Suppr超能文献

Fatal adenovirus pneumonia in infants. Correlation of histologic and electron microscopic observations.

作者信息

Pinkerton H, Carroll S

出版信息

Am J Pathol. 1971 Dec;65(3):543-8.

Abstract

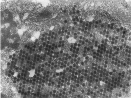
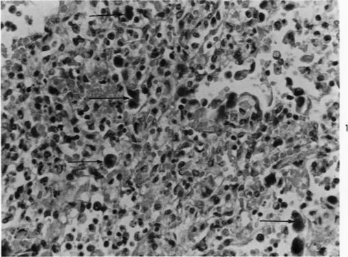
Many structures morphologically identical with adenovirions were found in large numbers in typically altered respiratory epithelial cells in 10-year-old sections stained with hematoxylin and eosin of 2 cases of a histologically unique type of fatal pneumonia in infancy. These observations confirm, beyond reasonable doubt, an etiologic role of adenoviruses in the initiation and development of this type of pneumonia. The technic used, which was a modification of one previously described, is given in detail, since such methods may be useful in solving other etiologic problems.

摘要
https://cdn.ncbi.nlm.nih.gov/pmc/blobs/13d5/2047586/1412b817ae41/amjpathol00406-0078-a.jpg

文献AI研究员

20分钟写一篇综述,助力文献阅读效率提升50倍。

立即体验

用中文搜PubMed

大模型驱动的PubMed中文搜索引擎

马上搜索

文档翻译

学术文献翻译模型,支持多种主流文档格式。

立即体验