Suppr超能文献

Idiopathic arterial calcification in infancy.

作者信息

Bird T

出版信息

Arch Dis Child. 1974 Feb;49(2):82-9. doi: 10.1136/adc.49.2.82.

Abstract

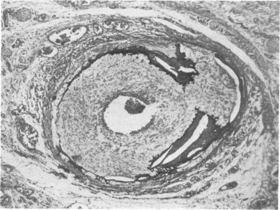
Two cases of idiopathic generalized arterial calcification in infancy are described. The changes in the vessels consist of calcification in relation to the internal elastic lamina, with secondary subintimal proliferation of fibrous tissue and, occasionally, extension into the media. They are usually most marked in the coronary arteries, with resulting myocardial disease, and acute congestive cardiac failure is the most common presentation and cause of death. The histological picture resembles closely the arterial changes that may occur in severe renal disease, hyperparathyroidism, primary bone disease, hypervitaminosis D, and occasional cases of congenital heart disease.

摘要
https://cdn.ncbi.nlm.nih.gov/pmc/blobs/06c2/1648741/73ee816dcaf8/archdisch00856-0007-a.jpg

相似文献

1
Idiopathic arterial calcification in infancy.
Arch Dis Child. 1974 Feb;49(2):82-9. doi: 10.1136/adc.49.2.82.
2
Idiopathic arterial calcification in infancy.
Histopathology. 1978 Nov;2(6):423-32. doi: 10.1111/j.1365-2559.1978.tb01736.x.
5
Disseminated arterial calcification associated with acardius acephalus.
Arch Dis Child. 1983 Aug;58(8):641-3. doi: 10.1136/adc.58.8.641.
6
Idiopathic arterial calcification and unexpected infant death.
Pediatr Pathol Lab Med. 1996 Nov-Dec;16(6):985-94. doi: 10.1080/15513819609168722.
7
Calcinosis of the arteries with coronary calcification in infancy.
Am Heart J. 1969 Jul;78(1):87-93. doi: 10.1016/0002-8703(69)90263-4.
9
Fatal outcome of two siblings with idiopathic arterial calcification of infancy diagnosed in utero.
Pediatr Cardiol. 2001 Mar-Apr;22(2):167-9. doi: 10.1007/s002460010189.

引用本文的文献

2
Sonological appearance of idiopathic arterial calcification in fetus: A rare case.
Indian J Radiol Imaging. 2009 Jul-Sep;19(3):248-51. doi: 10.4103/0971-3026.54876.
3
Generalized arterial calcification of infancy: two siblings with prolonged survival.
Eur J Pediatr. 2006 Apr;165(4):258-63. doi: 10.1007/s00431-005-0035-6. Epub 2005 Nov 29.
4
Idiopathic infantile arterial calcification with survival to adult life.
Pediatr Cardiol. 1984 Apr-Jun;5(2):119-22. doi: 10.1007/BF02424963.
5
Idiopathic infantile arterial calcification: a case report and review of the literature.
Eur J Pediatr. 1984 Aug;142(3):211-5. doi: 10.1007/BF00442452.
6
Computerized tomography in occlusive infantile arteriopathy.
Pediatr Cardiol. 1989 Fall;10(4):221-4. doi: 10.1007/BF02083297.
7
Idiopathic arterial calcification of infancy: a case with prolonged survival.
Pediatr Nephrol. 1990 May;4(3):233-5. doi: 10.1007/BF00857661.
8
Idiopathic arterial calcification of infancy without intimal proliferation.
Virchows Arch A Pathol Anat Histol. 1976 Dec 7;372(2):167-73. doi: 10.1007/BF00427091.
9
Idiopathic arterial calcification in infancy. A case report.
Eur J Pediatr. 1978 Aug 17;129(1):55-60. doi: 10.1007/BF00441374.

本文引用的文献

3
Coronary arteriosclerosis and calcification in infancy.
J Clin Pathol. 1952 May;5(2):175-82. doi: 10.1136/jcp.5.2.175.
4
Calciphylaxis in relation to the humoral production of occlusive coronary lesions with infarction.
J Pathol Bacteriol. 1962 Apr;83:495-500. doi: 10.1002/path.1700830222.
6
Generalized arterial calcification of infancy.
Br Med J. 1957 Feb 16;1(5015):385-6. doi: 10.1136/bmj.1.5015.385.
7
Infantile arteriosclerosis.
Radiology. 1956 Aug;67(2):168-74. doi: 10.1148/67.2.168.
9
[A case of infantile calcifying arteriopathy].
Presse Med (1893). 1971 Nov 27;79(51):2327.
10
Calcifications of iliac arteries in newborns and infants.
Arch Dis Child. 1972 Jun;47(253):364-72. doi: 10.1136/adc.47.253.364.

文献AI研究员

20分钟写一篇综述,助力文献阅读效率提升50倍。

立即体验

用中文搜PubMed

大模型驱动的PubMed中文搜索引擎

马上搜索

文档翻译

学术文献翻译模型,支持多种主流文档格式。

立即体验