• 文献检索
  • 文档翻译
  • 深度研究
  • 学术资讯
  • Suppr Zotero 插件Zotero 插件
  • 邀请有礼
  • 套餐&价格
  • 历史记录
应用&插件
Suppr Zotero 插件Zotero 插件浏览器插件Mac 客户端Windows 客户端微信小程序
定价
高级版会员购买积分包购买API积分包
服务
文献检索文档翻译深度研究API 文档MCP 服务
关于我们
关于 Suppr公司介绍联系我们用户协议隐私条款
关注我们

Suppr 超能文献

核心技术专利:CN118964589B侵权必究
粤ICP备2023148730 号-1Suppr @ 2026

文献检索

告别复杂PubMed语法,用中文像聊天一样搜索,搜遍4000万医学文献。AI智能推荐,让科研检索更轻松。

立即免费搜索

文件翻译

保留排版,准确专业,支持PDF/Word/PPT等文件格式,支持 12+语言互译。

免费翻译文档

深度研究

AI帮你快速写综述,25分钟生成高质量综述,智能提取关键信息,辅助科研写作。

立即免费体验

安大略省南部意外猝死情况分析,重点关注心肌炎。

Analysis of sudden unexpected death in southern Ontario, with emphasis on myocarditis.

作者信息

Wentworth P, Jentz L A, Croal A E

出版信息

Can Med Assoc J. 1979 Mar 17;120(6):676-80, 706.

PMID:436050
原文链接:https://pmc.ncbi.nlm.nih.gov/articles/PMC1819176/
Abstract

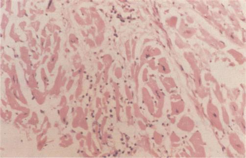
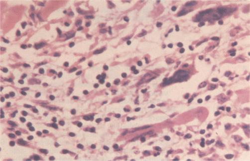
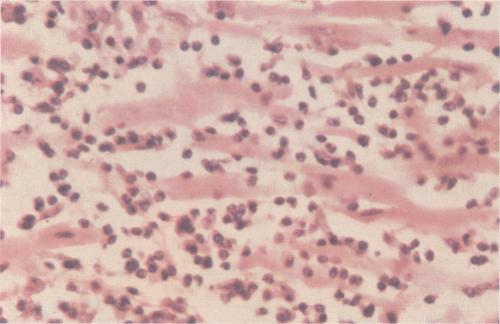
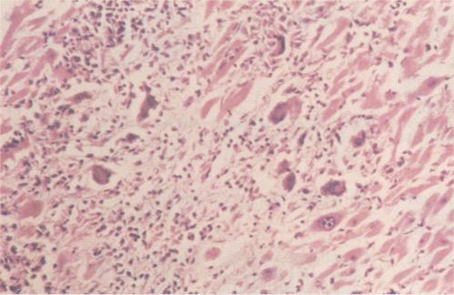
The records of all 2427 autopsies performed at the Brantford (Ont.) General and Paris (Ont.) Willett hospitals from Jan. 1, 1969 to Aug. 15, 1978 were reviewed. Of the 1299 cases of sudden unexpected death investigated by a coroner almost 28% were due to unnatural causes--violence or poisoning. The main cause of natural sudden death was coronary artery disease, which accounted for 43.3% of all the sudden unexpected deaths. In 20 cases the cause of death was thought to be viral myocarditis, and in 9 of the 20 there was serologic evidence of at least previous coxsackievirus disease. Two of the nine cases were of special interest because of the finding of giant-cell myocarditis in one and aortic valve disease in the other. Eleven of the 20 persons were aged 13 to 46 years. These findings support the view that the most serious manifestation of enterovirus infection today is cardiac damage by coxsackieviruses.

摘要

对1969年1月1日至1978年8月15日在安大略省布兰特福德综合医院和安大略省巴黎威利特医院进行的2427例尸检记录进行了回顾。在验尸官调查的1299例意外猝死病例中,近28%是由非自然原因——暴力或中毒导致的。自然猝死的主要原因是冠状动脉疾病,占所有意外猝死病例的43.3%。有20例死亡原因被认为是病毒性心肌炎,在这20例中有9例至少有先前柯萨奇病毒病的血清学证据。这9例中有2例特别值得关注,因为其中1例发现了巨细胞心肌炎,另1例发现了主动脉瓣疾病。这20人中有11人的年龄在13至46岁之间。这些发现支持了这样一种观点,即如今肠道病毒感染最严重的表现是柯萨奇病毒对心脏的损害。

