Suppr超能文献

反复繁殖大鼠的胰腺动脉硬化及胰岛变化

Arteriosclerosis of the pancreas and changes in the islets of Langerhans of repeatedly bred rats.

作者信息

Wexler B C

出版信息

Br J Exp Pathol. 1970 Apr;51(2):107-13.

Abstract

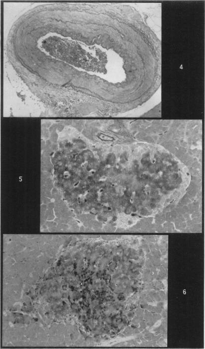
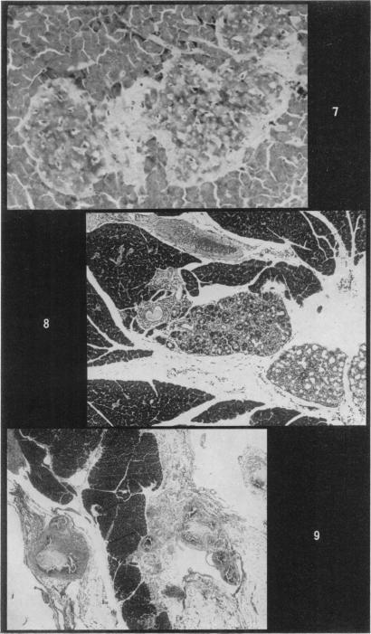
Repeatedly bred male and female rats develop hyperglycaemia, hyperlipidaemia, hypertension, arteriosclerosis and age prematurely. The intensity of these degenerative changes parallels the number and frequency of breedings. The islets of Langerhans undergo progressive hyperplasia and β-cell degranulation with each successive breeding. The pancreatic arteries are especially prone to develop arterial lesions which consist of abnormal mucopolysaccharide accumulation, elastic tissue breakdown, fibrosis and calcification. With continued active breeding the islet degenerative changes and arteriosclerosis become aggravated and many animals exhibit acinar necrosis, pancreatitis and parenchymatous calcification. It is believed that reproductive activity activates the hypothalamic-pituitary-adrenal-gonadal axis releasing hormones which have a dynamic effect on protein, fat and carbohydrate metabolism. In addition, unusual metabolic demands during such phases as gestation and lactation also effect protein, fat and carbohydrate metabolism leading to β-cell degranulation or “exhaustion” of insulin reserve.

摘要

反复繁殖的雄性和雌性大鼠会出现高血糖、高血脂、高血压、动脉硬化且过早衰老。这些退行性变化的强度与繁殖的次数和频率成正比。随着每次连续繁殖,胰岛会逐渐增生,β细胞脱颗粒。胰腺动脉尤其容易出现动脉病变,包括异常的粘多糖积累、弹性组织破坏、纤维化和钙化。随着持续的频繁繁殖,胰岛退行性变化和动脉硬化会加重,许多动物会出现腺泡坏死、胰腺炎和实质钙化。据信,生殖活动会激活下丘脑 - 垂体 - 肾上腺 - 性腺轴,释放对蛋白质、脂肪和碳水化合物代谢有动态影响的激素。此外,妊娠和哺乳期等阶段的异常代谢需求也会影响蛋白质、脂肪和碳水化合物代谢,导致β细胞脱颗粒或胰岛素储备“耗尽”。

https://cdn.ncbi.nlm.nih.gov/pmc/blobs/439a/2072233/42af586baa6f/brjexppathol00428-0008-a.jpg

文献检索

告别复杂PubMed语法,用中文像聊天一样搜索,搜遍4000万医学文献。AI智能推荐,让科研检索更轻松。

立即免费搜索

文件翻译

保留排版,准确专业,支持PDF/Word/PPT等文件格式,支持 12+语言互译。

免费翻译文档

深度研究

AI帮你快速写综述,25分钟生成高质量综述,智能提取关键信息,辅助科研写作。

立即免费体验