• 文献检索
  • 文档翻译
  • 深度研究
  • 学术资讯
  • Suppr Zotero 插件Zotero 插件
  • 邀请有礼
  • 套餐&价格
  • 历史记录
应用&插件
Suppr Zotero 插件Zotero 插件浏览器插件Mac 客户端Windows 客户端微信小程序
定价
高级版会员购买积分包购买API积分包
服务
文献检索文档翻译深度研究API 文档MCP 服务
关于我们
关于 Suppr公司介绍联系我们用户协议隐私条款
关注我们

Suppr 超能文献

核心技术专利:CN118964589B侵权必究
粤ICP备2023148730 号-1Suppr @ 2026

文献检索

告别复杂PubMed语法,用中文像聊天一样搜索,搜遍4000万医学文献。AI智能推荐,让科研检索更轻松。

立即免费搜索

文件翻译

保留排版,准确专业,支持PDF/Word/PPT等文件格式,支持 12+语言互译。

免费翻译文档

深度研究

AI帮你快速写综述,25分钟生成高质量综述,智能提取关键信息,辅助科研写作。

立即免费体验

大血管原发性肉瘤在CT、MRI和PET/CT中的影像特征:单中心经验

Imaging features of primary sarcomas of the great vessels in CT, MRI and PET/CT: a single-center experience.

作者信息

von Falck Christian, Meyer Bernhard, Fegbeutel Christine, Länger Florian, Bengel Frank, Wacker Frank, Rodt Thomas

出版信息

BMC Med Imaging. 2013 Aug 7;13:25. doi: 10.1186/1471-2342-13-25.

DOI:10.1186/1471-2342-13-25
PMID:23924063
原文链接:https://pmc.ncbi.nlm.nih.gov/articles/PMC3750466/
Abstract

BACKGROUND

To investigate the imaging features of primary sarcomas of the great vessels in CT, MRI and (18)F-FDG PET/CT.

METHODS

Thirteen patients with a primary sarcoma of the great vessels were retrospectively evaluated. All available images studies including F-18 FDG PET(/CT) (n = 4), MDCT (n = 12) and MRI (n = 6) were evaluated and indicative image features of this rare tumor entity were identified.

RESULTS

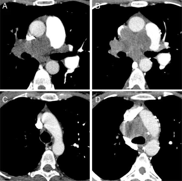
The median interval between the first imaging study and the final diagnosis was 11 weeks (0-12 weeks). The most frequently observed imaging findings suggestive of malignant disease in patients with sarcomas of the pulmonary arteries were a large filling defect with vascular distension, unilaterality and a lack of improvement despite effective anticoagulation. In patients with aortic sarcomas we most frequently observed a pedunculated appearance and an atypical location of the filling defect. The F-18 FDG PET(/CT) examinations demonstrated an unequivocal hypermetabolism of the lesion in all cases (4/4). MRI proved lesion vascularization in 5/6 cases.

CONCLUSION

Intravascular unilateral or atypically located filling defects of the great vessels with vascular distension, a pedunculated shape and lack of improvement despite effective anticoagulation are suspicious for primary sarcoma on MDCT or MRI. MR perfusion techniques can add information on the nature of the lesion but the findings may be subtle and equivocal. F-18 FDG PET/CT may have a potential role in these patients and may be considered as part of the imaging workup.

摘要

背景

探讨大血管原发性肉瘤在CT、MRI及(18)F-FDG PET/CT上的影像学特征。

方法

回顾性评估13例大血管原发性肉瘤患者。对所有可用的影像检查进行评估,包括F-18 FDG PET(/CT)(n = 4)、MDCT(n = 12)和MRI(n = 6),并确定这种罕见肿瘤实体的典型影像特征。

结果

首次影像检查与最终诊断的中位间隔时间为11周(0 - 12周)。肺动脉肉瘤患者中最常观察到的提示恶性疾病的影像表现为伴有血管扩张的大充盈缺损、单侧性以及尽管进行了有效的抗凝治疗但仍无改善。在主动脉肉瘤患者中,我们最常观察到带蒂外观和充盈缺损的非典型位置。F-18 FDG PET(/CT)检查在所有病例(4/4)中均显示病变明确的高代谢。MRI在5/6例病例中证实了病变的血管化。

