• 文献检索
  • 文档翻译
  • 深度研究
  • 学术资讯
  • Suppr Zotero 插件Zotero 插件
  • 邀请有礼
  • 套餐&价格
  • 历史记录
应用&插件
Suppr Zotero 插件Zotero 插件浏览器插件Mac 客户端Windows 客户端微信小程序
定价
高级版会员购买积分包购买API积分包
服务
文献检索文档翻译深度研究API 文档MCP 服务
关于我们
关于 Suppr公司介绍联系我们用户协议隐私条款
关注我们

Suppr 超能文献

核心技术专利:CN118964589B侵权必究
粤ICP备2023148730 号-1Suppr @ 2026

文献检索

告别复杂PubMed语法,用中文像聊天一样搜索,搜遍4000万医学文献。AI智能推荐,让科研检索更轻松。

立即免费搜索

文件翻译

保留排版,准确专业,支持PDF/Word/PPT等文件格式,支持 12+语言互译。

免费翻译文档

深度研究

AI帮你快速写综述,25分钟生成高质量综述,智能提取关键信息,辅助科研写作。

立即免费体验

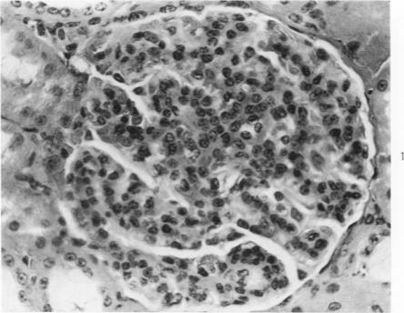
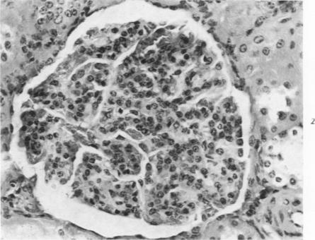
Spontaneous glomerulonephritis in sheep. II. Studies on natural history, occurrence in other species, and pathogenesis.

作者信息

Lerner R A, Dixon F J, Lee S

出版信息

Am J Pathol. 1968 Oct;53(4):501-12.

PMID:4175664
原文链接:https://pmc.ncbi.nlm.nih.gov/articles/PMC2013416/
Abstract
摘要
https://cdn.ncbi.nlm.nih.gov/pmc/blobs/a61e/2013416/f8ebf8747ed4/amjpathol00555-0030-b.jpg
https://cdn.ncbi.nlm.nih.gov/pmc/blobs/a61e/2013416/9e4a04c87fb9/amjpathol00555-0029-a.jpg
https://cdn.ncbi.nlm.nih.gov/pmc/blobs/a61e/2013416/be036f755349/amjpathol00555-0029-b.jpg
https://cdn.ncbi.nlm.nih.gov/pmc/blobs/a61e/2013416/58b4df1dcae1/amjpathol00555-0030-a.jpg
https://cdn.ncbi.nlm.nih.gov/pmc/blobs/a61e/2013416/f8ebf8747ed4/amjpathol00555-0030-b.jpg
https://cdn.ncbi.nlm.nih.gov/pmc/blobs/a61e/2013416/9e4a04c87fb9/amjpathol00555-0029-a.jpg
https://cdn.ncbi.nlm.nih.gov/pmc/blobs/a61e/2013416/be036f755349/amjpathol00555-0029-b.jpg
https://cdn.ncbi.nlm.nih.gov/pmc/blobs/a61e/2013416/58b4df1dcae1/amjpathol00555-0030-a.jpg
https://cdn.ncbi.nlm.nih.gov/pmc/blobs/a61e/2013416/f8ebf8747ed4/amjpathol00555-0030-b.jpg

相似文献

1
Spontaneous glomerulonephritis in sheep. II. Studies on natural history, occurrence in other species, and pathogenesis.绵羊自发性肾小球肾炎。II. 自然史、在其他物种中的发生情况及发病机制研究
Am J Pathol. 1968 Oct;53(4):501-12.
2
Comparative pathology of glomerulonephritis in animals.动物肾小球肾炎的比较病理学
Vet Pathol. 1979 Mar;16(2):135-64. doi: 10.1177/030098587901600201.
3
Polyclonal 13S human gamma-G immunoglobulin.多克隆13S人γ-G免疫球蛋白
J Immunol. 1970 Mar;104(3):738-45.
4
Antibody enzyme conjugates: the preparation of intermolecular conjugates of horseradish peroxidase and antibody and their use in immunohistology of renal cortex.
J Histochem Cytochem. 1973 Mar;21(3):233-40. doi: 10.1177/21.3.233.
5
Spontaneous glomerulonephritis in sheep.绵羊自发性肾小球肾炎
Lab Invest. 1966 Jul;15(7):1279-89.
6
Glomerulonephritis in Aleutian disease of mink: histological and immunofluorescence studies.水貂阿留申病中的肾小球肾炎:组织学和免疫荧光研究
J Pathol. 1970 Jun;101(2):119-27. doi: 10.1002/path.1711010207.
7
A rapidly progressing mesangio-capillary glomerulonephritis in Finnish Landrace lambs.芬兰长白羔羊中一种快速进展的系膜毛细血管性肾小球肾炎。
Vet Rec. 1973 Mar 31;92(13):337-8. doi: 10.1136/vr.92.13.337.
8
The effects of endotoxin on the immune response in the rat. 3. Elimination of I125-labeled bovine gamma-globulin from the circulation of rats.内毒素对大鼠免疫反应的影响。3. 125I标记的牛γ球蛋白在大鼠循环系统中的清除。
Lab Invest. 1967 Oct;17(4):380-92.
9
Evaluation of light chain antigen binding by radioimmunoelectrophoresis.通过放射免疫电泳评估轻链抗原结合情况。
J Immunol. 1967 Sep;99(3):590-6.
10
[ON THE PATHOGENESIS OF BURN SICKNESS AND GLOMERULONEPHRITIS ACCORDING TO IMMUNOPATHOLOGICAL DATA].
Vestn Akad Med Nauk SSSR. 1964;19:42-9.

