Suppr超能文献

缓释亚精胺水凝胶抑制M1巨噬细胞极化并促进脊髓损伤修复的组织修复

Sustained-Release Spermidine Hydrogel Inhibits M1 Macrophage Polarization and Promotes Tissue Repair for Spinal Cord Injury Repair.

作者信息

Luo Yongjun, Zhang Xiao, Luo Qian, Wu Liang, Gu Shubo, Xie Zuozhi, Zeng Xiaolin, Xu Yili, Wu Yao, Zhou Hao, Xu Tao, Zhou Zheng

机构信息

Department of Orthopedics, The Fourth Affiliated Hospital of Soochow University, Suzhou, Jiangsu, China.

Department of Orthopedics, The Second Affiliated Hospital of Soochow University, Suzhou, China.

出版信息

Biomater Res. 2025 Sep 11;29:0247. doi: 10.34133/bmr.0247. eCollection 2025.

Abstract

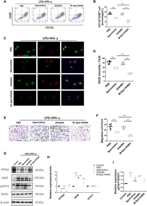
The use of injectable hydrogels represents a viable approach for enhancing neural repair and promoting functional restoration after spinal cord trauma. Nevertheless, the current performance of these materials is not yet optimal and further optimization is necessary. Engineering a cell-free hydrogel delivery system with sustained anti-inflammatory capacity is of great relevance for advancing therapeutic strategies in spinal cord injury (SCI). Here, we fabricated a biomimetic hydrogel incorporating spermidine to modulate the post-injury immune microenvironment. The material was constructed by photocrosslinking aldehyde-modified methacrylated hyaluronic acid (AHAMA) through dynamic Schiff base chemistry, enabling controlled and prolonged spermidine release. This hydrogel demonstrated expedited gelation kinetics coupled with stable and exceptional mechanical properties. In addition, the cell-free AHAMA hydrogels have substantially enhanced the cellular-matrix interactions and facilitated neuronal integration. Furthermore, the spermidine-loaded hydrogel exerted potent immunomodulatory effects by suppressing M1 macrophage (classically activated macrophage) polarization through activation of STAT1 (signal transducer and activator of transcription 1) signaling axis. In vivo assessments demonstrated enhanced neuroregeneration and axonal elongation at the lesion site, which translated into marked improvements in locomotor function in the murine SCI model. Collectively, the combination of sustained spermidine release with a bioinspired, cell-free AHAMA hydrogel scaffold offers an effective therapeutic approach to modulate inflammation and enhance tissue repair in the injured spinal cord environment.

摘要

注射用凝胶的应用是增强脊髓损伤后神经修复和促进功能恢复的一种可行方法。然而,这些材料目前的性能尚未达到最佳,仍需进一步优化。构建具有持续抗炎能力的无细胞水凝胶递送系统对于推进脊髓损伤(SCI)的治疗策略具有重要意义。在此,我们制备了一种含有亚精胺的仿生水凝胶,以调节损伤后的免疫微环境。该材料通过动态席夫碱化学将醛基修饰的甲基丙烯酸化透明质酸(AHAMA)进行光交联构建而成,能够实现亚精胺的可控和持续释放。这种水凝胶表现出快速的凝胶化动力学以及稳定且优异的机械性能。此外,无细胞AHAMA水凝胶显著增强了细胞与基质的相互作用,并促进了神经元整合。此外,负载亚精胺的水凝胶通过激活信号转导和转录激活因子1(STAT1)信号轴抑制M1巨噬细胞(经典活化巨噬细胞)极化,从而发挥强大的免疫调节作用。体内评估表明,损伤部位的神经再生和轴突伸长增强,这转化为小鼠SCI模型运动功能的显著改善。总的来说,持续释放亚精胺与仿生、无细胞AHAMA水凝胶支架相结合,为调节炎症和增强受损脊髓环境中的组织修复提供了一种有效的治疗方法。

https://cdn.ncbi.nlm.nih.gov/pmc/blobs/a35f/12423504/bafd41acaacf/bmr.0247.fig.001.jpg

文献检索

告别复杂PubMed语法,用中文像聊天一样搜索,搜遍4000万医学文献。AI智能推荐,让科研检索更轻松。

立即免费搜索

文件翻译

保留排版,准确专业,支持PDF/Word/PPT等文件格式,支持 12+语言互译。

免费翻译文档

深度研究

AI帮你快速写综述,25分钟生成高质量综述,智能提取关键信息,辅助科研写作。

立即免费体验