• 文献检索
  • 文档翻译
  • 深度研究
  • 学术资讯
  • Suppr Zotero 插件Zotero 插件
  • 邀请有礼
  • 套餐&价格
  • 历史记录
应用&插件
Suppr Zotero 插件Zotero 插件浏览器插件Mac 客户端Windows 客户端微信小程序
定价
高级版会员购买积分包购买API积分包
服务
文献检索文档翻译深度研究API 文档MCP 服务
关于我们
关于 Suppr公司介绍联系我们用户协议隐私条款
关注我们

Suppr 超能文献

核心技术专利:CN118964589B侵权必究
粤ICP备2023148730 号-1Suppr @ 2026

文献检索

告别复杂PubMed语法,用中文像聊天一样搜索,搜遍4000万医学文献。AI智能推荐,让科研检索更轻松。

立即免费搜索

文件翻译

保留排版,准确专业,支持PDF/Word/PPT等文件格式,支持 12+语言互译。

免费翻译文档

深度研究

AI帮你快速写综述,25分钟生成高质量综述,智能提取关键信息,辅助科研写作。

立即免费体验

腹腔注射两种石棉对大鼠的急性和慢性影响以及对由此产生的间皮瘤的组织病理发生和超微结构的研究

Acute and chronic effects of intraperitoneal injection of two types of asbestos in rats with a study of the histopathogenesis and ultrastructure of resulting mesotheliomas.

作者信息

Shin M L, Firminger H I

出版信息

Am J Pathol. 1973 Mar;70(3):291-313.

PMID:4689512
原文链接:https://pmc.ncbi.nlm.nih.gov/articles/PMC1904011/
Abstract

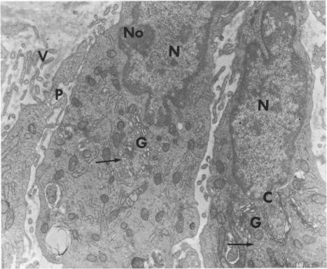
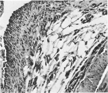
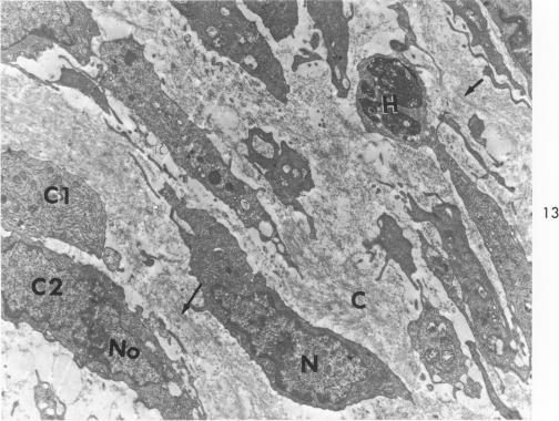
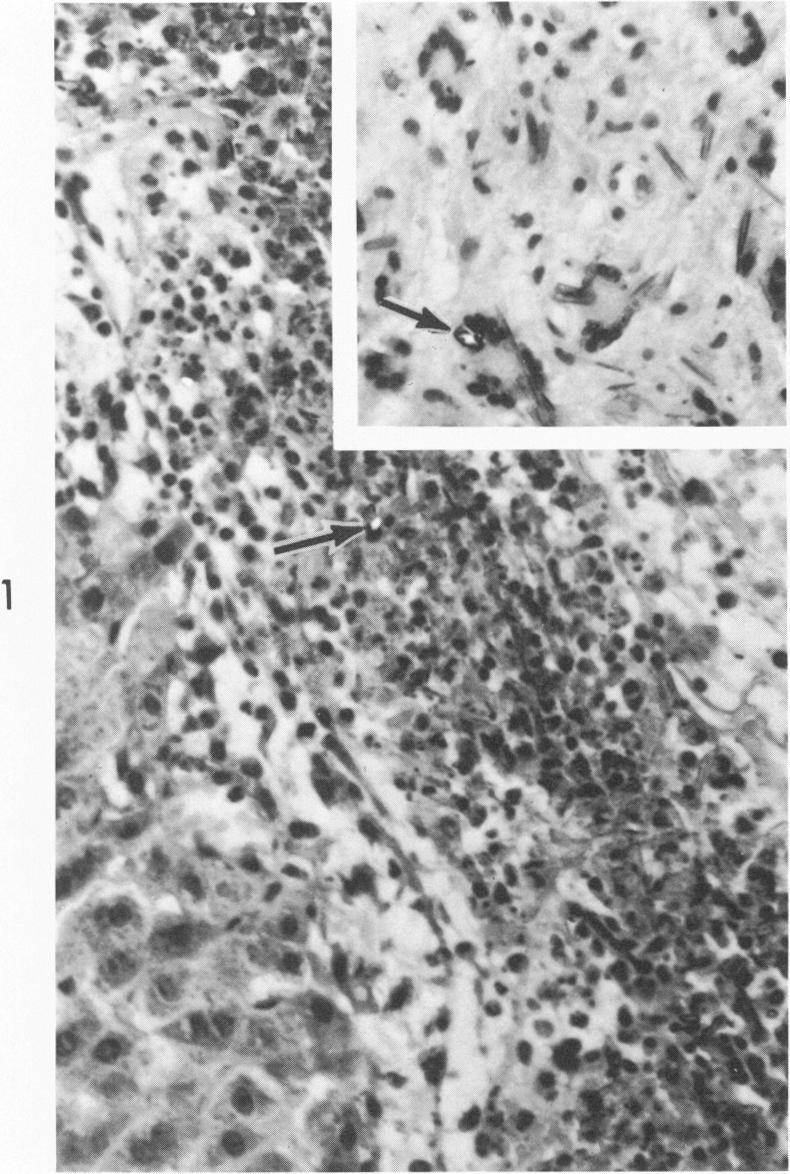
Malignant mesotheliomas were induced in the rat peritoneum by a single injection of chrysotile or crocidolite asbestos fibers. The immediate toxicity of the fibers was noted in both groups of animals, producing approximately 40% mortality, within 8 days after the injection associated with acute peritonities. Tissue reactions to these two types of asbestos were significantly different. Crocidolite fibers were easily seen by light microscopy, in the tissue sections throughout the period of study, and they produced foreign-body giant cell granulomas. However, giant cells were not seen in chrysotile granulomas, and the asbestos fibers were only seen by electron microscopic study. They appeared to be coated by a protein-like substance. During earlier stages of tumorigenesis, the epithelioid and/or mixed cell type mesotheliomas seemed to have no specific relationship to granulomas, but pure spindle cell tumors were seen to develop in close relationship to granulomas, and they appear to be fibrosarcomas. Electron microscopic and histochemical methods were used to define the morphologic characteristics of the tumor cells. The formation of hyaluronic acid was found in cells of the epithelioid type, contrasted with extracellular accumulation in the spindle cell tumors.