结论

MDCT或MRI上大血管内单侧或非典型位置的充盈缺损伴血管扩张、带蒂形状以及尽管进行了有效的抗凝治疗仍无改善,提示原发性肉瘤。MR灌注技术可提供有关病变性质的信息,但结果可能细微且不明确。F-18 FDG PET/CT在这些患者中可能具有潜在作用,可考虑作为影像检查的一部分。

https://cdn.ncbi.nlm.nih.gov/pmc/blobs/13c3/3750466/247d99fa3676/1471-2342-13-25-6.jpg
https://cdn.ncbi.nlm.nih.gov/pmc/blobs/13c3/3750466/26ee39242c8b/1471-2342-13-25-1.jpg
https://cdn.ncbi.nlm.nih.gov/pmc/blobs/13c3/3750466/f593dac95f05/1471-2342-13-25-2.jpg
https://cdn.ncbi.nlm.nih.gov/pmc/blobs/13c3/3750466/7012a88b6306/1471-2342-13-25-3.jpg
https://cdn.ncbi.nlm.nih.gov/pmc/blobs/13c3/3750466/f450d2a21f51/1471-2342-13-25-4.jpg
https://cdn.ncbi.nlm.nih.gov/pmc/blobs/13c3/3750466/dc20e9e8ec77/1471-2342-13-25-5.jpg
https://cdn.ncbi.nlm.nih.gov/pmc/blobs/13c3/3750466/247d99fa3676/1471-2342-13-25-6.jpg
https://cdn.ncbi.nlm.nih.gov/pmc/blobs/13c3/3750466/26ee39242c8b/1471-2342-13-25-1.jpg
https://cdn.ncbi.nlm.nih.gov/pmc/blobs/13c3/3750466/f593dac95f05/1471-2342-13-25-2.jpg
https://cdn.ncbi.nlm.nih.gov/pmc/blobs/13c3/3750466/7012a88b6306/1471-2342-13-25-3.jpg
https://cdn.ncbi.nlm.nih.gov/pmc/blobs/13c3/3750466/f450d2a21f51/1471-2342-13-25-4.jpg
https://cdn.ncbi.nlm.nih.gov/pmc/blobs/13c3/3750466/dc20e9e8ec77/1471-2342-13-25-5.jpg
https://cdn.ncbi.nlm.nih.gov/pmc/blobs/13c3/3750466/247d99fa3676/1471-2342-13-25-6.jpg

相似文献

1
Imaging features of primary sarcomas of the great vessels in CT, MRI and PET/CT: a single-center experience.大血管原发性肉瘤在CT、MRI和PET/CT中的影像特征:单中心经验
BMC Med Imaging. 2013 Aug 7;13:25. doi: 10.1186/1471-2342-13-25.
2
The impact of F-FDG PET on initial staging and therapy planning of pediatric soft-tissue sarcoma patients.氟代脱氧葡萄糖正电子发射断层扫描对儿科软组织肉瘤患者初始分期和治疗计划的影响。
Pediatr Radiol. 2020 Feb;50(2):252-260. doi: 10.1007/s00247-019-04530-1. Epub 2019 Oct 18.
3
18F-Fluorodeoxyglucose Positron Emission Tomography/Magnetic Resonance in Lymphoma: Comparison With 18F-Fluorodeoxyglucose Positron Emission Tomography/Computed Tomography and With the Addition of Magnetic Resonance Diffusion-Weighted Imaging.18F-氟脱氧葡萄糖正电子发射断层扫描/磁共振成像在淋巴瘤中的应用:与18F-氟脱氧葡萄糖正电子发射断层扫描/计算机断层扫描的比较以及添加磁共振扩散加权成像的研究
