Suppr超能文献

累及骨间后神经的神经内神经纤维瘤。

Intraneural neurofibromas involving the posterior interosseous nerve.

作者信息

Lallemand R C, Weller R O

出版信息

J Neurol Neurosurg Psychiatry. 1973 Dec;36(6):991-6. doi: 10.1136/jnnp.36.6.991.

Abstract

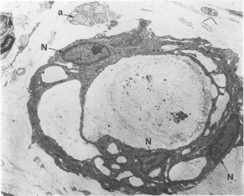
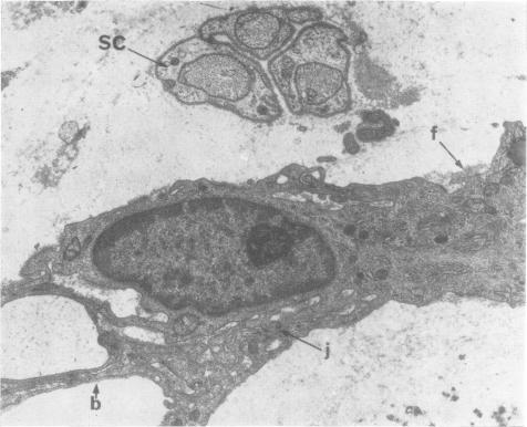
Two patients presented with a posterior interosseous nerve palsy with supinator weakness. In each case an intraneural neurofibroma was found proximal to the supinator tunnel with no other stigmata of von Recklinghausen's disease. Both tumours showed a whorl-like histological pattern that has been previously confused with onion-bulb structures in hypertrophic polyneuropathy. Electron-microscopy was useful for the pathological diagnosis. The prognosis and treatment of the lesions are discussed.

摘要

两名患者表现为骨间后神经麻痹伴旋后肌无力。在每例患者中,均在旋后肌管近端发现神经内神经纤维瘤,且无冯雷克林霍增氏病的其他体征。两个肿瘤均呈现出一种漩涡状的组织学模式,该模式之前曾与肥厚性多发性神经病中的洋葱球结构相混淆。电子显微镜检查有助于病理诊断。文中讨论了这些病变的预后和治疗。

https://cdn.ncbi.nlm.nih.gov/pmc/blobs/cf89/1083599/0d77fbabe226/jnnpsyc00204-0096-a.jpg

文献检索

告别复杂PubMed语法,用中文像聊天一样搜索,搜遍4000万医学文献。AI智能推荐,让科研检索更轻松。

立即免费搜索

文件翻译

保留排版,准确专业,支持PDF/Word/PPT等文件格式,支持 12+语言互译。

免费翻译文档

深度研究

AI帮你快速写综述,25分钟生成高质量综述,智能提取关键信息,辅助科研写作。

立即免费体验