https://cdn.ncbi.nlm.nih.gov/pmc/blobs/1cf2/1819176/261e1884e94a/canmedaj01442-0053-g.jpg
https://cdn.ncbi.nlm.nih.gov/pmc/blobs/1cf2/1819176/70437fc05f1c/canmedaj01442-0053-a.jpg
https://cdn.ncbi.nlm.nih.gov/pmc/blobs/1cf2/1819176/bd8e38c7599f/canmedaj01442-0053-b.jpg
https://cdn.ncbi.nlm.nih.gov/pmc/blobs/1cf2/1819176/ad7e2c47c5de/canmedaj01442-0053-c.jpg
https://cdn.ncbi.nlm.nih.gov/pmc/blobs/1cf2/1819176/c228b9720dd7/canmedaj01442-0053-d.jpg
https://cdn.ncbi.nlm.nih.gov/pmc/blobs/1cf2/1819176/001febf63e22/canmedaj01442-0053-e.jpg
https://cdn.ncbi.nlm.nih.gov/pmc/blobs/1cf2/1819176/e7e813c68b41/canmedaj01442-0053-f.jpg
https://cdn.ncbi.nlm.nih.gov/pmc/blobs/1cf2/1819176/261e1884e94a/canmedaj01442-0053-g.jpg
https://cdn.ncbi.nlm.nih.gov/pmc/blobs/1cf2/1819176/70437fc05f1c/canmedaj01442-0053-a.jpg
https://cdn.ncbi.nlm.nih.gov/pmc/blobs/1cf2/1819176/bd8e38c7599f/canmedaj01442-0053-b.jpg
https://cdn.ncbi.nlm.nih.gov/pmc/blobs/1cf2/1819176/ad7e2c47c5de/canmedaj01442-0053-c.jpg
https://cdn.ncbi.nlm.nih.gov/pmc/blobs/1cf2/1819176/c228b9720dd7/canmedaj01442-0053-d.jpg
https://cdn.ncbi.nlm.nih.gov/pmc/blobs/1cf2/1819176/001febf63e22/canmedaj01442-0053-e.jpg
https://cdn.ncbi.nlm.nih.gov/pmc/blobs/1cf2/1819176/e7e813c68b41/canmedaj01442-0053-f.jpg
https://cdn.ncbi.nlm.nih.gov/pmc/blobs/1cf2/1819176/261e1884e94a/canmedaj01442-0053-g.jpg

相似文献

1
Analysis of sudden unexpected death in southern Ontario, with emphasis on myocarditis.安大略省南部意外猝死情况分析,重点关注心肌炎。
Can Med Assoc J. 1979 Mar 17;120(6):676-80, 706.
2
[Pathological study of unexpected sudden death clustered in family or village in Yunnan province: report of 29 cases of autopsy].云南省家族或村寨聚集性不明原因猝死的病理学研究:29例尸检报告
Zhonghua Yi Xue Za Zhi. 2007 Aug 21;87(31):2209-14.
3
[Viral lesions of the heart as a cause of sudden death].
Arkh Patol. 1981;43(5):78-82.
4
Histologic and in situ viral findings in the myocardium in cases of sudden, unexpected death.
Mod Pathol. 2002 Sep;15(9):914-22. doi: 10.1097/01.MP.0000024291.37651.CD.
5
Undiagnosed heart disease leading to sudden unexpected death in childhood: a retrospective study.不明原因的儿科心源性猝死:一项回顾性研究。
Pediatrics. 2011 Sep;128(3):e513-20. doi: 10.1542/peds.2010-2307. Epub 2011 Aug 8.
6
Clinicopathological features of paediatric deaths due to myocarditis: an autopsy series.儿童心肌炎死亡病例的临床病理特征:尸检系列研究
Arch Dis Child. 2008 Jul;93(7):594-8. doi: 10.1136/adc.2007.128686. Epub 2008 Feb 8.
7
[Sudden death during anesthesia: human error, drug related or cardiac death?].
Therapie. 2001 Nov-Dec;56(6):735-8.
8
Isolated myocardial fibrosis as a cause of sudden cardiac death and its possible relation to myocarditis.孤立性心肌纤维化作为心源性猝死的原因及其与心肌炎的可能关系。
J Forensic Sci. 1993 May;38(3):617-21.
9
[Sudden unexpected natural death from a viewpoint of forensic pathology].[从法医病理学角度看意外自然猝死]
Nihon Hoigaku Zasshi. 1995 Dec;49(6):432-46.
10
Sudden death in young Israeli soldiers. Analysis of 83 cases.以色列年轻士兵的猝死。83例病例分析。
Isr J Med Sci. 1989 Nov;25(11):620-4.

引用本文的文献

1
[Morphological diagnosis: myocarditis (author's transl)].
Z Rechtsmed. 1980;84(4):305-18. doi: 10.1007/BF02098754.

本文引用的文献

1
Apples for desserts, salads, pies.苹果用于制作甜点、沙拉和派。
Hosp Manage. 1954 Sep;78(3):105-6.
2
Cardiac manifestations during a Coxsackie B5 epidemic.柯萨奇B5病毒流行期间的心脏表现
Br Med J. 1968 Jul 13;3(5610):97-9. doi: 10.1136/bmj.3.5610.97.
3
Sudden and rapid death during psychological stress. Folklore or folk wisdom?心理压力期间的突然和快速死亡。民间传说还是民间智慧?
Ann Intern Med. 1971 May;74(5):771-82. doi: 10.7326/0003-4819-74-5-771.
4
On sudden death.论猝死。
Circulation. 1971 Jan;43(1):7-10. doi: 10.1161/01.cir.43.1.7.
5
Giant cell myocarditis. Light and electron microscopic study.
Arch Pathol. 1970 Aug;90(2):181-8.
6
Coxsackie B myopericarditis in adults.成人柯萨奇B组病毒感染性心肌心包炎
Am Heart J. 1970 Jul;80(1):34-46. doi: 10.1016/0002-8703(70)90035-9.
7
The role of Coxsackie group B virus infections in sporadic myopericarditis.B族柯萨奇病毒感染在散发性心肌心包炎中的作用。
Am Heart J. 1971 Dec;82(6):750-8. doi: 10.1016/0002-8703(71)90195-5.
8
Allergic giant cell myocarditis complicating tuberculosis chemotherapy.变应性巨细胞性心肌炎并发结核病化疗
Arch Pathol. 1971 Mar;91(3):201-5.
9
Myocarditis in Jamaica.牙买加的心肌炎
Br Heart J. 1966 Mar;28(2):172-8. doi: 10.1136/hrt.28.2.172.
10
The pathologic basis of sudden death.猝死的病理基础。
Prog Cardiovasc Dis. 1971 Mar;13(5):465-81. doi: 10.1016/0033-0620(71)90012-0.