引用本文的文献

1
Proliferative glomerulonephritis leading to nephrotic syndrome in a cow.导致奶牛肾病综合征的增殖性肾小球肾炎。
Can Vet J. 1987 Jan;28(1-2):40-1.
2
Characterization of human anti-glomerular basement membrane antibodies eluted from glomerulonephritic kidneys.从肾小球肾炎肾脏洗脱的人抗肾小球基底膜抗体的特性分析
J Clin Invest. 1970 Feb;49(2):308-17. doi: 10.1172/JCI106240.
3
Naturally occurring canine glomerulonephritis.自然发生的犬类肾小球肾炎。

本文引用的文献

1
AUTOIMMUNE DISEASE IN NZB/BL MICE. I. PATHOLOGY AND PATHOGENESIS OF A MODEL SYSTEM OF SPONTANEOUS GLOMERULONEPHRITIS.NZB/BL小鼠的自身免疫性疾病。I. 自发性肾小球肾炎模型系统的病理学与发病机制
J Exp Med. 1965 Jul 1;122(1):25-40. doi: 10.1084/jem.122.1.25.
2
METABOLISM AND FUNCTION OF GAMMA GLOBULIN IN ALEUTIAN DISEASE OF MINK.水貂阿留申病中γ球蛋白的代谢与功能
J Exp Med. 1965 Jun 1;121(6):889-900. doi: 10.1084/jem.121.6.889.
3
GLOMERULONEPHRITIS AND LATE ONSET DISEASE OF MICE FOLLOWING NEONATAL VIRUS INFECTION.新生儿病毒感染后小鼠的肾小球肾炎和迟发性疾病
Am J Pathol. 1972 Jun;67(3):471-82.
4
Naturally occurring immune-complex glomerulonephritis in monkeys (Macaca irus). I. Light, immunofluorescence and electron microscopic studies.猕猴(食蟹猴)自然发生的免疫复合物性肾小球肾炎。I. 光镜、免疫荧光和电镜研究。
Am J Pathol. 1974 Jul;76(1):145-64.
5
Spontaneous glomerulonephritis in the prosimian primate Galago. A correlative light, immunofluorescence and electron microscopic analysis.原猴亚目灵长类动物伽拉戈自发性肾小球肾炎。光镜、免疫荧光及电镜相关分析
Am J Pathol. 1970 Dec;61(3):437-56.
Nature. 1964 Sep 26;203:1357-9. doi: 10.1038/2031357a0.
4
A RENAL LESION ASSOCIATED WITH DIURESIS IN THE AGING SPRAGUE-DAWLEY RAT.衰老的斯普拉格-道利大鼠中与利尿相关的肾脏病变。
Lab Invest. 1964 May;13:439-50.
5
Renal disease associated with positive lupus erythematosus tests in a cross-bred strain of mice.与小鼠杂交品系中狼疮红斑试验阳性相关的肾脏疾病
Nature. 1963 Jan 12;197:197. doi: 10.1038/197197a0.
6
Glomerulonephritis induced in sheep by injections of heterologous glomerular basement membrane and Freund's complete adjuvant.通过注射异种肾小球基底膜和弗氏完全佐剂在绵羊中诱导的肾小球肾炎。
J Exp Med. 1962 Aug 1;116(2):253-72. doi: 10.1084/jem.116.2.253.
7
A histologic study of spontaneous glomerular lesions in aging RF mice.衰老RF小鼠自发性肾小球病变的组织学研究。
Am J Pathol. 1962 Jun;40(6):699-709.
8
Progressive intercapillary glomerulosclerosis in the mouse, rat, and Chinese hamster, associated with aging and x-ray exposure.小鼠、大鼠和中国仓鼠中与衰老及X射线照射相关的进行性毛细血管间肾小球硬化症。
Am J Pathol. 1960 Sep;37(3):293-307.
9
Experimental glomerulonephritis. The pathogenesis of a laboratory model resembling the spectrum of human glomerulonephritis.实验性肾小球肾炎。一种类似于人类肾小球肾炎谱系的实验室模型的发病机制。
J Exp Med. 1961 May 1;113(5):899-920. doi: 10.1084/jem.113.5.899.
10
Pathogenesis of serum sickness.血清病的发病机制。
AMA Arch Pathol. 1958 Jan;65(1):18-28.