Suppr超能文献

原发性诊断20年后通过[F]FDG PET/CT确诊的浸润性乳腺小叶癌胃转移:一例报告

Gastric Metastases From Invasive Breast Lobular Carcinoma, Identified by [F]FDG PET/CT, 20 Years After Primary Diagnosis: A Case Report.

作者信息

Ilonca Alina Diana, Gudin-de-Vallerin Amélie, Guillemard Sophie, Eberle Marie-Claude, Briant Jeanne, Guiu Séverine, Deshayes Emmanuel, Fersing Cyril

机构信息

Nuclear Medicine Department, Institut Régional du Cancer de Montpellier (ICM) University Montpellier Montpellier France.

Pathology Department, Institut Régional du Cancer de Montpellier (ICM) University Montpellier Montpellier France.

出版信息

Clin Case Rep. 2025 Sep 9;13(9):e70881. doi: 10.1002/ccr3.70881. eCollection 2025 Sep.

Abstract

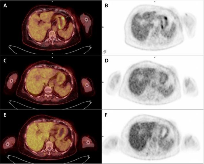
Invasive lobular carcinoma (ILC) of the breast is a rare subtype of breast cancer with distinct metastatic patterns. Although gastrointestinal metastases are rare, they can occur years after initial treatment. This case highlights the diagnostic challenges and management of late-onset gastric metastases. A 68-year-old woman with a history of ILC treated 20 years earlier presented with elevated tumor markers. [F]fluorodeoxyglucose positron emission tomography/computed tomography (FDG PET/CT) revealed hypermetabolic lesions in the stomach and esophagus in this patient with previously diagnosed gastritis and gastroesophageal reflux disease. Endoscopy and biopsies confirmed the presence of metastatic ILC in the stomach. Adjustment of treatment, including exemestane and everolimus, followed by paclitaxel and tamoxifen, resulted in partial disease control. Late-onset gastrointestinal metastases of ILC are uncommon and require special vigilance, particularly in patients with associated benign gastrointestinal pathologies, which may delay diagnosis. Persistent or new-onset gastrointestinal symptoms in breast cancer patients warrant thorough evaluation, including FDG PET/CT imaging and histological confirmation.

摘要

乳腺浸润性小叶癌(ILC)是一种罕见的乳腺癌亚型,具有独特的转移模式。尽管胃肠道转移很少见,但可在初始治疗数年之后发生。本病例突出了晚期胃转移的诊断挑战及处理方法。一名20年前曾接受过ILC治疗的68岁女性,出现肿瘤标志物升高。[F]氟脱氧葡萄糖正电子发射断层扫描/计算机断层扫描(FDG PET/CT)显示,该先前诊断为胃炎和胃食管反流病的患者,胃和食管出现代谢增高性病变。内镜检查及活检证实胃内存在转移性ILC。调整治疗方案,包括使用依西美坦和依维莫司,随后使用紫杉醇和他莫昔芬,实现了部分疾病控制。ILC的晚期胃肠道转移并不常见,需要特别警惕,尤其是对于伴有胃肠道良性病变的患者,这可能会延迟诊断。乳腺癌患者持续存在或新出现的胃肠道症状需要进行全面评估,包括FDG PET/CT成像及组织学确诊。

https://cdn.ncbi.nlm.nih.gov/pmc/blobs/c980/12420364/64263fe7d4b8/CCR3-13-e70881-g005.jpg

文献检索

告别复杂PubMed语法,用中文像聊天一样搜索,搜遍4000万医学文献。AI智能推荐,让科研检索更轻松。

立即免费搜索

文件翻译

保留排版,准确专业,支持PDF/Word/PPT等文件格式,支持 12+语言互译。

免费翻译文档

深度研究

AI帮你快速写综述,25分钟生成高质量综述,智能提取关键信息,辅助科研写作。

立即免费体验