Suppr超能文献

Slit2抑制SRC-PI3K信号通路,调节巨噬细胞的破骨细胞分化并减少骨吸收。

Slit2 inhibits SRC-PI3K signaling pathway, regulates osteoclast differentiation of macrophages and reduces bone resorption.

作者信息

Ge Qing, Zou Yaokun, Deng Huizhi, Yang Zhe, Ge Linhu, Huang Jieying, Cai Jianqiang, Wang Liping

机构信息

Department of Oral Implantology, School and Hospital of Stomatology, Guangdong Engineering Research Center of Oral Restoration and Reconstruction and Guangzhou Key Laboratory of Basic and Applied Research of Oral Regenerative Medicine, Guangzhou Medical University, Guangzhou, Guangdong, China.

Department of Oral Implantology, Suzhou Stomatological Hospital, Suzhou, China.

出版信息

Front Cell Dev Biol. 2025 Aug 26;13:1632882. doi: 10.3389/fcell.2025.1632882. eCollection 2025.

Abstract

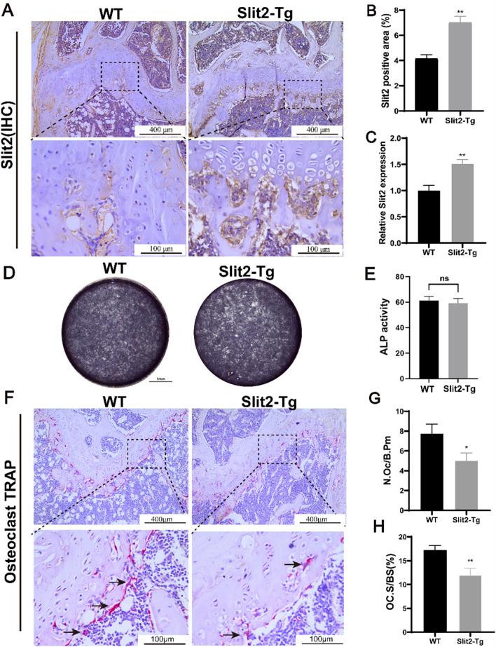
Osteoporosis is a metabolic disorder characterized by increased bone resorption and decreased bone formation. As a well-characterized axon guidance molecule, Slit2 contributes to central nervous system regulation by modulating intracellular signaling cascades and is expressed in multiple tissues, including the nervous system and the kidneys. However, limited research has explored the role of Slit2 in bone metabolism, and its precise regulatory mechanisms remain unclear. In this study, we established an aging-induced osteoporosis model using wild-type (WT) and Slit2-transgenic (Slit2-Tg) mice, as well as an estrogen-deficient ovariectomy-induced osteoporosis model. Our findings demonstrate that Slit2 attenuates bone loss and suppresses osteoclast differentiation under osteoporotic conditions. osteoclast differentiation assays further confirmed that Slit2 regulates osteoclast-associated marker expression and inhibits the differentiation of bone marrow-derived monocytes into osteoclasts. Mechanistically, RNA sequencing, Gene Ontology pathway enrichment analysis, and Western blotting revealed that Src and PI3K/AKT signaling pathways mediate the regulatory effects of Slit2 on bone metabolism. These findings suggest that Slit2 inhibits macrophage-to-osteoclast differentiation and attenuates bone resorption by downregulating Src expression in macrophages and suppressing the PI3K/AKT signaling pathway. This study provides novel insights into the therapeutic potential of Slit2 as a target for osteoporosis treatment.

摘要

骨质疏松症是一种代谢紊乱疾病,其特征为骨吸收增加和骨形成减少。作为一种特征明确的轴突导向分子,Slit2通过调节细胞内信号级联反应来促进中枢神经系统的调节,并且在包括神经系统和肾脏在内的多种组织中表达。然而,关于Slit2在骨代谢中的作用的研究有限,其确切的调节机制仍不清楚。在本研究中,我们使用野生型(WT)和Slit2转基因(Slit2-Tg)小鼠建立了衰老诱导的骨质疏松症模型,以及雌激素缺乏的卵巢切除诱导的骨质疏松症模型。我们的研究结果表明,在骨质疏松症条件下,Slit2可减轻骨质流失并抑制破骨细胞分化。破骨细胞分化试验进一步证实,Slit2可调节破骨细胞相关标志物的表达,并抑制骨髓来源的单核细胞向破骨细胞的分化。从机制上讲,RNA测序、基因本体途径富集分析和蛋白质印迹显示,Src和PI3K/AKT信号通路介导了Slit2对骨代谢的调节作用。这些发现表明,Slit2通过下调巨噬细胞中Src的表达并抑制PI3K/AKT信号通路,抑制巨噬细胞向破骨细胞的分化并减轻骨吸收。本研究为Slit2作为骨质疏松症治疗靶点的治疗潜力提供了新的见解。

https://cdn.ncbi.nlm.nih.gov/pmc/blobs/48f9/12421006/34cbf5d44fde/fcell-13-1632882-g001.jpg

文献检索

告别复杂PubMed语法,用中文像聊天一样搜索,搜遍4000万医学文献。AI智能推荐,让科研检索更轻松。

立即免费搜索

文件翻译

保留排版,准确专业,支持PDF/Word/PPT等文件格式,支持 12+语言互译。

免费翻译文档

深度研究

AI帮你快速写综述,25分钟生成高质量综述,智能提取关键信息,辅助科研写作。

立即免费体验