• 文献检索
  • 文档翻译
  • 深度研究
  • 学术资讯
  • Suppr Zotero 插件Zotero 插件
  • 邀请有礼
  • 套餐&价格
  • 历史记录
应用&插件
Suppr Zotero 插件Zotero 插件浏览器插件Mac 客户端Windows 客户端微信小程序
定价
高级版会员购买积分包购买API积分包
服务
文献检索文档翻译深度研究API 文档MCP 服务
关于我们
关于 Suppr公司介绍联系我们用户协议隐私条款
关注我们

Suppr 超能文献

核心技术专利:CN118964589B侵权必究
粤ICP备2023148730 号-1Suppr @ 2026

文献检索

告别复杂PubMed语法,用中文像聊天一样搜索,搜遍4000万医学文献。AI智能推荐,让科研检索更轻松。

立即免费搜索

文件翻译

保留排版,准确专业,支持PDF/Word/PPT等文件格式,支持 12+语言互译。

免费翻译文档

深度研究

AI帮你快速写综述,25分钟生成高质量综述,智能提取关键信息,辅助科研写作。

立即免费体验

病例报告:编码2-酮戊二酸脱氢酶复合体一个组分的基因中的双等位基因变异导致 Leigh 综合征。

Case Report: Biallelic variants in , encoding a component of the 2-oxoglutarate dehydrogenase complex, cause leigh syndrome.

作者信息

Jiang Huafang, Xu Chaolong, Liu Zhimei, Duan Ruoyu, Yao Xingfeng, Fu Xiaona, Xu Jiatong, Kang Xuejing, Yu Tenghui, Wang Yuanyuan, Fang Fang

机构信息

Department of Pediatrics, Weifang Maternal and Child Health Hospital, Peking University Health Science Center-Weifang Joint Research Center for Maternal and Child Health, Weifang, China.

Department of Neurology, Beijing Children's Hospital, Capital Medical University, National Center for Children's Health, Beijing, China.

出版信息

Front Pediatr. 2025 Sep 12;13:1608840. doi: 10.3389/fped.2025.1608840. eCollection 2025.

DOI:10.3389/fped.2025.1608840
PMID:41018056
原文链接:https://pmc.ncbi.nlm.nih.gov/articles/PMC12463997/
Abstract

BACKGROUND

The gene encodes the E4 subunit of the 2-oxoglutarate dehydrogenase complex (OGDHC), a critical enzyme in the tricarboxylic acid cycle. OGDHC deficiency can lead to metabolic disorders with a clinical spectrum ranging from fatal neonatal lactic acidosis to variable degrees of global developmental delay and movement disorders. To date, a homozygous variant has been reported as a novel cause of Leigh syndrome in only two siblings, who presented with developmental delay, movement disorders, bilateral striatal necrosis, and reduced OGDHC activity.

CASE PRESENTATION

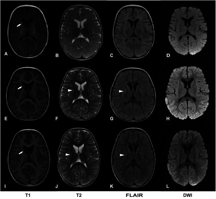
We report a third case of Leigh syndrome associated with variants in a 2-year-old boy. The patient exhibited with global developmental delay, dystonia, early-onset chorea, and elevated serum lactate levels. Follow-up brain magnetic resonance imaging at 2 years revealed progressive degenerative lesions in the bilateral basal ganglia. Muscle biopsy showed abnormal mitochondrial accumulation beneath the sarcolemma, and the oxygen consumption rate was reduced in skin fibroblasts. Whole-exome sequencing identified two novel compound heterozygous variants: c.42+1G>A (p.?) and c.296G>C (p.Arg99Pro).

CONCLUSION

This case supports as a novel pathogenic cause of Leigh syndrome, further expanding the genetic spectrum of the disorder. Key clinical features include developmental delay, involuntary movement disorders, progressive basal ganglia atrophy, and a slowly progressive disease course.

