• 文献检索
  • 文档翻译
  • 深度研究
  • 学术资讯
  • Suppr Zotero 插件Zotero 插件
  • 邀请有礼
  • 套餐&价格
  • 历史记录
应用&插件
Suppr Zotero 插件Zotero 插件浏览器插件Mac 客户端Windows 客户端微信小程序
定价
高级版会员购买积分包购买API积分包
服务
文献检索文档翻译深度研究API 文档MCP 服务
关于我们
关于 Suppr公司介绍联系我们用户协议隐私条款
关注我们

Suppr 超能文献

核心技术专利:CN118964589B侵权必究
粤ICP备2023148730 号-1Suppr @ 2026

文献检索

告别复杂PubMed语法,用中文像聊天一样搜索,搜遍4000万医学文献。AI智能推荐,让科研检索更轻松。

立即免费搜索

文件翻译

保留排版,准确专业,支持PDF/Word/PPT等文件格式,支持 12+语言互译。

免费翻译文档

深度研究

AI帮你快速写综述,25分钟生成高质量综述,智能提取关键信息,辅助科研写作。

立即免费体验

一名接受钠-葡萄糖协同转运蛋白2抑制剂治疗的脊髓损伤患者发生近平滑念珠菌血症:病例报告

Candida parapsilosis Fungemia in a Patient With Spinal Cord Injury on Sodium-Glucose Cotransporter-2 Inhibitor Therapy: A Case Report.

作者信息

Traczuk Ashley E, Stillman Michael

机构信息

Medicine, Thomas Jefferson University Hospital, Philadelphia, USA.

Internal Medicine, Thomas Jefferson University Hospital, Philadelphia, USA.

出版信息

Cureus. 2025 Jul 28;17(7):e88907. doi: 10.7759/cureus.88907. eCollection 2025 Jul.

DOI:10.7759/cureus.88907
PMID:40895952
原文链接:https://pmc.ncbi.nlm.nih.gov/articles/PMC12392043/
Abstract

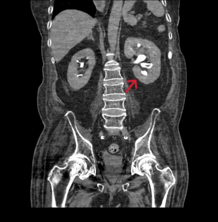
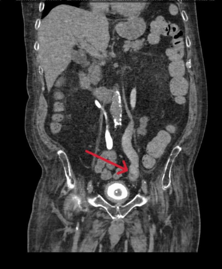
Individuals with spinal cord injury (SCI) and neurogenic bladder often rely on catheterization programs, which increase the risk of urinary tract infections (UTIs). Sodium-glucose cotransporter-2 inhibitors (SGLT2i), widely used in the management of diabetes mellitus (DM), chronic kidney disease (CKD), and congestive heart failure (CHF), promote urinary glucose excretion, potentially fostering an environment favorable to bacterial and fungal growth. This case describes a 53-year-old man with long-standing traumatic cervical SCI and a suprapubic catheter who presented with sepsis secondary to fungemia, in the context of SGLT2i use for DM management. This report suggests that the combination of SGLT2i therapy and chronic catheterization may increase the risk of urinary tract and invasive fungal infections. While current evidence is lacking, further investigation is warranted, and clinicians should exercise caution when prescribing SGLT2i in patients with SCI and bladder catheter use.

摘要

脊髓损伤(SCI)和神经源性膀胱患者通常依赖导尿方案,这会增加尿路感染(UTIs)的风险。钠-葡萄糖协同转运蛋白2抑制剂(SGLT2i)广泛用于糖尿病(DM)、慢性肾脏病(CKD)和充血性心力衰竭(CHF)的管理,可促进尿糖排泄,可能会营造有利于细菌和真菌生长的环境。本病例描述了一名53岁男性,患有长期创伤性颈髓损伤且使用耻骨上导尿管,在使用SGLT2i治疗糖尿病的情况下,因真菌血症继发脓毒症。本报告提示,SGLT2i治疗与长期导尿相结合可能会增加尿路和侵袭性真菌感染的风险。鉴于目前缺乏证据,有必要进一步研究,临床医生在为脊髓损伤且使用膀胱导尿管的患者开具SGLT2i时应谨慎行事。

