Suppr超能文献

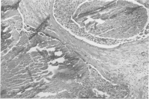
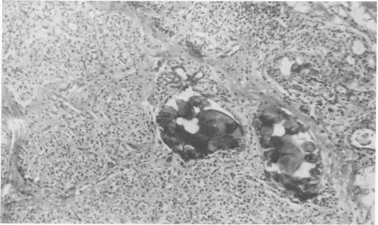
Management of nonpalpable breast carcinoma discovered by mammography.

作者信息

Barker W F, Sperling L, Dowdy A H, Zeldis L J, Longmire W P

出版信息

Ann Surg. 1969 Sep;170(3):385-95. doi: 10.1097/00000658-196909010-00007.

Abstract
摘要
https://cdn.ncbi.nlm.nih.gov/pmc/blobs/2d92/1387684/00e8afb6217f/annsurg00417-0082-a.jpg

相似文献

1
Management of nonpalpable breast carcinoma discovered by mammography.
Ann Surg. 1969 Sep;170(3):385-95. doi: 10.1097/00000658-196909010-00007.
2
Nonpalpable breast cancer.
Am Fam Physician. 1987 May;35(5):147-51.
8
[A study of the diagnosis of breast cancer].
Nihon Gan Chiryo Gakkai Shi. 1987 Oct 20;22(9):2202-9.
9
Team approach tthe study of diseases of the breast.
Cancer. 1969 Apr;23(4):847-54. doi: 10.1002/1097-0142(196904)23:4<847::aid-cncr2820230419>3.0.co;2-e.
10
[Bilateral adenoma of nipple (author's transl)].
Geburtshilfe Frauenheilkd. 1973 Sep;33(9):729-31.

引用本文的文献

1
Carcinoma of the breast. II. The other breast.
Calif Med. 1970 Sep;113(3):55-8.
2
Mammography: an aid in the treatment of carcinoma of the breast.
Ann Surg. 1974 May;179(5):749-56. doi: 10.1097/00000658-197405000-00030.
3
An unusual self-inflicted injury of the breast.
Postgrad Med J. 1975 Feb;51(592):116-8. doi: 10.1136/pgmj.51.592.116.
4
The surgeon's problem with breast cancer screening programs.
World J Surg. 1977 May;1(3):349-52. doi: 10.1007/BF01556856.

本文引用的文献

1
Biological predeterminism in human cancer.
Surg Gynecol Obstet. 1951 Apr;92(4):443-52.
2
MAMMOGRAPHY IN THE DIAGNOSIS OF CANCER OF THE FEMALE BREAST.
Am J Surg. 1963 Aug;106:317-24. doi: 10.1016/0002-9610(63)90020-5.
3
Mammography in nonpalpable lesions of the breast.
J Albert Einstein Med Cent (Phila). 1962 Oct;10:201-3.
4
Experience with mammography in a tumor institution. Evaluation of 1,000 studies.
Radiology. 1960 Dec;75:894-900. doi: 10.1148/75.6.894.
6
7
Nonpalpable carcinoma in fibrocystic disease of the breast.
Surg Gynecol Obstet. 1968 Jan;126(1):94-8.
8
The present status of mammary thermography.
CA Cancer J Clin. 1968 Nov-Dec;18(6):315-21.

文献AI研究员

20分钟写一篇综述,助力文献阅读效率提升50倍。

立即体验

用中文搜PubMed

大模型驱动的PubMed中文搜索引擎

马上搜索

文档翻译

学术文献翻译模型,支持多种主流文档格式。

立即体验