the degradation of FAS receptor.CPNE5过表达通过促进FAS受体的降解来抑制心肌细胞凋亡。
iScience. 2025 Aug 6;28(9):113302. doi: 10.1016/j.isci.2025.113302. eCollection 2025 Sep 19.
2
GRINA alleviates hepatic ischemia‒reperfusion injury-induced apoptosis and ER-phagy by enhancing HRD1-mediated ATF6 ubiquitination.GRINA通过增强HRD1介导的ATF6泛素化来减轻肝缺血再灌注损伤诱导的细胞凋亡和内质网自噬。
J Hepatol. 2025 Jan 22. doi: 10.1016/j.jhep.2025.01.012.
3
Mitochondrial Tumor Suppressor 1A Attenuates Myocardial Infarction Injury by Maintaining the Coupling Between Mitochondria and Endoplasmic Reticulum.线粒体肿瘤抑制因子1A通过维持线粒体与内质网之间的偶联减轻心肌梗死损伤。
Circulation. 2025 Jun 30. doi: 10.1161/CIRCULATIONAHA.124.069737.
4
Prescription of Controlled Substances: Benefits and Risks管制药品的处方:益处与风险
5
Loganin protects against myocardial ischemia-reperfusion injury by modulating oxidative stress and cellular apoptosis via activation of JAK2/STAT3 signaling.毛兰素通过激活 JAK2/STAT3 信号通路调节氧化应激和细胞凋亡来保护心肌缺血再灌注损伤。
Int J Cardiol. 2024 Jan 15;395:131426. doi: 10.1016/j.ijcard.2023.131426. Epub 2023 Oct 9.
6
A novel ER stress regulator ARL6IP5 induces reticulophagy to ameliorate the prion burden.一种新型内质网应激调节剂ARL6IP5诱导网织红细胞自噬以减轻朊病毒负担。
Autophagy. 2025 Mar;21(3):598-618. doi: 10.1080/15548627.2024.2410670. Epub 2024 Oct 24.
7
eIF4A1 exacerbates myocardial ischemia-reperfusion injury in mice by promoting nuclear translocation of transgelin/p53.真核起始因子4A1通过促进转胶蛋白/p53的核转位加重小鼠心肌缺血再灌注损伤。
Acta Pharmacol Sin. 2025 May;46(5):1236-1249. doi: 10.1038/s41401-024-01467-6. Epub 2025 Jan 24.
8
FICD (FIC Domain Protein Adenylyl Transferase) Deficiency Protects Mice From Hypertrophy-Induced Heart Failure and Promotes BiP (Binding Immunoglobulin Protein) -Mediated Activation of the Unfolded Protein Response and Endoplasmic Reticulum-Selective Autophagy in Cardiomyocytes.FICD(FIC结构域蛋白腺苷酸转移酶)缺乏可保护小鼠免受肥大诱导的心力衰竭,并促进心肌细胞中BiP(结合免疫球蛋白蛋白)介导的未折叠蛋白反应激活和内质网选择性自噬。
J Am Heart Assoc. 2025 Aug 19;14(16):e040192. doi: 10.1161/JAHA.124.040192. Epub 2025 Aug 18.
9
Maresin1 ameliorates osseointegration in type 2 diabetes mellitus by promoting FAM134B-mediated ER-phagy in osteoblasts.maresin1通过促进成骨细胞中FAM134B介导的内质网自噬改善2型糖尿病中的骨整合。
Biochem Pharmacol. 2025 Jul 4;240:117099. doi: 10.1016/j.bcp.2025.117099.
10
Ershiwuwei Shanhu pills alleviates cerebral ischemia injury in rats by regulating endoplasmic reticulum stress through GRP78/XBP1/CHOP pathway.二十五味珊瑚丸通过GRP78/XBP1/CHOP通路调节内质网应激减轻大鼠脑缺血损伤。
Phytomedicine. 2025 Jun 10;145:156969. doi: 10.1016/j.phymed.2025.156969.

本文引用的文献

1
Mechanisms of postischemic cardiac death and protection following myocardial injury.心肌损伤后缺血性心脏死亡及保护的机制。
J Clin Invest. 2025 Jan 2;135(1):e184134. doi: 10.1172/JCI184134.
2
9-PAHSA ameliorates microvascular damage during cardiac ischaemia/reperfusion injury by promoting LKB1/AMPK/ULK1-mediated autophagy-dependent STING degradation.9-磷脂酰高丝氨酸通过促进LKB1/AMPK/ULK1介导的自噬依赖性STING降解来改善心脏缺血/再灌注损伤期间的微血管损伤。
Phytomedicine. 2025 Jan;136:156241. doi: 10.1016/j.phymed.2024.156241. Epub 2024 Nov 17.
3
Multiscale drug screening for cardiac fibrosis identifies MD2 as a therapeutic target.
用于心脏纤维化的多尺度药物筛选确定MD2为治疗靶点。
Cell. 2024 Dec 12;187(25):7143-7163.e22. doi: 10.1016/j.cell.2024.09.034. Epub 2024 Oct 15.
4
Regulated cell death in myocardial ischemia-reperfusion injury.心肌缺血再灌注损伤中的细胞程序性死亡。
Trends Endocrinol Metab. 2024 Mar;35(3):219-234. doi: 10.1016/j.tem.2023.10.010. Epub 2023 Nov 17.
5
Copine-6 is a Ca sensor for activity-induced AMPA receptor exocytosis.Copine-6 是一种钙传感器,用于感应活性诱导的 AMPA 受体胞吐作用。
Cell Rep. 2023 Dec 26;42(12):113460. doi: 10.1016/j.celrep.2023.113460. Epub 2023 Nov 17.
6
Regulated cell death pathways in cardiomyopathy.调控性细胞死亡通路在心肌病中的作用。
Acta Pharmacol Sin. 2023 Aug;44(8):1521-1535. doi: 10.1038/s41401-023-01068-9. Epub 2023 Mar 13.
7
Mechanisms of current therapeutic strategies for heart failure: more questions than answers?心力衰竭当前治疗策略的机制:问题多于答案?
Cardiovasc Res. 2023 Feb 3;118(18):3467-3481. doi: 10.1093/cvr/cvac187.
8
ER-phagy: mechanisms, regulation, and diseases connected to the lysosomal clearance of the endoplasmic reticulum.内质网吞噬作用:连接溶酶体清除内质网的机制、调控和疾病。
Physiol Rev. 2022 Jul 1;102(3):1393-1448. doi: 10.1152/physrev.00038.2021. Epub 2022 Feb 21.
9
TAB2 deficiency induces dilated cardiomyopathy by promoting RIPK1-dependent apoptosis and necroptosis.TAB2 缺乏通过促进 RIPK1 依赖性细胞凋亡和坏死导致扩张型心肌病。
J Clin Invest. 2022 Feb 15;132(4). doi: 10.1172/JCI152297.
10
CPNE3 interaction with RACK1 protects against myocardial ischemia/reperfusion injury.CPNE3与RACK1的相互作用可预防心肌缺血/再灌注损伤。
Exp Ther Med. 2022 Feb;23(2):128. doi: 10.3892/etm.2021.11051. Epub 2021 Dec 10.