Suppr超能文献

子宫颈正常鳞状上皮与癌性鳞状上皮的定量比较。

A quantitative comparison between normal and carcinomatous squamous epithelia of the uterine cervix.

作者信息

Wiernik G, Bradbury S, Plant M, Cowdell R H, Williams E A

出版信息

Br J Cancer. 1973 Dec;28(6):488-99. doi: 10.1038/bjc.1973.178.

Abstract

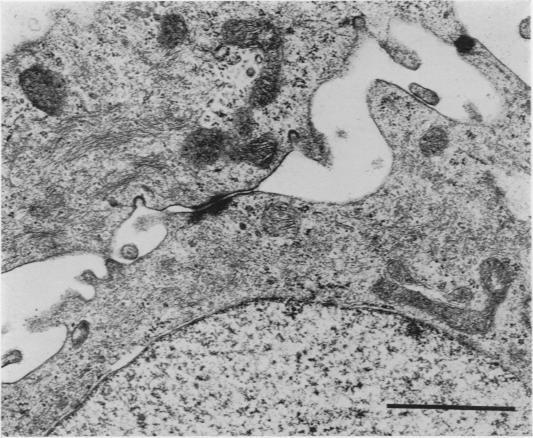
The object of this study was to measure some of the differences between normal squamous epithelial cells and cells from invasive squamous carcinoma of the uterine cervix. A total of 107 patients were studied; only those specimens which when assessed by a histopathologist were thought to show classic normal features or undoubted invasive carcinoma were included in the quantitative analysis. In addition, any specimens which at the electron microscope level, showed faulty sampling or preparation were discarded, leaving us with 16 carcinoma and 15 normal specimens for detailed study.The nuclei of tumour cells had a greater area than those of normal cells; histograms of the size distribution of nuclei showed a distinctly different pattern in the 2 groups. Tumour cells had fewer ribosomes in each cubic micron of cytoplasm than had the normal cells and showed a reduction in the amount of intercellular space; in addition, the malignant cells had a smaller surface density and fewer tonofibrils in their cytoplasm. Some tumour cells had a smaller percentage of cell membrane specialized as desmosomes than the corresponding normal cells but all tumour cells had desmosomes of shorter length than normal.Discriminatory analysis, carried out with the help of a computer, allowed all of these variables to be assessed with respect to each other in order to arrive at a numerical score for each specimen. When expressed graphically, these scores showed that the populations of normal and carcinomatous cells fell into 2 separate groups. The significance of these results is discussed.

摘要

本研究的目的是测量正常鳞状上皮细胞与子宫颈浸润性鳞状细胞癌细胞之间的一些差异。共研究了107例患者;只有那些经组织病理学家评估认为具有典型正常特征或无疑为浸润性癌的标本才纳入定量分析。此外,任何在电子显微镜水平显示取样或制备有问题的标本均被丢弃,最终留下16例癌标本和15例正常标本进行详细研究。肿瘤细胞核的面积大于正常细胞核;细胞核大小分布的直方图显示两组有明显不同的模式。肿瘤细胞每立方微米细胞质中的核糖体比正常细胞少,细胞间间隙减少;此外,恶性细胞的表面密度较小,细胞质中的张力原纤维较少。一些肿瘤细胞作为桥粒的特化细胞膜百分比低于相应的正常细胞,但所有肿瘤细胞的桥粒长度均比正常细胞短。借助计算机进行判别分析,使所有这些变量能够相互评估,从而得出每个标本的数值分数。以图形方式表示时,这些分数表明正常细胞群和癌细胞群分为两个不同的组。讨论了这些结果的意义。

https://cdn.ncbi.nlm.nih.gov/pmc/blobs/9afe/2008944/c32c69ebb9fe/brjcancer00345-0020-a.jpg

文献检索

告别复杂PubMed语法,用中文像聊天一样搜索,搜遍4000万医学文献。AI智能推荐,让科研检索更轻松。

立即免费搜索

文件翻译

保留排版,准确专业,支持PDF/Word/PPT等文件格式,支持 12+语言互译。

免费翻译文档

深度研究

AI帮你快速写综述,25分钟生成高质量综述,智能提取关键信息,辅助科研写作。

立即免费体验