摘要

通过单次注射温石棉或青石棉纤维在大鼠腹膜中诱发恶性间皮瘤。两组动物均出现纤维的即时毒性,注射后8天内产生约40%的死亡率,伴有急性腹膜炎。对这两种类型石棉的组织反应显著不同。在整个研究期间,在组织切片中通过光学显微镜很容易看到青石棉纤维,它们产生异物巨细胞肉芽肿。然而,在温石棉肉芽肿中未见巨细胞,石棉纤维仅通过电子显微镜研究才能看到。它们似乎被一种蛋白质样物质包裹。在肿瘤发生的早期阶段,上皮样和/或混合细胞型间皮瘤似乎与肉芽肿没有特定关系,但纯梭形细胞瘤与肉芽肿密切相关,且它们似乎是纤维肉瘤。使用电子显微镜和组织化学方法来确定肿瘤细胞的形态特征。发现上皮样细胞类型的细胞中形成透明质酸,这与梭形细胞瘤中的细胞外积累形成对比。

https://cdn.ncbi.nlm.nih.gov/pmc/blobs/2a37/1904011/91b536d127da/amjpathol00259-0045-c.jpg
https://cdn.ncbi.nlm.nih.gov/pmc/blobs/2a37/1904011/76ca4f3b49a8/amjpathol00259-0046-a.jpg
https://cdn.ncbi.nlm.nih.gov/pmc/blobs/2a37/1904011/b91a21d99349/amjpathol00259-0046-b.jpg
https://cdn.ncbi.nlm.nih.gov/pmc/blobs/2a37/1904011/79daab26bdeb/amjpathol00259-0047-a.jpg
https://cdn.ncbi.nlm.nih.gov/pmc/blobs/2a37/1904011/9089e8711a4b/amjpathol00259-0047-b.jpg
https://cdn.ncbi.nlm.nih.gov/pmc/blobs/2a37/1904011/67b1f661eef2/amjpathol00259-0043-a.jpg
https://cdn.ncbi.nlm.nih.gov/pmc/blobs/2a37/1904011/17ece245527c/amjpathol00259-0043-b.jpg
https://cdn.ncbi.nlm.nih.gov/pmc/blobs/2a37/1904011/ce98f0b7261e/amjpathol00259-0043-c.jpg
https://cdn.ncbi.nlm.nih.gov/pmc/blobs/2a37/1904011/b014529413c8/amjpathol00259-0043-d.jpg
https://cdn.ncbi.nlm.nih.gov/pmc/blobs/2a37/1904011/cb6acf316088/amjpathol00259-0044-a.jpg
https://cdn.ncbi.nlm.nih.gov/pmc/blobs/2a37/1904011/13fc365d76a2/amjpathol00259-0044-b.jpg
https://cdn.ncbi.nlm.nih.gov/pmc/blobs/2a37/1904011/eda9cf6b0053/amjpathol00259-0044-c.jpg
https://cdn.ncbi.nlm.nih.gov/pmc/blobs/2a37/1904011/22cbf0726b78/amjpathol00259-0045-a.jpg
https://cdn.ncbi.nlm.nih.gov/pmc/blobs/2a37/1904011/0fd1384613ed/amjpathol00259-0045-b.jpg
https://cdn.ncbi.nlm.nih.gov/pmc/blobs/2a37/1904011/91b536d127da/amjpathol00259-0045-c.jpg
https://cdn.ncbi.nlm.nih.gov/pmc/blobs/2a37/1904011/76ca4f3b49a8/amjpathol00259-0046-a.jpg
https://cdn.ncbi.nlm.nih.gov/pmc/blobs/2a37/1904011/b91a21d99349/amjpathol00259-0046-b.jpg
https://cdn.ncbi.nlm.nih.gov/pmc/blobs/2a37/1904011/79daab26bdeb/amjpathol00259-0047-a.jpg
https://cdn.ncbi.nlm.nih.gov/pmc/blobs/2a37/1904011/9089e8711a4b/amjpathol00259-0047-b.jpg
https://cdn.ncbi.nlm.nih.gov/pmc/blobs/2a37/1904011/67b1f661eef2/amjpathol00259-0043-a.jpg
https://cdn.ncbi.nlm.nih.gov/pmc/blobs/2a37/1904011/17ece245527c/amjpathol00259-0043-b.jpg
https://cdn.ncbi.nlm.nih.gov/pmc/blobs/2a37/1904011/ce98f0b7261e/amjpathol00259-0043-c.jpg