https://cdn.ncbi.nlm.nih.gov/pmc/blobs/e66a/12392043/60c2ca1108be/cureus-0017-00000088907-i02.jpg
https://cdn.ncbi.nlm.nih.gov/pmc/blobs/e66a/12392043/03608982d3f4/cureus-0017-00000088907-i01.jpg
https://cdn.ncbi.nlm.nih.gov/pmc/blobs/e66a/12392043/60c2ca1108be/cureus-0017-00000088907-i02.jpg
https://cdn.ncbi.nlm.nih.gov/pmc/blobs/e66a/12392043/03608982d3f4/cureus-0017-00000088907-i01.jpg
https://cdn.ncbi.nlm.nih.gov/pmc/blobs/e66a/12392043/60c2ca1108be/cureus-0017-00000088907-i02.jpg

相似文献

1
Candida parapsilosis Fungemia in a Patient With Spinal Cord Injury on Sodium-Glucose Cotransporter-2 Inhibitor Therapy: A Case Report.一名接受钠-葡萄糖协同转运蛋白2抑制剂治疗的脊髓损伤患者发生近平滑念珠菌血症:病例报告
Cureus. 2025 Jul 28;17(7):e88907. doi: 10.7759/cureus.88907. eCollection 2025 Jul.
2
Prescription of Controlled Substances: Benefits and Risks管制药品的处方:益处与风险
3
Sodium-glucose cotransporter 2 inhibitors and inverse risk of new-onset atopic dermatitis in a cohort with diabetes: a nationwide active-comparator study.钠-葡萄糖协同转运蛋白2抑制剂与糖尿病队列中新发特应性皮炎的反向风险:一项全国性活性对照研究
Br J Dermatol. 2025 Jun 20;193(1):74-84. doi: 10.1093/bjd/ljaf086.
4
A case of pyelonephritis and bacteremia caused by Candida glabrata in a patient on sodium glucose cotransporter 2 inhibitor, successfully treated with micafungin.一名使用钠葡萄糖协同转运蛋白2抑制剂的患者发生光滑念珠菌引起的肾盂肾炎和菌血症,用米卡芬净成功治疗。
J Pharm Health Care Sci. 2025 Aug 5;11(1):65. doi: 10.1186/s40780-025-00475-w.
5
Management of urinary stones by experts in stone disease (ESD 2025).结石病专家对尿路结石的管理(2025年结石病专家共识)
Arch Ital Urol Androl. 2025 Jun 30;97(2):14085. doi: 10.4081/aiua.2025.14085.
6
Management of faecal incontinence and constipation in adults with central neurological diseases.成人中枢神经系统疾病患者粪便失禁和便秘的管理
Cochrane Database Syst Rev. 2014 Jan 13;2014(1):CD002115. doi: 10.1002/14651858.CD002115.pub5.
7
Management of faecal incontinence and constipation in adults with central neurological diseases.成人中枢神经系统疾病患者大便失禁和便秘的管理
Cochrane Database Syst Rev. 2013 Dec 18(12):CD002115. doi: 10.1002/14651858.CD002115.pub4.
8
SGLT2 inhibitors vs. metformin for Parkinson's disease risk reduction in type 2 diabetes.钠-葡萄糖协同转运蛋白2抑制剂与二甲双胍对2型糖尿病患者帕金森病风险的降低作用比较
J Parkinsons Dis. 2025 Jul 17:1877718X251359391. doi: 10.1177/1877718X251359391.
9
Sodium-glucose cotransporter-2 (SGLT-2) inhibitors for adults with chronic kidney disease: a clinical practice guideline.钠-葡萄糖共转运蛋白 2(SGLT-2)抑制剂治疗慢性肾脏病成人患者:临床实践指南。
BMJ. 2024 Oct 1;387:e080257. doi: 10.1136/bmj-2024-080257.
10
Dipeptidyl peptidase-4 inhibitors, glucagon-like peptide 1 receptor agonists and sodium-glucose co-transporter-2 inhibitors for people with cardiovascular disease: a network meta-analysis.二肽基肽酶-4 抑制剂、胰高血糖素样肽 1 受体激动剂和钠-葡萄糖共转运蛋白 2 抑制剂用于心血管疾病患者:一项网状荟萃分析。
Cochrane Database Syst Rev. 2021 Oct 25;10(10):CD013650. doi: 10.1002/14651858.CD013650.pub2.