摘要

背景

该基因编码2-氧代戊二酸脱氢酶复合体(OGDHC)的E4亚基,这是三羧酸循环中的一种关键酶。OGDHC缺乏可导致代谢紊乱,临床症状范围从致命的新生儿乳酸酸中毒到不同程度的全面发育迟缓及运动障碍。迄今为止,仅在两名患有发育迟缓、运动障碍、双侧纹状体坏死和OGDHC活性降低的兄弟姐妹中报道了一种纯合变异作为Leigh综合征的新病因。

病例介绍

我们报告了一名2岁男孩中与该变异相关的Leigh综合征的第三例病例。该患者表现为全面发育迟缓、肌张力障碍、早发性舞蹈症和血清乳酸水平升高。2岁时的随访脑磁共振成像显示双侧基底神经节有进行性退行性病变。肌肉活检显示肌膜下线粒体异常积聚,皮肤成纤维细胞的氧消耗率降低。全外显子组测序鉴定出两个新的复合杂合变异:c.42+1G>A(p.?)和c.296G>C(p.Arg99Pro)。

结论

该病例支持该变异作为Leigh综合征的一种新的致病原因,进一步扩展了该疾病的遗传谱。关键临床特征包括发育迟缓、不自主运动障碍、进行性基底神经节萎缩和缓慢进展的病程。

https://cdn.ncbi.nlm.nih.gov/pmc/blobs/79e0/12463997/1990562220fb/fped-13-1608840-g004.jpg
https://cdn.ncbi.nlm.nih.gov/pmc/blobs/79e0/12463997/65088476450c/fped-13-1608840-g001.jpg
https://cdn.ncbi.nlm.nih.gov/pmc/blobs/79e0/12463997/81ba4e4e8e0c/fped-13-1608840-g002.jpg
https://cdn.ncbi.nlm.nih.gov/pmc/blobs/79e0/12463997/010913349ba1/fped-13-1608840-g003.jpg
https://cdn.ncbi.nlm.nih.gov/pmc/blobs/79e0/12463997/1990562220fb/fped-13-1608840-g004.jpg
https://cdn.ncbi.nlm.nih.gov/pmc/blobs/79e0/12463997/65088476450c/fped-13-1608840-g001.jpg
https://cdn.ncbi.nlm.nih.gov/pmc/blobs/79e0/12463997/81ba4e4e8e0c/fped-13-1608840-g002.jpg
https://cdn.ncbi.nlm.nih.gov/pmc/blobs/79e0/12463997/010913349ba1/fped-13-1608840-g003.jpg
https://cdn.ncbi.nlm.nih.gov/pmc/blobs/79e0/12463997/1990562220fb/fped-13-1608840-g004.jpg

相似文献

1
Case Report: Biallelic variants in , encoding a component of the 2-oxoglutarate dehydrogenase complex, cause leigh syndrome.病例报告:编码2-酮戊二酸脱氢酶复合体一个组分的基因中的双等位基因变异导致 Leigh 综合征。
Front Pediatr. 2025 Sep 12;13:1608840. doi: 10.3389/fped.2025.1608840. eCollection 2025.
2
Biallelic Variants of MRPS36 Cause a New Form of Leigh Syndrome.MRPS36 双等位基因突变导致一种新的 Leigh 综合征。
Mov Disord. 2024 Jul;39(7):1225-1231. doi: 10.1002/mds.29795. Epub 2024 Apr 30.
3
Mitochondrial DNA-Associated Leigh Syndrome Spectrum线粒体DNA相关的 Leigh 综合征谱系
4
-Related Neurologic Disorders-相关神经系统疾病
5
Isolated Methylmalonic Acidemia孤立性甲基丙二酸血症
6
-Related Tetrahydrobiopterin Deficiency (PTPSD)- 相关四氢生物蝶呤缺乏症(PTPSD)
7
Vesicoureteral Reflux膀胱输尿管反流
8
WARS2 DeficiencyWARS2基因缺陷
9
-Related Dopamine Transporter Deficiency Syndrome-相关多巴胺转运体缺乏综合征
10
[Clinical characteristics analysis of mitochondrial short-chain enoyl-CoA hydratase 1 deficiency with ECHS1 gene c.489G>A compound heterozygous variants].[ECHS1基因c.489G>A复合杂合变异所致线粒体短链烯酰辅酶A水合酶1缺乏症的临床特征分析]
Zhonghua Er Ke Za Zhi. 2025 Oct 2;63(10):1085-1091. doi: 10.3760/cma.j.cn112140-20250718-00662.

