Suppr超能文献

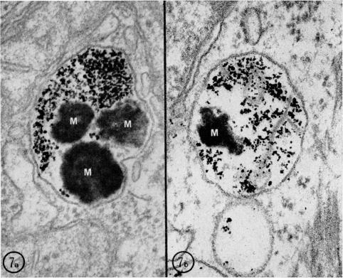
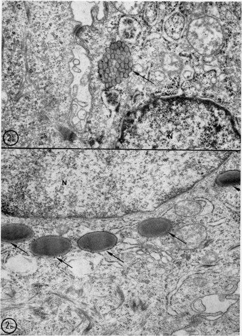
Melanocyte-keratinocyte interactions in vivo: the fate of melanosomes.

作者信息

Wolff K

出版信息

Yale J Biol Med. 1973 Dec;46(5):384-96.

Abstract
摘要
https://cdn.ncbi.nlm.nih.gov/pmc/blobs/b83d/2592025/4f8e7344e891/yjbm00160-0061-a.jpg

文献AI研究员

20分钟写一篇综述,助力文献阅读效率提升50倍。

立即体验

用中文搜PubMed

大模型驱动的PubMed中文搜索引擎

马上搜索

文档翻译

学术文献翻译模型,支持多种主流文档格式。

立即体验