Suppr超能文献

实验性脑死亡。I. 脑的形态学与精细结构

Experimental brain death. I. Morphology and fine structure of the brain.

作者信息

Matakas F, Cervos-Navarro J, Schneider H

出版信息

J Neurol Neurosurg Psychiatry. 1973 Aug;36(4):497-508. doi: 10.1136/jnnp.36.4.497.

Abstract

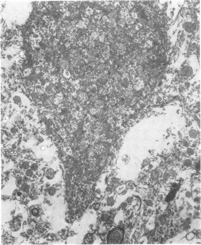
The morphological characteristics of brain death were examined in baboons and cats after artificial cerebral ischaemia. All animals showed autolytic changes in the brain, ischaemic neuronal changes, midbrain haemorrhages, focal necrosis of the brain-stem, demarcation at C 1/C 2 cord segment, and displacement of cerebellar tissue. Ultrastructural examination revealed extreme brain oedema, autolytic changes, and complete obstruction of capillaries by astrocytic and endothelial swelling and intravascular blebs. These data indicate that brain death develops in several stages. If the process starts in the supratentorial space it first leads to a breakdown of the cerebral circulation and to transtentorial herniation. As a result, midbrain haemorrhages develop and the infratentorial pressure begins to rise. The second stage is terminated by demarcation of the brain. The circulatory arrest is initially caused by venous compression but becomes irreversible when vascular obstruction develops.

摘要

在狒狒和猫身上进行人工脑缺血后,对脑死亡的形态学特征进行了检查。所有动物均表现出脑自溶变化、缺血性神经元变化、中脑出血、脑干局灶性坏死、C1/C2脊髓节段分界以及小脑组织移位。超微结构检查显示极度脑水肿、自溶变化,以及星形细胞和内皮细胞肿胀及血管内气泡导致毛细血管完全阻塞。这些数据表明脑死亡分几个阶段发展。如果该过程始于幕上空间,首先会导致脑循环中断和经天幕疝形成。结果,中脑出血发生,幕下压力开始升高。第二阶段以脑分界结束。循环停止最初是由静脉受压引起的,但当血管阻塞发生时就会变得不可逆转。

https://cdn.ncbi.nlm.nih.gov/pmc/blobs/72ad/494401/2c92c530f90a/jnnpsyc00202-0002-a.jpg

文献检索

告别复杂PubMed语法,用中文像聊天一样搜索,搜遍4000万医学文献。AI智能推荐,让科研检索更轻松。

立即免费搜索

文件翻译

保留排版,准确专业,支持PDF/Word/PPT等文件格式,支持 12+语言互译。

免费翻译文档

深度研究

AI帮你快速写综述,25分钟生成高质量综述,智能提取关键信息,辅助科研写作。

立即免费体验