本文引用的文献

1
Dihydrolipoamide dehydrogenase deficiency in five siblings with variable phenotypes, including fulminant fatal liver failure despite good engraftment of transplanted liver.五名具有不同表型的兄弟姐妹中存在二氢硫辛酰胺脱氢酶缺乏症,其中包括尽管移植肝脏良好植入但仍发生暴发性致命性肝衰竭。
JIMD Rep. 2024 Aug 21;65(5):323-329. doi: 10.1002/jmd2.12444. eCollection 2024 Sep.
2
Molecular architecture of the mammalian 2-oxoglutarate dehydrogenase complex.哺乳动物 2-氧戊二酸脱氢酶复合物的分子结构。
Nat Commun. 2024 Sep 27;15(1):8407. doi: 10.1038/s41467-024-52792-7.
3
The natural history of dihydrolipoamide dehydrogenase deficiency in Israel.
以色列二氢硫辛酰胺脱氢酶缺乏症的自然史。
J Inherit Metab Dis. 2024 Sep;47(5):895-902. doi: 10.1002/jimd.12778. Epub 2024 Jul 23.
4
Mitochondrial Alpha-Keto Acid Dehydrogenase Complexes: Recent Developments on Structure and Function in Health and Disease.线粒体 α-酮酸脱氢酶复合物:在健康和疾病中的结构和功能的最新进展。
Subcell Biochem. 2024;104:295-381. doi: 10.1007/978-3-031-58843-3_13.
5
Biallelic Variants of MRPS36 Cause a New Form of Leigh Syndrome.MRPS36 双等位基因突变导致一种新的 Leigh 综合征。
Mov Disord. 2024 Jul;39(7):1225-1231. doi: 10.1002/mds.29795. Epub 2024 Apr 30.
6
Biochemical characterization of patients with dihydrolipoamide dehydrogenase deficiency.二氢硫辛酰胺脱氢酶缺乏症患者的生化特征
JIMD Rep. 2023 Aug 4;64(5):367-374. doi: 10.1002/jmd2.12382. eCollection 2023 Sep.
7
Using the ACMG/AMP framework to capture evidence related to predicted and observed impact on splicing: Recommendations from the ClinGen SVI Splicing Subgroup.使用 ACMG/AMP 框架捕捉与预测和观察到的剪接影响相关的证据:ClinGen SVI 剪接小组的建议。
Am J Hum Genet. 2023 Jul 6;110(7):1046-1067. doi: 10.1016/j.ajhg.2023.06.002. Epub 2023 Jun 22.
8
DLST mutations in pheochromocytoma and paraganglioma cause proteome hyposuccinylation and metabolic remodeling.嗜铬细胞瘤和副神经节瘤中的DLST突变导致蛋白质组琥珀酰化不足和代谢重塑。
Cancer Commun (Lond). 2023 Jul;43(7):838-843. doi: 10.1002/cac2.12427. Epub 2023 May 4.
9
MRPS36 provides a structural link in the eukaryotic 2-oxoglutarate dehydrogenase complex.MRPS36 提供了真核生物 2-氧戊二酸脱氢酶复合物的结构连接。
Open Biol. 2023 Mar;13(3):220363. doi: 10.1098/rsob.220363. Epub 2023 Mar 1.
10
Regulation and function of the mammalian tricarboxylic acid cycle.哺乳动物三羧酸循环的调控与功能。
J Biol Chem. 2023 Feb;299(2):102838. doi: 10.1016/j.jbc.2022.102838. Epub 2022 Dec 26.