Invest Radiol. 2016 Mar;51(3):163-9. doi: 10.1097/RLI.0000000000000218.
4
Performance of whole-body integrated 18F-FDG PET/MR in comparison to PET/CT for evaluation of malignant bone lesions.全身一体化18F-FDG PET/MR与PET/CT在评估恶性骨病变方面的性能比较。
J Nucl Med. 2014 Feb;55(2):191-7. doi: 10.2967/jnumed.113.123646. Epub 2013 Dec 5.
5
PET/MRI with diagnostic MR sequences vs PET/CT in the detection of abdominal and pelvic cancer.采用诊断性磁共振序列的PET/MRI与PET/CT在腹部和盆腔癌症检测中的比较
Eur J Radiol. 2016 Apr;85(4):751-9. doi: 10.1016/j.ejrad.2016.01.010. Epub 2016 Jan 21.
6
Comprehensive Oncologic Imaging in Infants and Preschool Children With Substantially Reduced Radiation Exposure Using Combined Simultaneous ¹⁸F-Fluorodeoxyglucose Positron Emission Tomography/Magnetic Resonance Imaging: A Direct Comparison to ¹⁸F-Fluorodeoxyglucose Positron Emission Tomography/Computed Tomography.使用联合¹⁸F-氟代脱氧葡萄糖正电子发射断层扫描/磁共振成像技术降低辐射剂量对婴儿和学龄前儿童进行全面肿瘤成像:与¹⁸F-氟代脱氧葡萄糖正电子发射断层扫描/计算机断层扫描的直接比较。
Invest Radiol. 2016 Jan;51(1):7-14. doi: 10.1097/RLI.0000000000000200.
7
A prospective diagnostic accuracy study of 18F-fluorodeoxyglucose positron emission tomography/computed tomography, multidetector row computed tomography, and magnetic resonance imaging in primary diagnosis and staging of pancreatic cancer.前瞻性诊断准确性研究 18F-氟脱氧葡萄糖正电子发射断层扫描/计算机断层扫描、多排计算机断层扫描和磁共振成像在胰腺癌的初步诊断和分期中的应用。
Ann Surg. 2009 Dec;250(6):957-63. doi: 10.1097/SLA.0b013e3181b2fafa.
8
Improving MR sequence of 18F-FDG PET/MR for diagnosing and staging gastric Cancer: a comparison study to F-FDG PET/CT.提高 18F-FDG PET/MR 诊断和分期胃癌的 MR 序列:与 F-FDG PET/CT 的对比研究。
Cancer Imaging. 2020 Jun 16;20(1):39. doi: 10.1186/s40644-020-00317-y.
9
Evaluation of ¹⁸F-FDG PET/MRI, ¹⁸F-FDG PET/CT, MRI, and CT in whole-body staging of recurrent breast cancer.¹⁸F-FDG PET/MRI、¹⁸F-FDG PET/CT、MRI及CT在复发性乳腺癌全身分期中的评估
Eur J Radiol. 2016 Feb;85(2):459-65. doi: 10.1016/j.ejrad.2015.12.010. Epub 2015 Dec 19.
10
Advantages of F FDG-PET/CT over Conventional Staging for Sarcoma Patients.氟代脱氧葡萄糖正电子发射断层扫描/计算机断层扫描(FDG-PET/CT)相对于传统分期方法在肉瘤患者中的优势。
Pathol Oncol Res. 2019 Jan;25(1):131-136. doi: 10.1007/s12253-017-0325-0. Epub 2017 Oct 9.

