Suppr超能文献

左侧颅内椎动脉狭窄伴对侧发育不全导致的严重椎基底动脉供血不足,表现为反复眩晕:紧急支架置入术以预防后循环卒中进展

Critical Vertebrobasilar Insufficiency From Left Intracranial Vertebral Artery Stenosis With Contralateral Hypoplasia Presenting as Recurring Vertigo: Urgent Stenting to Prevent the Progression of a Posterior Circulation Stroke.

作者信息

Luan Zhuo, Maud Alberto, Yang Xin, Rodriguez Gustavo J

机构信息

Neurology, Texas Tech University Health Sciences Center El Paso, El Paso, USA.

Neurology/Interventional Neurology, Texas Tech University Health Sciences Center El Paso, El Paso, USA.

出版信息

Cureus. 2025 Aug 13;17(8):e89981. doi: 10.7759/cureus.89981. eCollection 2025 Aug.

Abstract

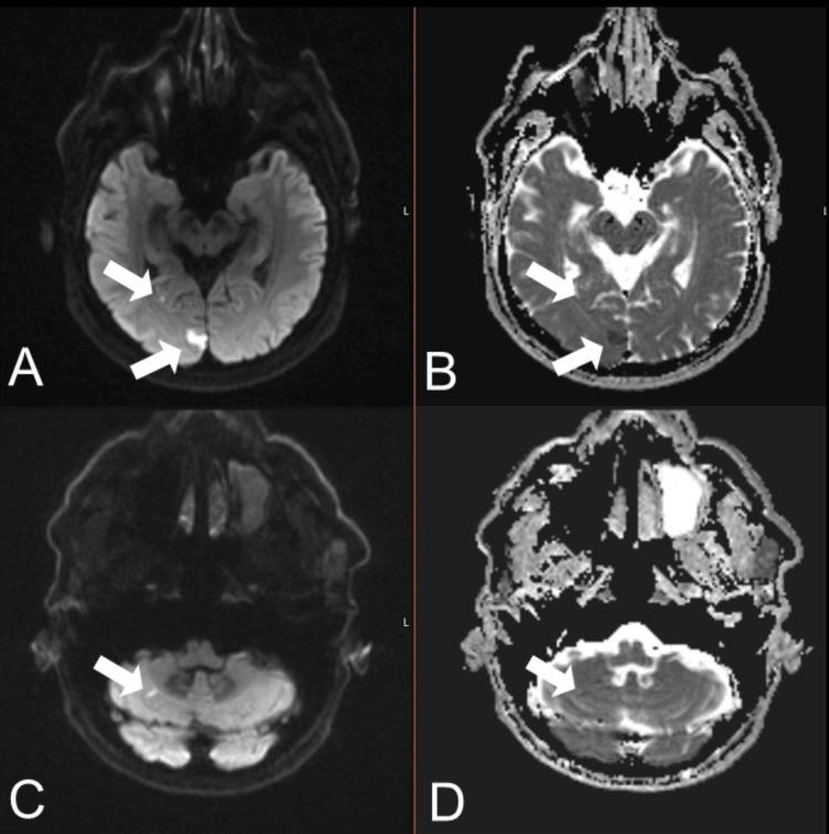
A 67-year-old man with a history of hypertension and untreated dyslipidemia presented with a four-day history of frequent episodic vertigo associated with nausea and vomiting. The patient experienced up to 20 episodes of spinning vertigo per day, each lasting several minutes, without provocation by head movement. MRI confirmed acute infarcts in the right posterior cerebral and cerebellar territories, and CTA revealed severe stenosis of the left vertebral artery V4 segment, with a hypoplastic right vertebral artery. Given refractory symptoms despite dual antiplatelet therapy and permissive hypertension, urgent intracranial balloon angioplasty and balloon-mounted drug-eluting stent placement was performed. The patient recovered completely without further dizziness or neurological deficit. This case emphasizes that recurrent atypical vertigo and brief syncope may be warning signs of vertebrobasilar insufficiency, especially in the context of vertebral artery stenosis with limited collateral flow. Timely vascular imaging and intervention can prevent subsequent debilitating brainstem stroke.

摘要

一名67岁男性,有高血压病史且血脂异常未治疗,出现了为期四天的频繁发作性眩晕,伴有恶心和呕吐。患者每天经历多达20次旋转性眩晕发作,每次持续数分钟,头部运动不会诱发。MRI证实右侧大脑后和小脑区域有急性梗死,CTA显示左椎动脉V4段严重狭窄,右侧椎动脉发育不全。尽管进行了双重抗血小板治疗和允许性高血压治疗,但症状仍难以控制,遂紧急进行了颅内球囊血管成形术和球囊载药洗脱支架置入术。患者完全康复,未再出现头晕或神经功能缺损。该病例强调,反复出现的非典型眩晕和短暂晕厥可能是椎基底动脉供血不足的警示信号,尤其是在椎动脉狭窄且侧支血流有限的情况下。及时的血管成像和干预可以预防随后使人衰弱的脑干卒中。

https://cdn.ncbi.nlm.nih.gov/pmc/blobs/2938/12427593/8897b8bb793e/cureus-0017-00000089981-i01.jpg

文献检索

告别复杂PubMed语法,用中文像聊天一样搜索,搜遍4000万医学文献。AI智能推荐,让科研检索更轻松。

立即免费搜索

文件翻译

保留排版,准确专业,支持PDF/Word/PPT等文件格式,支持 12+语言互译。

免费翻译文档

深度研究

AI帮你快速写综述,25分钟生成高质量综述,智能提取关键信息,辅助科研写作。

立即免费体验