Talpoș-Niculescu Roxana, Veja Ioana, Neagu Carina Sonia, Rusu Laura Cristina, Talpoș-Niculescu Șerban, Popa Mălina, Nica Luminița Maria
Discipline of Restorative Dentistry and Endodontics, Research Center TADERP, Faculty of Dental Medicine, "Victor Babes" University of Medicine and Pharmacy, 300041 Timisoara, Romania.
Department of Dental Medicine, Faculty of Dentistry, "Vasile Goldiș", Western University of Arad, Str. Liviu Rebreanu 86, 310045 Arad, Romania.
J Clin Med. 2025 Aug 29;14(17):6127. doi: 10.3390/jcm14176127.
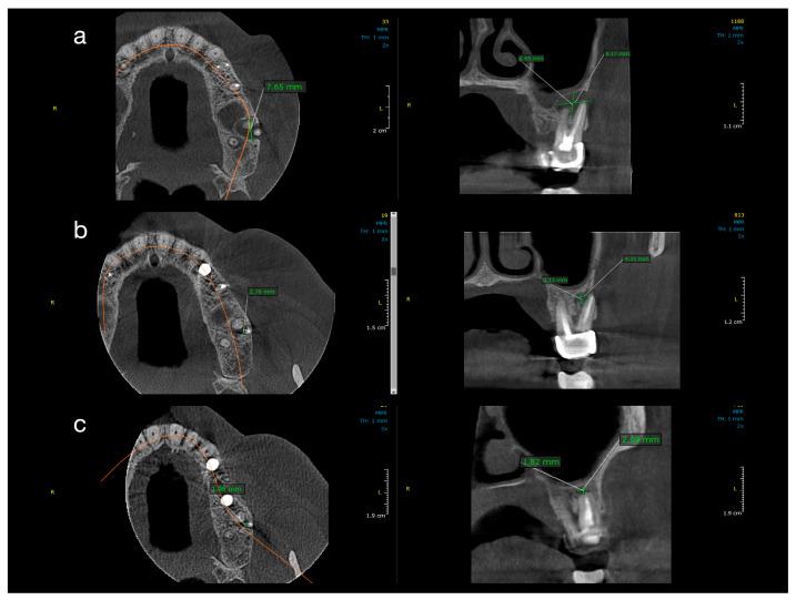
Large periapical cyst-like lesions pose challenges for nonsurgical management. This study evaluated the clinical and radiological outcomes of conventional endodontic therapy alone versus endodontic therapy with decompression in treating such lesions. Ten patients with CBCT-confirmed periapical lesions >5 mm were randomly assigned to two groups. Group 1 received standard root canal treatment with calcium hydroxide; Group 2 received the same protocol plus decompression. Lesion dimensions were measured in three planes using CBCT at baseline, 12 months, and 24 months. Both groups showed significant lesion size reduction over time. At 12 months, Group 2 had a significantly greater mean reduction (8.49 ± 5.09 mm) compared to Group 1 (4.36 ± 1.46 mm) ( = 0.008). At 24 months, both groups had comparable outcomes (Group 1: 1.12 ± 0.98 mm; Group 2: 2.41 ± 5.15 mm; = 0.356), with most lesions nearly or fully resolved. Histopathology confirmed radicular cysts in decompressed cases. Conservative endodontic therapy is effective for large periapical lesions. Adjunctive decompression accelerates early healing, particularly in extensive cases, potentially reducing the need for surgical intervention. CBCT is valuable for monitoring healing.
大型根尖周囊肿样病变给非手术治疗带来了挑战。本研究评估了单纯常规根管治疗与根管治疗联合减压治疗此类病变的临床和影像学结果。10例经CBCT确诊根尖周病变>5 mm的患者被随机分为两组。第1组接受氢氧化钙标准根管治疗;第2组接受相同方案加减压治疗。在基线、12个月和24个月时使用CBCT在三个平面测量病变尺寸。两组病变大小均随时间显著减小。在12个月时,第2组的平均减小幅度(8.49±5.09 mm)明显大于第1组(4.36±1.46 mm)(P = 0.008)。在24个月时,两组结果相当(第1组:1.12±0.98 mm;第2组:2.41±5.15 mm;P = 0.356),大多数病变几乎或完全消退。组织病理学证实减压病例中有根尖囊肿。保守的根管治疗对大型根尖周病变有效。辅助减压可加速早期愈合,尤其是在广泛病变的情况下,可能减少手术干预的必要性。CBCT对监测愈合很有价值。