Suppr超能文献

嗜硫色杆菌D菌株硫颗粒的组成

Composition of the sulfur particle of Chromatium vinosum strain D.

作者信息

Schmidt G L, Nicolson G L

出版信息

J Bacteriol. 1971 Mar;105(3):1137-41. doi: 10.1128/jb.105.3.1137-1141.1971.

Abstract

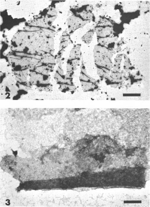
Sulfur particles were isolated from the purple sulfur photosynthetic bacterium, Chromatium vinosum strain D. The composition of these particles was determined to be 93% sulfur, 5% protein, and 0.6% lipid. Gel electrophoresis indicated the presence of a single protein species with a molecular weight of 13,500 daltons. From these results, the sulfur particle is postulated to be bounded by a membrane consisting entirely of protein.

摘要

从紫色硫光合细菌嗜硫色杆菌D菌株中分离出硫颗粒。经测定,这些颗粒的组成成分为93%的硫、5%的蛋白质和0.6%的脂质。凝胶电泳表明存在一种分子量为13500道尔顿的单一蛋白质。根据这些结果,推测硫颗粒由完全由蛋白质组成的膜包裹。

https://cdn.ncbi.nlm.nih.gov/pmc/blobs/4c32/248544/b9f22a0e33ca/jbacter00375-0476-a.jpg

文献检索

告别复杂PubMed语法,用中文像聊天一样搜索,搜遍4000万医学文献。AI智能推荐,让科研检索更轻松。

立即免费搜索

文件翻译

保留排版,准确专业,支持PDF/Word/PPT等文件格式,支持 12+语言互译。

免费翻译文档

深度研究

AI帮你快速写综述,25分钟生成高质量综述,智能提取关键信息,辅助科研写作。

立即免费体验