Abdelkader Rem Ehab, Elsherbiny Mohamed, Elsaied Adham, Abdelglil Momen, Ali Khadiga M
Mansoura Manchester Program for Medical Education, Mansoura University Faculty of Medicine, Mansoura, Egypt.
Mansoura University Children's Hospital, Mansoura, Dakahlia, Egypt.
J Surg Case Rep. 2025 Oct 3;2025(10):rjaf611. doi: 10.1093/jscr/rjaf611. eCollection 2025 Oct.
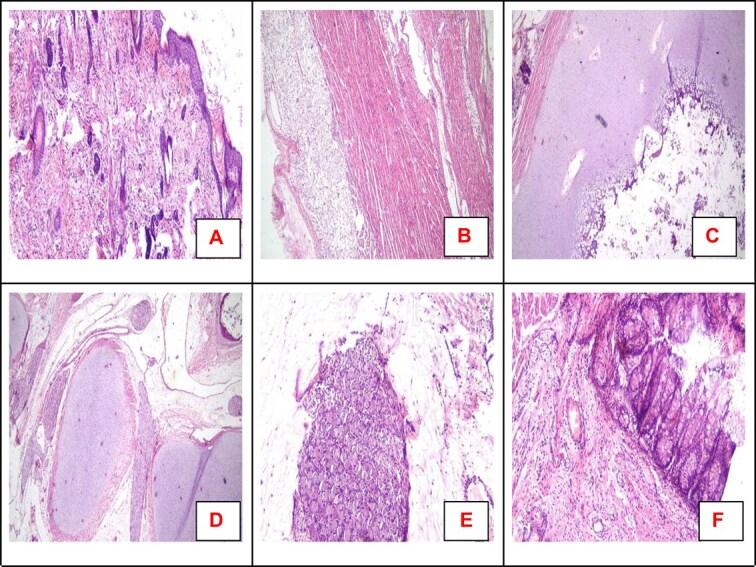
Fetus-in-fetu (FIF), a rare congenital anomaly, involves a malformed fetus within its twin. It typically presents as an asymptomatic abdominal mass discovered postnatally, with an incidence of 1/500000 births. An 11-day-old Arab female infant presented with progressive abdominal distention. General physical examinations were normal. Abdominal examination revealed an ill-defined fixed lump in the right upper quadrant. Imaging revealed a 8 × 6 cm retroperitoneal mass containing skeletal elements. Surgical exploration via laparotomy confirmed diagnosis. Careful dissection was necessary due to its vascular and anatomical complexity. Histopathological examination revealed tissues from all three germ layers, excluding teratoma. FIF is distinguished from teratomas by the presence of a vertebral column with organized development of surrounding tissues, and typically manifests without malignant potential. Surgical excision is curative, with minimal risk of recurrence. Long-term follow-up with imaging and tumor markers is recommended to monitor for complications, despite its benign nature.
胎内胎(FIF)是一种罕见的先天性异常,表现为双胎中的一个胎儿发育畸形。它通常在出生后表现为无症状的腹部肿块,发病率为1/500000活产。一名11天大的阿拉伯女婴出现进行性腹胀。全身体格检查正常。腹部检查发现右上象限有一个边界不清的固定肿块。影像学检查显示一个8×6 cm的腹膜后肿块,内含骨骼成分。经剖腹探查手术确诊。由于其血管和解剖结构复杂,需要仔细解剖。组织病理学检查显示来自所有三个胚层的组织,排除了畸胎瘤。胎内胎与畸胎瘤的区别在于存在有周围组织有序发育的脊柱,且通常无恶性潜能。手术切除可治愈,复发风险极小。尽管其性质为良性,但建议进行长期影像学和肿瘤标志物随访以监测并发症。