本文引用的文献

1
Sodium-glucose Co-transporter-2 Inhibitors Causing Fungemia and Renal Abscess.钠-葡萄糖协同转运蛋白2抑制剂导致真菌血症和肾脓肿
JCEM Case Rep. 2024 Feb 1;2(2):luae010. doi: 10.1210/jcemcr/luae010. eCollection 2024 Feb.
2
Risk of Urinary Infections in Veterans on Empagliflozin With Concurrent Catheter Use.恩格列净使用者伴有导尿管时的退伍军人尿路感染风险。
J Pharm Pract. 2024 Oct;37(5):1127-1131. doi: 10.1177/08971900241229107. Epub 2024 Jan 19.
3
Culture media influences growth, susceptibility, and virulence.培养介质会影响(细菌的)生长、易感性和毒力。
Front Cell Infect Microbiol. 2023 Dec 13;13:1323619. doi: 10.3389/fcimb.2023.1323619. eCollection 2023.
4
Expanding the Use of SGLT2i in Diabetes Beyond Type 2.拓展钠-葡萄糖协同转运蛋白2抑制剂(SGLT2i)在2型糖尿病以外的糖尿病治疗中的应用。
Diabetes Care. 2024 Jan 1;47(1):50-51. doi: 10.2337/dci23-0065.
5
Bittersweet: infective complications of drug-induced glycosuria in patients with diabetes mellitus on SGLT2-inhibitors: two case reports.苦乐参半:SGLT2 抑制剂治疗的糖尿病患者因药物引起的糖尿导致的感染性并发症:两例报告。
BMC Infect Dis. 2021 Mar 20;21(1):284. doi: 10.1186/s12879-021-05982-3.
6
Sarcopenic Obesity, Insulin Resistance, and Their Implications in Cardiovascular and Metabolic Consequences.肌肉减少性肥胖、胰岛素抵抗及其对心血管和代谢后果的影响。
Int J Mol Sci. 2020 Jan 13;21(2):494. doi: 10.3390/ijms21020494.
7
Glucagon-like peptide 1 in health and disease.胰高血糖素样肽 1 在健康和疾病中的作用。
Nat Rev Endocrinol. 2018 Jul;14(7):390-403. doi: 10.1038/s41574-018-0016-2.
8
SGLT-2 inhibitors and the risk of infections: a systematic review and meta-analysis of randomized controlled trials.SGLT-2 抑制剂与感染风险:一项随机对照试验的系统评价和荟萃分析。
Acta Diabetol. 2018 May;55(5):503-514. doi: 10.1007/s00592-018-1116-0. Epub 2018 Feb 27.
9
Effects of SGLT2 inhibitors on UTIs and genital infections in type 2 diabetes mellitus: a systematic review and meta-analysis.SGLT2 抑制剂对 2 型糖尿病患者尿路感染和生殖器感染的影响:系统评价和荟萃分析。
Sci Rep. 2017 Jun 6;7(1):2824. doi: 10.1038/s41598-017-02733-w.
10
Spinal cord injury and type 2 diabetes: results from a population health survey.脊髓损伤与 2 型糖尿病:基于一项人群健康调查的结果。
Neurology. 2013 Nov 19;81(21):1864-8. doi: 10.1212/01.wnl.0000436074.98534.6e. Epub 2013 Oct 23.