Suppr超能文献

大鼠远曲小管和皮质集合管对血管加压素的反应。

Response of the distal tubule and cortical collecting duct to vasopressin in the rat.

作者信息

Woodhall P B, Tisher C C

出版信息

J Clin Invest. 1973 Dec;52(12):3095-108. doi: 10.1172/JCI107509.

Abstract

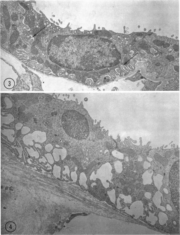
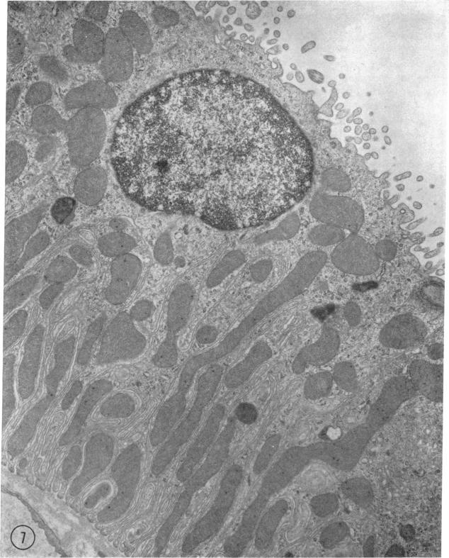
Renal micropuncture observations in the rat suggest that the entire "distal tubule" (defined by the micropuncturist as that portion of the renal tubule extending between the macula densa and its first junction with another (renal tubule) may be responsive to vasopressin. However, this portion of the renal tubule contains two segments that are morphologically dissimilar. The "early" distal tubule is lined by epithelium characteristic of the distal convoluted tubule, while the "late" distal tubule is lined by epithelium characteristic of the cortical collecting duct. Thus, the present study was initiated to identify the most proximal site of action of vasopressin in the distal renal tubule. A water diuresis was established in rats with hereditary hypothalamic diabetes insipidus. In one-half of the animals the diuresis was interupted by an i.v. infusion of exogenous vasopressin. Morphological preservation of the kidneys was initiated after induction of vasopressin-induced antidiuresis or during maximum water diuresis. Cell swelling and dilatation of intercellular spaces, morphological findings indicative of vasopressin responsiveness, were observed in the cortical collecting duct including the late segment of the distal tubule, a segment that has also been described by morphologists as the initial collecting tubule. Morphological evidence of vasopressin-responsiveness was not observed in the early distal tubule (distal convoluted tubule). Additional morphological studies in Wistar, Long-Evans, and Sprague-Dawley rats demonstrated a marked difference in the random availability of distal convoluted tubules versus initial collecting tubules potentially available for micropuncture just beneath the renal capsule. The results suggest that hypotonic tubular fluid entering the early distal tubule (distal convoluted tubule) remains hypotonic to plasma until it enters the late distal tubule (initial collecting tubule) and that vasopressin-induced osmotic equilibration is a function of the latter segment alone. The findings emphasize the importance of morphological characterization of those segments of the renal tubule that are subjected to physiological investigation.

摘要

对大鼠的肾微穿刺观察表明,整个“远端小管”(微穿刺研究者定义为肾小管中从致密斑延伸至其与另一条肾小管首次连接处的部分)可能对血管加压素产生反应。然而,该部分肾小管包含两个形态不同的节段。“早期”远端小管由远曲小管特征性上皮细胞构成,而“晚期”远端小管则由皮质集合管特征性上皮细胞构成。因此,开展了本研究以确定血管加压素在远端肾小管中最接近起始端的作用位点。对患有遗传性下丘脑性尿崩症的大鼠建立水利尿状态。在一半动物中,通过静脉输注外源性血管加压素中断利尿。在诱导血管加压素引起的抗利尿后或在最大水利尿期间开始对肾脏进行形态学保存。在包括远端小管晚期节段(形态学家也将该节段描述为初始集合小管)的皮质集合管中观察到细胞肿胀和细胞间隙增宽,这些形态学表现表明对血管加压素有反应。在早期远端小管(远曲小管)中未观察到血管加压素反应性的形态学证据。对Wistar、Long-Evans和Sprague-Dawley大鼠进行的额外形态学研究表明,在肾被膜下方可用于微穿刺的远曲小管与初始集合小管的随机可及性存在显著差异。结果表明,进入早期远端小管(远曲小管)的低渗小管液在进入晚期远端小管(初始集合小管)之前对血浆仍保持低渗状态,并且血管加压素诱导的渗透平衡仅取决于后一节段。这些发现强调了对接受生理学研究的肾小管节段进行形态学表征的重要性。

https://cdn.ncbi.nlm.nih.gov/pmc/blobs/e16c/302585/8a6201da0b3f/jcinvest00187-0139-a.jpg

文献检索

告别复杂PubMed语法,用中文像聊天一样搜索,搜遍4000万医学文献。AI智能推荐,让科研检索更轻松。

立即免费搜索

文件翻译

保留排版,准确专业,支持PDF/Word/PPT等文件格式,支持 12+语言互译。

免费翻译文档

深度研究

AI帮你快速写综述,25分钟生成高质量综述,智能提取关键信息,辅助科研写作。

立即免费体验