He Yixiao, Xie Gang, Ji Yuzhu, Shi Yu, He Yushuang, Lei Xue
Mianyang Central Hospital, School of Medicine, University of Electronic Science and Technology of China, Mianyang, China.
Front Oncol. 2025 Sep 17;15:1602250. doi: 10.3389/fonc.2025.1602250. eCollection 2025.
Vulvar ectopic breast fibroadenoma (EBF) is an exceptionally rare benign neoplasm that lacks distinctive clinical or radiological features rendering pre-operative differentiation from other vulvar masses challenging. Definitive diagnosis requires histopathological confirmation. Two non-exclusive histogenetic hypotheses have been proposed: (1) derivation from ectopic breast tissue along the embryonic "milk line," (2) origin from hormonally responsive anogenital mammary-like glands with latent potential for benign or malignant transformation.
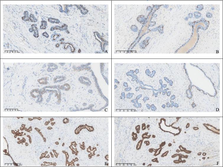
A 41-year-old woman presented with an incidentally discovered, slowly enlarging, painless right vulvar mass. Ultrasonography revealed a well-circumscribed hypoechoic nodule. Complete surgical excision was performed, and histopathological evaluation-including immunohistochemistry for estrogen receptor, progesterone receptor, GATA3, and p63-confirmed ectopic breast fibroadenoma. No recurrence was detected at 3-month follow-up.
Despite its rarity, vulvar EBF must be considered in the differential diagnosis of vulvar masses in reproductive-age women. En-bloc excision is curative; however, long-term surveillance is warranted to monitor for hormone-driven recurrence or malignant evolution.