• 文献检索
  • 文档翻译
  • 深度研究
  • 学术资讯
  • Suppr Zotero 插件Zotero 插件
  • 邀请有礼
  • 套餐&价格
  • 历史记录
应用&插件
Suppr Zotero 插件Zotero 插件浏览器插件Mac 客户端Windows 客户端微信小程序
定价
高级版会员购买积分包购买API积分包
服务
文献检索文档翻译深度研究API 文档MCP 服务
关于我们
关于 Suppr公司介绍联系我们用户协议隐私条款
关注我们

Suppr 超能文献

核心技术专利:CN118964589B侵权必究
粤ICP备2023148730 号-1Suppr @ 2026

文献检索

告别复杂PubMed语法,用中文像聊天一样搜索,搜遍4000万医学文献。AI智能推荐,让科研检索更轻松。

立即免费搜索

文件翻译

保留排版,准确专业,支持PDF/Word/PPT等文件格式,支持 12+语言互译。

免费翻译文档

深度研究

AI帮你快速写综述,25分钟生成高质量综述,智能提取关键信息,辅助科研写作。

立即免费体验

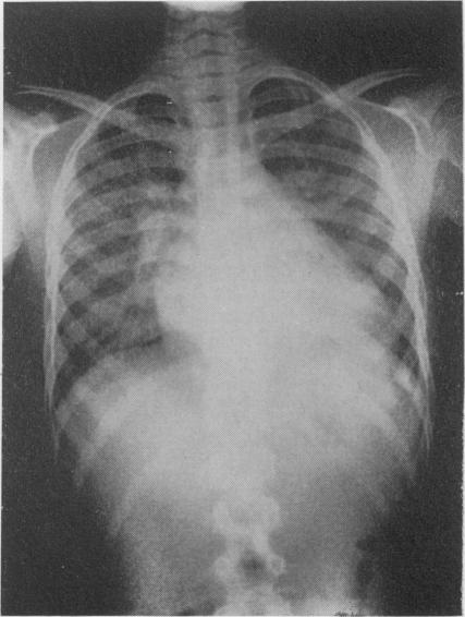
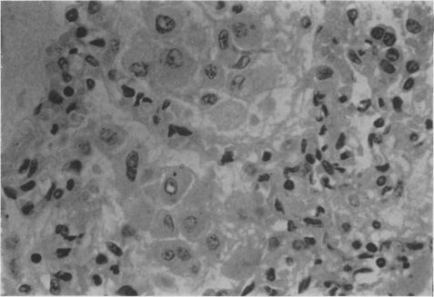
Rheumatic fever. A clinico-pathological conference held at the Royal Alexandra Hospital for Sick Children, Brighton, on Tuesday, 8 February 1966.

作者信息

Kemball-Price R, Joseph M

出版信息

Postgrad Med J. 1967 Jul;43(501):467-80. doi: 10.1136/pgmj.43.501.467.

DOI:10.1136/pgmj.43.501.467
PMID:4227434
原文链接:https://pmc.ncbi.nlm.nih.gov/articles/PMC2466354/
Abstract
摘要
https://cdn.ncbi.nlm.nih.gov/pmc/blobs/6365/2466354/aab6fd8a67f1/postmedj00391-0035-a.jpg
https://cdn.ncbi.nlm.nih.gov/pmc/blobs/6365/2466354/8e53f2a133c5/postmedj00391-0032-a.jpg
https://cdn.ncbi.nlm.nih.gov/pmc/blobs/6365/2466354/b9b46da2a5ab/postmedj00391-0033-a.jpg
https://cdn.ncbi.nlm.nih.gov/pmc/blobs/6365/2466354/a3e04c215f1f/postmedj00391-0034-a.jpg
https://cdn.ncbi.nlm.nih.gov/pmc/blobs/6365/2466354/b6c4eb27a7d7/postmedj00391-0034-b.jpg
https://cdn.ncbi.nlm.nih.gov/pmc/blobs/6365/2466354/aab6fd8a67f1/postmedj00391-0035-a.jpg
https://cdn.ncbi.nlm.nih.gov/pmc/blobs/6365/2466354/8e53f2a133c5/postmedj00391-0032-a.jpg
https://cdn.ncbi.nlm.nih.gov/pmc/blobs/6365/2466354/b9b46da2a5ab/postmedj00391-0033-a.jpg
https://cdn.ncbi.nlm.nih.gov/pmc/blobs/6365/2466354/a3e04c215f1f/postmedj00391-0034-a.jpg
https://cdn.ncbi.nlm.nih.gov/pmc/blobs/6365/2466354/b6c4eb27a7d7/postmedj00391-0034-b.jpg
https://cdn.ncbi.nlm.nih.gov/pmc/blobs/6365/2466354/aab6fd8a67f1/postmedj00391-0035-a.jpg