引用本文的文献

1
Multimodal Imaging in the Diagnosis of Primary Aortic Epithelioid Angiosarcoma.多模态成像在原发性主动脉上皮样血管肉瘤诊断中的应用
Cureus. 2025 Aug 17;17(8):e90295. doi: 10.7759/cureus.90295. eCollection 2025 Aug.
2
Aortic angiosarcoma leading to paraplegia: a case report.导致截瘫的主动脉血管肉瘤:一例报告。
Front Cardiovasc Med. 2025 Apr 29;12:1551262. doi: 10.3389/fcvm.2025.1551262. eCollection 2025.
3
Aortic intimal sarcoma with abdominal metastasis: case report and management approach.主动脉内膜肉瘤伴腹部转移:病例报告及处理方法

本文引用的文献

1
A rare case of primary pulmonary epithelioid angiosarcoma detected by (18)F-FDG PET/CT.(18)F-FDG PET/CT 检测到的原发性肺上皮样血管肉瘤 1 例罕见病例。
Clin Nucl Med. 2014 May;39(5):450-2. doi: 10.1097/RLU.0b013e318292f3b3.
2
Tumors of the pulmonary artery and veins.肺动脉和肺静脉肿瘤。
Semin Ultrasound CT MR. 2012 Dec;33(6):580-90. doi: 10.1053/j.sult.2012.04.002.
3
Imaging sarcomas of the great vessels and heart.大血管及心脏肉瘤的影像学检查
Front Oncol. 2025 Feb 12;15:1508691. doi: 10.3389/fonc.2025.1508691. eCollection 2025.
4
Aortic Intimal Sarcoma Diagnosed by Surgical Resection.经手术切除诊断的主动脉内膜肉瘤
Intern Med. 2025 Jul 15;64(14):2178-2182. doi: 10.2169/internalmedicine.4651-24. Epub 2025 Jan 15.
5
Case report: Pulmonary artery sarcoma diagnosed through rare brain metastases.病例报告:通过罕见的脑转移诊断出肺动脉肉瘤。
Front Oncol. 2024 May 15;14:1394708. doi: 10.3389/fonc.2024.1394708. eCollection 2024.
6
Aortic sarcoma: a challenging diagnosis.主动脉肉瘤:极具挑战性的诊断。
BMJ Case Rep. 2023 Sep 20;16(9):e256722. doi: 10.1136/bcr-2023-256722.
7
2022 ACC/AHA guideline for the diagnosis and management of aortic disease: A report of the American Heart Association/American College of Cardiology Joint Committee on Clinical Practice Guidelines.2022 ACC/AHA 血管疾病诊断与管理指南:美国心脏协会/美国心脏病学会联合委员会临床实践指南的报告。
J Thorac Cardiovasc Surg. 2023 Nov;166(5):e182-e331. doi: 10.1016/j.jtcvs.2023.04.023. Epub 2023 Jun 28.
8
A case report of pulmonary artery intimal sarcoma negative for 18F-FDG mimicking pulmonary thromboembolism.18F-FDG阴性的肺动脉内膜肉瘤酷似肺血栓栓塞症一例报告
Eur Heart J Case Rep. 2023 Apr 26;7(4):ytad140. doi: 10.1093/ehjcr/ytad140. eCollection 2023 Apr.
9
2022 ACC/AHA Guideline for the Diagnosis and Management of Aortic Disease: A Report of the American Heart Association/American College of Cardiology Joint Committee on Clinical Practice Guidelines.2022 ACC/AHA 血管疾病诊断与管理指南:美国心脏协会/美国心脏病学会联合临床实践指南委员会的报告。
J Am Coll Cardiol. 2022 Dec 13;80(24):e223-e393. doi: 10.1016/j.jacc.2022.08.004. Epub 2022 Nov 2.
10
2022 ACC/AHA Guideline for the Diagnosis and Management of Aortic Disease: A Report of the American Heart Association/American College of Cardiology Joint Committee on Clinical Practice Guidelines.2022 ACC/AHA 血管疾病诊断与管理指南:美国心脏协会/美国心脏病学会联合临床实践指南委员会的报告。
Circulation. 2022 Dec 13;146(24):e334-e482. doi: 10.1161/CIR.0000000000001106. Epub 2022 Nov 2.
Semin Ultrasound CT MR. 2011 Oct;32(5):377-404. doi: 10.1053/j.sult.2011.06.001.
4
Pulmonary artery intimal sarcoma: the role of ¹⁸F-fluorodeoxyglucose positron emission tomography in monitoring response to treatment.肺动脉内膜肉瘤:¹⁸F-氟脱氧葡萄糖正电子发射断层扫描在监测治疗反应中的作用。
Jpn J Radiol. 2011 May;29(4):279-82. doi: 10.1007/s11604-010-0545-7. Epub 2011 May 24.
5
Images in vascular medicine . Metastatic aortic intimal sarcoma: the use of PET/CT in diagnosing and staging.血管医学影像。转移性主动脉内膜肉瘤:PET/CT在诊断和分期中的应用。
Vasc Med. 2011 Feb;16(1):81-2. doi: 10.1177/1358863X10395658.
6
FDG-PET in diagnostic work-up of pulmonary artery sarcomas.氟代脱氧葡萄糖正电子发射断层扫描在肺动脉肉瘤诊断检查中的应用
Eur Respir J. 2010 Feb;35(2):444-6. doi: 10.1183/09031936.00114708.
7
FDG PET/CT in aortic angiosarcoma.氟代脱氧葡萄糖正电子发射断层扫描/计算机断层扫描在主动脉血管肉瘤中的应用
Clin Nucl Med. 2010 Feb;35(2):134-7. doi: 10.1097/RLU.0b013e3181c7c0a2.
8
Diagnostic usefulness of 18F-FDG PET/CT in the differentiation of pulmonary artery sarcoma and pulmonary embolism.18F-FDG PET/CT在肺动脉肉瘤与肺栓塞鉴别诊断中的应用价值
Ann Nucl Med. 2009 Sep;23(7):671-6. doi: 10.1007/s12149-009-0292-y. Epub 2009 Aug 13.
9
Diagnosis of venous angiosarcoma by FDG PET/CT.通过氟代脱氧葡萄糖正电子发射断层显像/X线计算机体层摄影术(FDG PET/CT)诊断静脉性血管肉瘤
Clin Nucl Med. 2008 Jan;33(1):66-7. doi: 10.1097/RLU.0b013e318148b217.
10
Primary malignant sarcomas of the heart and great vessels in adult patients--a single-center experience.成年患者心脏和大血管原发性恶性肉瘤——单中心经验
Oncologist. 2007 Sep;12(9):1134-42. doi: 10.1634/theoncologist.12-9-1134.