Suppr超能文献

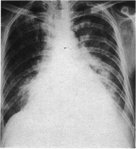
Adult heart disease due to the Coxsackie virus group B.

作者信息

Smith W G

出版信息

Br Heart J. 1966 Mar;28(2):204-20. doi: 10.1136/hrt.28.2.204.

Abstract
摘要
https://cdn.ncbi.nlm.nih.gov/pmc/blobs/3402/459062/3b02b5ec988b/brheartj00331-0064-a.jpg

文献检索

告别复杂PubMed语法,用中文像聊天一样搜索,搜遍4000万医学文献。AI智能推荐,让科研检索更轻松。

立即免费搜索

文件翻译

保留排版,准确专业,支持PDF/Word/PPT等文件格式,支持 12+语言互译。

免费翻译文档

深度研究

AI帮你快速写综述,25分钟生成高质量综述,智能提取关键信息,辅助科研写作。

立即免费体验