Qiu Yu, Pu Chao, Wang Chengguang, Quan Zhengxue
Department of Orthopaedic Surgery, The First Affiliated Hospital of Chongqing Medical University, Chongqing 400016, China.
Chongqing Municipal Health Commission Key Laboratory of Musculoskeletal Regeneration and Translational Medicine, Chongqing 400016, China.
Cancers (Basel). 2025 Sep 6;17(17):2928. doi: 10.3390/cancers17172928.
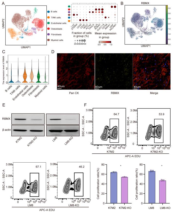
The progression of osteosarcoma is closely related to the immune microenvironment. Related studies have found that the RNA-binding motif protein, X-linked (RBMX), plays a regulatory role in modulating the biological characteristics of the tumor microenvironment (TME). However, its regulatory mechanism in osteosarcoma remains unclear. In this study, the expression of RBMX in osteosarcoma was analyzed using the results of bulk and single-cell transcriptome sequencing of human osteosarcoma. The RBMX knockout cell line was constructed via lentivirus transfection. The mouse subcutaneous implantable tumor model and single-cell transcriptome sequencing analysis revealed the effects of RBMX on the osteosarcoma microenvironment, as verified via multiplex immunofluorescence, flow cytometry, and PCR experiments. Using the TARGET database and multiplex immunofluorescence, we found that RBMX is highly expressed in human osteosarcoma and is associated with poor prognosis. The high expression of RBMX may mediate the immunosuppressive microenvironment of human osteosarcoma. In vitro cell experiments showed that knockout of RBMX significantly inhibited the proliferation of mouse osteosarcoma cells. Through single-cell transcriptome sequencing analysis of subcutaneous implantable tumors in mice, we determined that RBMX deletion substantially elevated the recruitment of cytotoxic CD8T cells within the mouse TME, which was further verified through flow cytometry analysis. Cell coculture assay confirmed that knockout of RBMX significantly enhanced the cytotoxic activity of CD8T cells. Finally, cell communication and in vitro experimental verification revealed that knocking out RBMX might enhance the infiltration of CD8T cells by upregulating histocompatibility 2, K1, and K region (H2-K1) and downregulating thrombospondin 1 (THBS1). This study may provide potential targets for reshaping the immune microenvironment of osteosarcoma and improving its therapeutic efficacy.
骨肉瘤的进展与免疫微环境密切相关。相关研究发现,X连锁的RNA结合基序蛋白(RBMX)在调节肿瘤微环境(TME)的生物学特性中发挥调节作用。然而,其在骨肉瘤中的调节机制仍不清楚。在本研究中,利用人类骨肉瘤的批量和单细胞转录组测序结果分析了RBMX在骨肉瘤中的表达。通过慢病毒转染构建了RBMX基因敲除细胞系。小鼠皮下可植入肿瘤模型和单细胞转录组测序分析揭示了RBMX对骨肉瘤微环境的影响,并通过多重免疫荧光、流式细胞术和PCR实验进行了验证。利用TARGET数据库和多重免疫荧光,我们发现RBMX在人类骨肉瘤中高表达,且与预后不良相关。RBMX的高表达可能介导了人类骨肉瘤的免疫抑制微环境。体外细胞实验表明,敲除RBMX可显著抑制小鼠骨肉瘤细胞的增殖。通过对小鼠皮下可植入肿瘤的单细胞转录组测序分析,我们确定RBMX缺失显著提高了小鼠TME内细胞毒性CD8T细胞的募集,这通过流式细胞术分析得到进一步验证。细胞共培养试验证实,敲除RBMX可显著增强CD8T细胞的细胞毒性活性。最后,细胞通讯和体外实验验证表明,敲除RBMX可能通过上调组织相容性2、K1和K区域(H2-K1)以及下调血小板反应蛋白1(THBS1)来增强CD8T细胞的浸润。本研究可能为重塑骨肉瘤免疫微环境和提高其治疗效果提供潜在靶点。