Suppr超能文献

多模态成像在原发性主动脉上皮样血管肉瘤诊断中的应用

Multimodal Imaging in the Diagnosis of Primary Aortic Epithelioid Angiosarcoma.

作者信息

Wakatsuki Kai, Kohno Shigeshi, Oka Shojiro, Yoshihito Ban, Onishi Ryutaro, Noda Toshiyuki, Ando Kumiko, Suga Tsuyoshi, Hara Shigeo, Arizono Shigeki

机构信息

Diagnostic Radiology, Kobe City Medical Center General Hospital, Kobe, JPN.

Diagnostic Radiology, Kitano Hospital, Osaka, JPN.

出版信息

Cureus. 2025 Aug 17;17(8):e90295. doi: 10.7759/cureus.90295. eCollection 2025 Aug.

Abstract

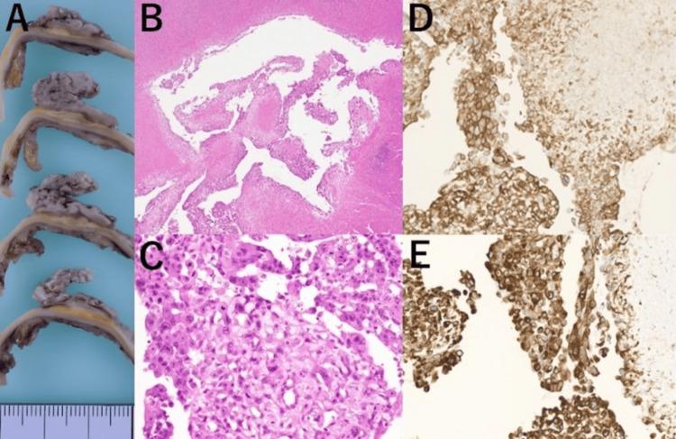
Primary malignant tumors of the aorta (PMTA) are rare, yet highly aggressive neoplasms associated with poor prognosis. The preoperative diagnosis of these tumors remains challenging, as conventional imaging modalities, including computed tomography (CT) and magnetic resonance imaging (MRI), frequently fail to distinguish PMTA from atherothrombotic lesions. This case highlighted the efficacy of multimodality imaging, particularly F-18 fluorodeoxyglucose-positron emission tomography/computed tomography (FDG-PET/CT), in diagnosing PMTA, such as aortic intimal angiosarcomas. A 73-year-old male patient presented with a history of intermittent fever and persistently elevated inflammatory markers over a three-month period. Initial CT revealed a pedunculated intraluminal mass within the descending aorta, accompanied by multiple infarctions of the spleen and kidneys. No apparent contrast enhancement of the lesion was observed on CT. MRI demonstrated mildly high-signal intensity on T1- and T2-weighted images, without marked contrast enhancement. Cine MRI indicated tumor margin mobility, suggesting a dynamic lesion, rather than a fixed thrombus. FDG-PET/CT revealed abnormal hypermetabolic activity within the aortic lesion, with a maximum standardized uptake value of 10.8. Moreover, this modality identified distant metastases within the ribs and femoral head. The patient subsequently underwent descending aortic replacement surgery, and histopathological analysis confirmed the diagnosis of an epithelioid angiosarcoma. Despite postoperative chemotherapy, the patient died due to the progression of brain metastases. This case confirmed the essential role of FDG-PET/CT in distinguishing PMTA from atherothrombotic lesions. Due to the poor prognosis and aggressive nature of PMTA, early diagnosis through multimodal imaging is paramount in guiding appropriate clinical management and improving treatment outcomes.

摘要

主动脉原发性恶性肿瘤(PMTA)罕见,但为侵袭性很强的肿瘤,预后较差。这些肿瘤的术前诊断仍然具有挑战性,因为包括计算机断层扫描(CT)和磁共振成像(MRI)在内的传统成像方式常常无法将PMTA与动脉粥样硬化血栓形成性病变区分开来。本病例突出了多模态成像,尤其是F-18氟脱氧葡萄糖正电子发射断层扫描/计算机断层扫描(FDG-PET/CT)在诊断PMTA(如主动脉内膜血管肉瘤)方面的有效性。一名73岁男性患者有间歇性发热病史,且炎症标志物在三个月内持续升高。初始CT显示降主动脉内有一个带蒂的腔内肿块,伴有脾脏和肾脏的多处梗死。CT上未观察到病变有明显的对比增强。MRI在T1加权和T2加权图像上显示轻度高信号强度,无明显对比增强。电影MRI显示肿瘤边缘可移动,提示为动态病变,而非固定血栓。FDG-PET/CT显示主动脉病变内有异常的高代谢活性,最大标准化摄取值为10.8。此外,这种检查方式还发现肋骨和股骨头有远处转移。患者随后接受了降主动脉置换手术,组织病理学分析确诊为上皮样血管肉瘤。尽管术后进行了化疗,但患者因脑转移进展而死亡。本病例证实了FDG-PET/CT在区分PMTA与动脉粥样硬化血栓形成性病变方面的重要作用。由于PMTA预后差且具有侵袭性,通过多模态成像进行早期诊断对于指导适当的临床管理和改善治疗结果至关重要。

https://cdn.ncbi.nlm.nih.gov/pmc/blobs/c71c/12440234/c1f866933c3b/cureus-0017-00000090295-i01.jpg

文献AI研究员

20分钟写一篇综述,助力文献阅读效率提升50倍。

立即体验

用中文搜PubMed

大模型驱动的PubMed中文搜索引擎

马上搜索

文档翻译

学术文献翻译模型,支持多种主流文档格式。

立即体验