Suppr超能文献

无菌猪中由大肠杆菌引起的多浆膜炎和关节炎。

Polyserositis and arthritis due to Escherichia coli in gnotobiotic pigs.

作者信息

Waxler G L, Britt A L

出版信息

Can J Comp Med. 1972 Jul;36(3):226-33.

Abstract

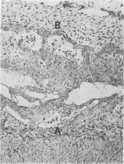
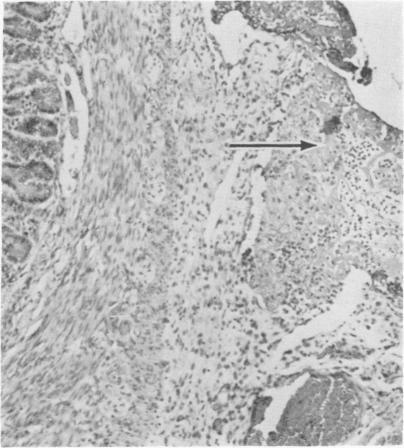
Forty gnotobiotic pigs from six litters were exposed orally to Escherichia coli 083:K.:NM at 69 to 148 hours of age, while 17 pigs from the same litters served as unexposed controls. Clinical signs of infection included fever, anorexia, diarrhea, lameness, and reluctance to move.Eighty-four percent of the exposed pigs in four litters died, while only 13% in two litters died. Gross and microscopic lesions included serofibrinous to fibrinopurulent polyserositis in 96% of the exposed pigs in four litters and 33% of the exposed pigs in two litters. A few pigs had gross and/or microscopic lesions of arthritis. Escherichia coli was routinely isolated from the serous and synovial cavities of infected pigs.Anti-hog cholera serum administered orally as a colostrum substitute gave partial protection against E. coli infection.

摘要

来自六窝的40只无菌猪在69至148小时大时经口接触大肠杆菌083:K.:NM,而来自同一窝的17只猪作为未接触的对照。感染的临床症状包括发热、厌食、腹泻、跛行和不愿活动。四窝中84%的接触猪死亡,而两窝中只有13%的猪死亡。大体和显微镜下病变包括四窝中96%的接触猪和两窝中33%的接触猪出现浆液纤维蛋白性至纤维蛋白脓性多浆膜炎。少数猪有关节炎的大体和/或显微镜下病变。从感染猪的浆液和滑膜腔中常规分离出大肠杆菌。口服作为初乳替代品的抗猪霍乱血清对大肠杆菌感染有部分保护作用。

https://cdn.ncbi.nlm.nih.gov/pmc/blobs/48f1/1319673/51f8c314a011/compmed00055-0049-a.jpg

文献AI研究员

20分钟写一篇综述,助力文献阅读效率提升50倍。

立即体验

用中文搜PubMed

大模型驱动的PubMed中文搜索引擎

马上搜索

文档翻译

学术文献翻译模型,支持多种主流文档格式。

立即体验