Suppr超能文献

难治性乳糜泻导致空泡性肠系膜淋巴结综合征及乳糜泻相关中枢神经系统脱髓鞘疾病

Refractory Celiac Disease Causing Cavitating Mesenteric Lymph Node Syndrome and Celiac Disease Associated Central Nervous System Demyelinating Disorder.

作者信息

Del Rio Teresa, Burman Blaire, Siddique Asma, Forsythe Erin

机构信息

Gastroenterology Department, Virginia Mason Medical Center, Seattle, Washington.

出版信息

Gastro Hep Adv. 2025 Jun 24;4(10):100738. doi: 10.1016/j.gastha.2025.100738. eCollection 2025.

Abstract

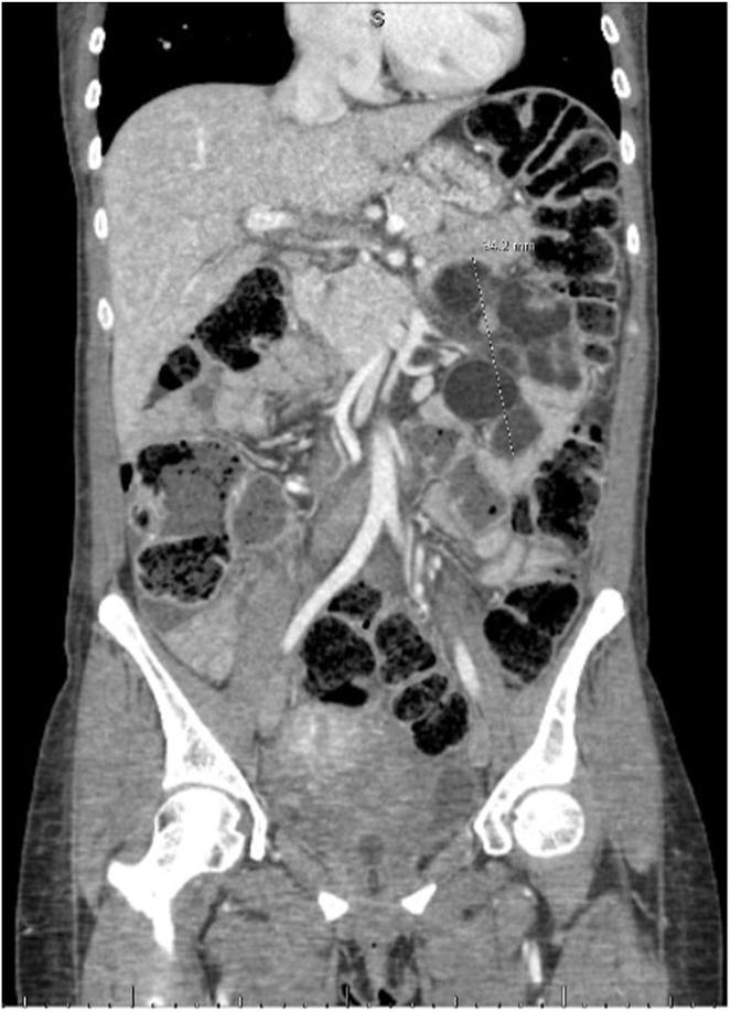
Refractory celiac disease is a rare complex autoimmune-mediated disorder, which has multiple complications, among the best known is enteropathy-associated T-cell lymphoma, other rare complications are central nervous system demyelinating disorder and cavitary mesenteric lymph node syndrome. In our case report, we present a 43-year-old female with a known history of refractory celiac disease who developed a progressive demyelinating disorder of unknown origin and elevated liver enzymes that warranted further investigation. This led to the diagnosis of the cavitary mesenteric lymph node syndrome and celiac disease associated with demyelinating disorder that are both very rare presentations of refractory celiac disease. Treatment options for this case presented a challenge, firstly due to the lack of literature but also to continued complications.

摘要

难治性乳糜泻是一种罕见的复杂自身免疫介导性疾病,有多种并发症,其中最广为人知的是肠病相关T细胞淋巴瘤,其他罕见并发症包括中枢神经系统脱髓鞘疾病和空泡性肠系膜淋巴结综合征。在我们的病例报告中,我们介绍了一名43岁女性,她有难治性乳糜泻病史,出现了病因不明的进行性脱髓鞘疾病以及肝酶升高,这需要进一步检查。这导致诊断为空泡性肠系膜淋巴结综合征以及与脱髓鞘疾病相关的乳糜泻,这两种都是难治性乳糜泻非常罕见的表现形式。该病例的治疗选择带来了挑战,首先是由于缺乏文献资料,也由于持续出现的并发症。

https://cdn.ncbi.nlm.nih.gov/pmc/blobs/1244/12446522/5c0a5e7e87d1/gr1.jpg

文献检索

告别复杂PubMed语法,用中文像聊天一样搜索,搜遍4000万医学文献。AI智能推荐,让科研检索更轻松。

立即免费搜索

文件翻译

保留排版,准确专业,支持PDF/Word/PPT等文件格式,支持 12+语言互译。

免费翻译文档

深度研究

AI帮你快速写综述,25分钟生成高质量综述,智能提取关键信息,辅助科研写作。

立即免费体验