Suppr超能文献

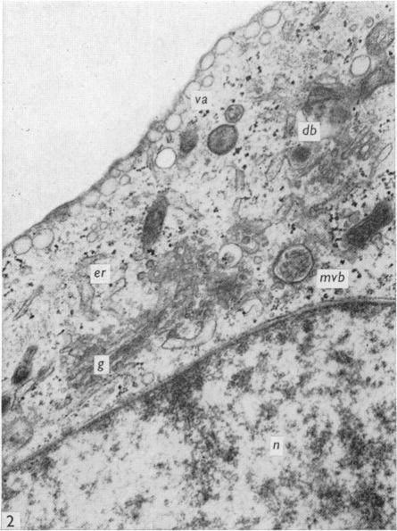
Fine structure of the epithelium of the human fetal bladder.

作者信息

Hoyes A D, Ramus N I, Martin B G

出版信息

J Anat. 1972 Apr;111(Pt 3):415-25.

Abstract
摘要
https://cdn.ncbi.nlm.nih.gov/pmc/blobs/dfaf/1271131/27f17cb57c8b/janat00325-0066-a.jpg

文献检索

告别复杂PubMed语法,用中文像聊天一样搜索,搜遍4000万医学文献。AI智能推荐,让科研检索更轻松。

立即免费搜索

文件翻译

保留排版,准确专业,支持PDF/Word/PPT等文件格式,支持 12+语言互译。

免费翻译文档

深度研究

AI帮你快速写综述,25分钟生成高质量综述,智能提取关键信息,辅助科研写作。

立即免费体验