Du Lin, Wang Lieping, Shen Gang, Zeng Min, Li Desheng, Li Weiguo
Department of Radiology, Chongqing Tongliang District Hospital of Traditional Chinese Medicine, Chongqing, China.
Department of Acupuncture and Pain, Chongqing Tongliang District Hospital of Traditional Chinese Medicine, Chongqing, China.
Front Neurol. 2025 Aug 26;16:1647724. doi: 10.3389/fneur.2025.1647724. eCollection 2025.
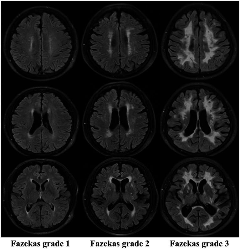
White matter hyperintensity (WMH) is the core imaging hallmark of cerebral small vessel disease (CSVD). This phenomenon is closely related to nervous system damage, such as cognitive impairment, dementia and increased risk of stroke. However, traditional diagnostic methods have significant limitations in terms of quantitative assessment, analysis of pathological mechanisms, and clinical decision support, which severely restrict their clinical application. Through high-throughput feature extraction and comprehensive analysis of clinical, laboratory, histological, and genomic data, radiomics in its current form can not only achieve the high-precision identification and staging of WMH but also help to reveal its pathological mechanism, which has shown important value in the diagnosis, prognosis, and evaluation of WMH-related diseases. Against this backdrop, we strictly adhered to the norms of systematic literature reviews, conducting a comprehensive and transparent literature search. We also thoroughly reviewed the data using a predefined strategy and strict inclusion/exclusion criteria (detailed in the text). This article systematically reviews the progress of radiomics research in characterizing the pathological mechanism of WMH and in the early identification, classification and prognostic evaluation of related diseases, aiming to provide a theoretical basis and a technical reference for the early identification of high-risk groups, the optimization of diagnosis and treatment decision-making, and the practice of collaborative patient management.
脑白质高信号(WMH)是脑小血管病(CSVD)的核心影像学特征。这种现象与神经系统损伤密切相关,如认知障碍、痴呆和中风风险增加。然而,传统诊断方法在定量评估、病理机制分析和临床决策支持方面存在显著局限性,严重限制了它们的临床应用。通过高通量特征提取以及对临床、实验室、组织学和基因组数据的综合分析,当前形式的放射组学不仅能够实现对WMH的高精度识别和分期,还有助于揭示其病理机制,这在WMH相关疾病的诊断、预后和评估中已显示出重要价值。在此背景下,我们严格遵循系统文献综述的规范,进行全面且透明的文献检索。我们还使用预定义策略和严格的纳入/排除标准(文中详述)对数据进行了全面审查。本文系统综述了放射组学在表征WMH病理机制以及相关疾病的早期识别、分类和预后评估方面的研究进展,旨在为高危人群的早期识别、诊断和治疗决策的优化以及患者协同管理的实践提供理论依据和技术参考。