相似文献

1
Rheumatic fever. A clinico-pathological conference held at the Royal Alexandra Hospital for Sick Children, Brighton, on Tuesday, 8 February 1966.风湿热。1966年2月8日星期二于布莱顿皇家亚历山德拉儿童医院召开的一次临床病理讨论会。
Postgrad Med J. 1967 Jul;43(501):467-80. doi: 10.1136/pgmj.43.501.467.
2
PRESENCE OF BOUND IMMUNOGLOBULINS AND COMPLEMENT IN THE MYOCARDIUM IN ACUTE RHEUMATIC FEVER. ASSOCIATION WITH CARDIAC FAILURE.急性风湿热时心肌中结合免疫球蛋白和补体的存在。与心力衰竭的关系。
N Engl J Med. 1964 Sep 24;271:637-45. doi: 10.1056/NEJM196409242711301.
3
Liver Disease in Infancy: Held at the Royal Alexandra Hospital for Sick Children, Brighton.婴儿期肝病:在布莱顿皇家亚历山德拉儿童医院举行。
Postgrad Med J. 1962 Nov;38(445):642-52. doi: 10.1136/pgmj.38.445.642.
4
RHEUMATIC FEVER IN CHILDREN AND ADOLESCENTS. A LONG-TERM EPIDEMIOLOGIC STUDY OF SUBSEQUENT PROPHYLAXIS, STREPTOCOCCAL INFECTIONS, AND CLINICAL SEQUELAE. VII. CARDIAC CHANGES AND SEQUELAE.儿童和青少年风湿热。后续预防、链球菌感染及临床后遗症的长期流行病学研究。VII. 心脏变化及后遗症
Ann Intern Med. 1964 Feb;60:SUPPL 5:87-123.
5
Incidence and prognosis of rheumatic carditis in a Belgian hospital. A 10-yr review (1965-1974).比利时一家医院风湿性心脏炎的发病率及预后:一项为期10年(1965 - 1974年)的回顾性研究
Eur J Cardiol. 1978 Apr-May;7(2-3):189-95.
6
Rheumatic fever and rheumatic heart disease at the Department of Child Health, School of Medicine, University of North Sumatera/Dr. Pirngadi Hospital, Medan (1983-1985).北苏门答腊大学医学院儿童健康系/棉兰皮尔恩加迪医院(1983 - 1985年)的风湿热与风湿性心脏病
Paediatr Indones. 1989 Mar-Apr;29(3-4):64-71.
7
[INVESTIGATION OF THE INCIDENCE AND REGRESSION OF THE ELECTROCARDIOGRAPHIC CHANGES IN RHEUMATIC CARDITIS IN 303 CASES].[303例风湿性心脏炎心电图变化的发生率及转归研究]
Osp Maggiore. 1964 May;59:423-41.
8
Reports on the Hospitals of the United Kingdom: LI. Royal Alexandra Hospital for Sick Children, Brighton.英国医院报告:第51篇。布莱顿皇家亚历山德拉儿童医院。
Hospital (Lond 1886). 1910 Jun 18;48(1247):361.
9
Assessment of atrial electromechanical delay in children with acute rheumatic fever.急性风湿热患儿心房电机械延迟的评估。
Cardiol Young. 2014 Feb;24(1):27-32. doi: 10.1017/S104795111200193X. Epub 2012 Nov 12.
10
Two Cases of Tuberose Sclerosis: Royal Alexandra Hospital for Sick Children, Brighton.结节性硬化症两例:布莱顿皇家亚历山德拉儿童医院
Postgrad Med J. 1961 Apr;37(426):214-23. doi: 10.1136/pgmj.37.426.214.

本文引用的文献

1
The diagnosis and treatment of rheumatic fever and rheumatic carditis.
Med Clin North Am. 1958 Sep;42(5):1343-60. doi: 10.1016/s0025-7125(16)34228-6.