https://cdn.ncbi.nlm.nih.gov/pmc/blobs/2a37/1904011/b014529413c8/amjpathol00259-0043-d.jpg
https://cdn.ncbi.nlm.nih.gov/pmc/blobs/2a37/1904011/cb6acf316088/amjpathol00259-0044-a.jpg
https://cdn.ncbi.nlm.nih.gov/pmc/blobs/2a37/1904011/13fc365d76a2/amjpathol00259-0044-b.jpg
https://cdn.ncbi.nlm.nih.gov/pmc/blobs/2a37/1904011/eda9cf6b0053/amjpathol00259-0044-c.jpg
https://cdn.ncbi.nlm.nih.gov/pmc/blobs/2a37/1904011/22cbf0726b78/amjpathol00259-0045-a.jpg
https://cdn.ncbi.nlm.nih.gov/pmc/blobs/2a37/1904011/0fd1384613ed/amjpathol00259-0045-b.jpg
https://cdn.ncbi.nlm.nih.gov/pmc/blobs/2a37/1904011/91b536d127da/amjpathol00259-0045-c.jpg

相似文献

1
Acute and chronic effects of intraperitoneal injection of two types of asbestos in rats with a study of the histopathogenesis and ultrastructure of resulting mesotheliomas.腹腔注射两种石棉对大鼠的急性和慢性影响以及对由此产生的间皮瘤的组织病理发生和超微结构的研究
Am J Pathol. 1973 Mar;70(3):291-313.
2
Mesothelial reaction of asbestos and other irritants after intraperitoneal injection.腹腔注射石棉及其他刺激物后的间皮反应。
S Afr Med J. 1975 Jan 18;49(3):87-90.
3
Biological effect of asbestos dust on the peritoneal viscera of rats.石棉粉尘对大鼠腹膜脏器的生物学效应。
S Afr Med J. 1973 Sep 29;47(38):1746-50.
4
Accelerated progression of asbestos-induced mesotheliomas in heterozygous p53+/- mice.在杂合子p53+/-小鼠中石棉诱导的间皮瘤加速进展
Toxicol Sci. 2002 Aug;68(2):331-8. doi: 10.1093/toxsci/68.2.331.
5
[Effect of peptone blocking asbestos-induced carcinogenesis in rats].[蛋白胨对大鼠石棉诱导致癌作用的阻断效应]
Gig Sanit. 2009 Jan-Feb(1):65-7.
6
Structural variations between pleural and peritoneal mesotheliomas produced in rats by the injection of crocidolite asbestos.通过注射青石棉在大鼠体内产生的胸膜间皮瘤和腹膜间皮瘤之间的结构差异。
Ann Anat Pathol (Paris). 1976 Mar-Apr;21(2):199-210.
7
[The effect of asbestos cement, UICC asbestos samples and quartz on the peritoneum of the mouse].[石棉水泥、国际抗癌联盟(UICC)石棉样本及石英对小鼠腹膜的影响]
Pathol Microbiol (Basel). 1975;42(1):15-28.
8
The carcinogenic effect of various multi-walled carbon nanotubes (MWCNTs) after intraperitoneal injection in rats.大鼠腹腔注射不同多壁碳纳米管后的致癌作用。
Part Fibre Toxicol. 2014 Nov 20;11:59. doi: 10.1186/s12989-014-0059-z.
9
Carbon nanotubes induce granulomas but not mesotheliomas.碳纳米管会引起肉芽肿,但不会引起间皮瘤。
In Vivo. 2010 Mar-Apr;24(2):153-6.
10
Studies on the morphological patterns of asbestos induced mesotheliomas in vivo and in vitro.体内和体外石棉诱导间皮瘤形态模式的研究。
Carcinogenesis. 1980 Mar;1(3):219-31. doi: 10.1093/carcin/1.3.219.

