Sarles H, Lebreuil G, Tasso F, Figarella C, Clemente F, Devaux M A, Fagonde B, Payan H
Gut. 1971 May;12(5):377-88. doi: 10.1136/gut.12.5.377.
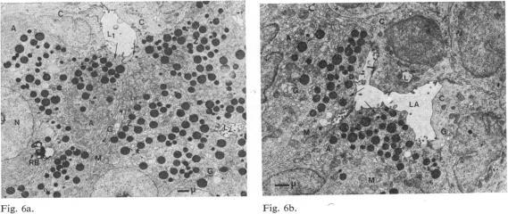
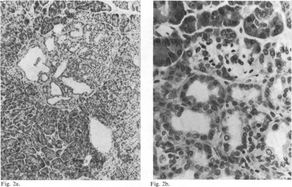
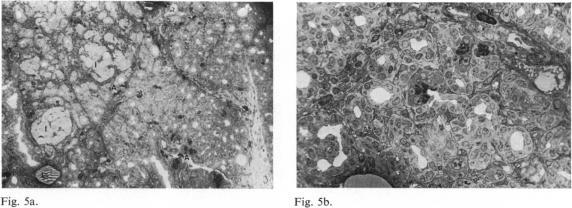
Acute ethanol intoxication was studied in 38 Wistar rats, 18 on a balanced diet and 20 on a high fat diet, fed by gavage on 47% ethanol in a dosage of from 3 to 12 g/kg body weight daily for periods ranging from three to 16 days. No macroscopic changes in pancreas or liver were found in any of these animals. Histological changes (venous congestion of the pancreas, the liver, and the kidneys) were found in rats given 4 g or more per kilogram. The only difference between the findings in rats given a balanced diet and those given a high fat diet was the development of fatty livers in the latter group. Chronic ethanol intoxication was studied in 45 Wistar rats, on a balanced diet, which were given 20% ethanol freely for 20 to 30 months. More than half the animals developed pancreatic lesions very similar to those of human chronic pancreatitis. The pathological changes, in foci surrounded by normal pancreatic tissue, were a reduction in acini, duct multiplication (probably by neogenesis), protein plugs, sometimes calcified in the ducts and sclerosis. Samples of pancreatic juice from four animals exposed to ethanol contained significantly higher protein concentrations than samples taken from two control animals. Protein precipitates appeared spontaneously in the pancreatic juice of the animals exposed to ethanol, but not in that of the controls. These findings are very similar to those in alcoholic pancreatitis in man, which has thus been reproduced for the first time in experimental animals. Beta-cell adenomata of the islets of Langerhans were observed in four of the rats exposed to ethanol.
对38只Wistar大鼠进行了急性乙醇中毒研究,其中18只给予均衡饮食,20只给予高脂饮食,通过灌胃给予47%的乙醇,剂量为每日3至12克/千克体重,持续3至16天。在这些动物中,未发现胰腺或肝脏有任何宏观变化。在给予每千克4克或更多乙醇的大鼠中发现了组织学变化(胰腺、肝脏和肾脏的静脉充血)。给予均衡饮食的大鼠和给予高脂饮食的大鼠的研究结果之间的唯一差异是后一组出现了脂肪肝。对45只给予均衡饮食的Wistar大鼠进行了慢性乙醇中毒研究,这些大鼠自由饮用20%的乙醇,持续20至30个月。超过一半的动物出现了与人类慢性胰腺炎非常相似的胰腺病变。在被正常胰腺组织包围的病灶中,病理变化包括腺泡减少、导管增生(可能是新生)、蛋白栓子,导管中有时会钙化以及硬化。来自四只接触乙醇的动物的胰液样本中的蛋白质浓度明显高于从两只对照动物采集的样本。在接触乙醇的动物的胰液中自发出现了蛋白质沉淀,而在对照动物的胰液中则没有。这些发现与人类酒精性胰腺炎的发现非常相似,这是首次在实验动物中再现。在四只接触乙醇的大鼠中观察到了胰岛的β细胞腺瘤。