Suppr超能文献

人类和猕猴牙齿的釉质-牙本质界:光镜和电镜研究

The enamel--dentine junction of human and Macaca irus teeth: a light and electron microscopic study.

作者信息

Whittaker D K

出版信息

J Anat. 1978 Feb;125(Pt 2):323-35.

Abstract

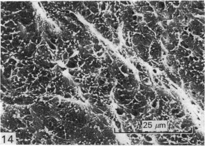
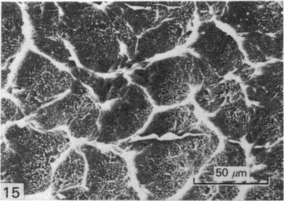
The enamel--dentin junction of human and Macaca irus teeth has been studied using light and scanning and transmission electron microscopy. There are differences between species and within the same tooth. Scalloping, when present, is more developed in the cuspal areas and approximally, and the scallops appear to be formed at the time of maturation of the hard tissues. Enamel tufts and spindles are briefly discussed. The depth of scallops was less in the human deciduous than in the permanent teeth, but no differences were noted between monkey deciduous and permanent dentitions.

摘要

利用光学显微镜、扫描电子显微镜和透射电子显微镜对人类和猕猴牙齿的釉质-牙本质界进行了研究。物种之间以及同一颗牙齿内部均存在差异。当出现扇贝状结构时,在牙尖区域和近似区域更为发达,并且扇贝状结构似乎是在硬组织成熟时形成的。文中简要讨论了釉丛和釉梭。人类乳牙的扇贝状结构深度小于恒牙,但在猕猴乳牙和恒牙列之间未观察到差异。

https://cdn.ncbi.nlm.nih.gov/pmc/blobs/3650/1235600/0ec54297e210/janat00360-0113-a.jpg

文献检索

告别复杂PubMed语法,用中文像聊天一样搜索,搜遍4000万医学文献。AI智能推荐,让科研检索更轻松。

立即免费搜索

文件翻译

保留排版,准确专业,支持PDF/Word/PPT等文件格式,支持 12+语言互译。

免费翻译文档

深度研究

AI帮你快速写综述,25分钟生成高质量综述,智能提取关键信息,辅助科研写作。

立即免费体验