引用本文的文献

1
Immune responses and immunotherapeutic interventions in malignant pleural mesothelioma.恶性胸膜间皮瘤中的免疫反应和免疫治疗干预。
Cancer Immunol Immunother. 2011 Nov;60(11):1509-27. doi: 10.1007/s00262-011-1103-6. Epub 2011 Sep 13.
2
Pleural mesothelioma in a nine-month-old dog.9 月龄犬的胸膜间皮瘤。
Ir Vet J. 2007 Jan 1;60(1):30-3. doi: 10.1186/2046-0481-60-1-30.
3
Early changes in the pleural mesothelium following intrapleural inoculation of the mineral fibre erionite and the subsequent development of mesotheliomas.

本文引用的文献

1
MESOTHELIOMAS IN HAMSTERS FOLLOWING INTRAPLEURAL INJECTION OF ASBESTOS.仓鼠经胸膜内注射石棉后的间皮瘤
J Mt Sinai Hosp N Y. 1965 Jan-Feb;32:1-8.
2
RELATION BETWEEN EXPOSURE TO ASBESTOS AND MESOTHELIOMA.接触石棉与间皮瘤之间的关系。
N Engl J Med. 1965 Mar 18;272:560-5. doi: 10.1056/NEJM196503182721104.
3
AN ELECTRON MICROSCOPIC STUDY OF A SOLITARY PLEURAL MESOTHELIOMA.
Cancer. 1964 Dec;17:1546-54. doi: 10.1002/1097-0142(196412)17:12<1546::aid-cncr2820171206>3.0.co;2-v.
胸腔内接种矿物纤维毛沸石后胸膜间皮的早期变化及随后间皮瘤的发生发展
J Exp Pathol (Oxford). 1990 Feb;71(1):105-18.
4
THE PATHOLOGY OF MESOTHELIOMATA AND AN ANALYSIS OF THEIR ASSOCIATION WITH ASBESTOS EXPOSURE.间皮瘤的病理学及其与石棉暴露相关性分析
Thorax. 1964 May;19(3):268-78. doi: 10.1136/thx.19.3.268.
5
Histochemical demonstration of hyaluronic acid in pleural mesotheliomas.胸膜间皮瘤中透明质酸的组织化学显示
J Pathol Bacteriol. 1962 Jul;84:73-8. doi: 10.1002/path.1700840109.
6
Experimental production of mesothelial tumours of the pleura by implantation of dusts in laboratory animals.
Nature. 1962 Oct 13;196:180-1. doi: 10.1038/196180a0.
7
The detection of hyaluronic acid in pleural fluids of cases with diffuse pleural mesotheliomas.弥漫性胸膜间皮瘤病例胸腔积液中透明质酸的检测。
Br J Exp Pathol. 1963 Feb;44(1):81-3.
8
Diffuse pleural mesothelioma and asbestos exposure in the North Western Cape Province.西开普省的弥漫性胸膜间皮瘤与石棉暴露
Br J Ind Med. 1960 Oct;17(4):260-71. doi: 10.1136/oem.17.4.260.
9
[Cancerogenic effects of asbestos implantation in rats].[石棉植入大鼠体内的致癌作用]
Z Krebsforsch. 1958;62(5):561-7.
10
High-resolution electron microscopic analysis of the amyloid fibril.淀粉样纤维的高分辨率电子显微镜分析。
J Cell Biol. 1967 Jun;33(3):679-708. doi: 10.1083/jcb.33.3.679.