• 文献检索
  • 文档翻译
  • 深度研究
  • 学术资讯
  • Suppr Zotero 插件Zotero 插件
  • 邀请有礼
  • 套餐&价格
  • 历史记录
应用&插件
Suppr Zotero 插件Zotero 插件浏览器插件Mac 客户端Windows 客户端微信小程序
定价
高级版会员购买积分包购买API积分包
服务
文献检索文档翻译深度研究API 文档MCP 服务
关于我们
关于 Suppr公司介绍联系我们用户协议隐私条款
关注我们

Suppr 超能文献

核心技术专利:CN118964589B侵权必究
粤ICP备2023148730 号-1Suppr @ 2026

文献检索

告别复杂PubMed语法,用中文像聊天一样搜索,搜遍4000万医学文献。AI智能推荐,让科研检索更轻松。

立即免费搜索

文件翻译

保留排版,准确专业,支持PDF/Word/PPT等文件格式,支持 12+语言互译。

免费翻译文档

深度研究

AI帮你快速写综述,25分钟生成高质量综述,智能提取关键信息,辅助科研写作。

立即免费体验

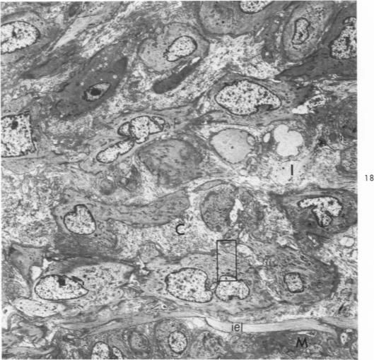
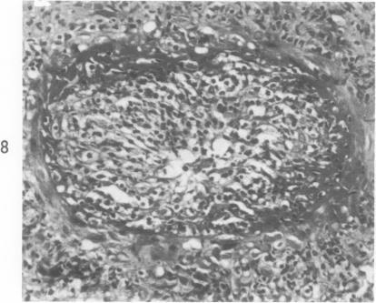
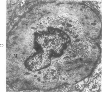
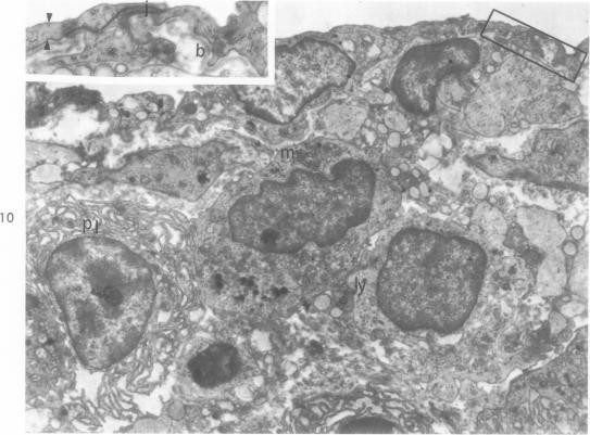
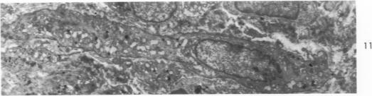
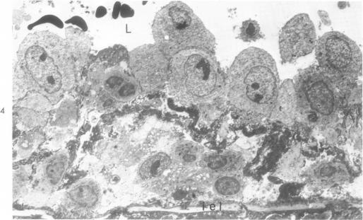
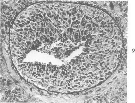
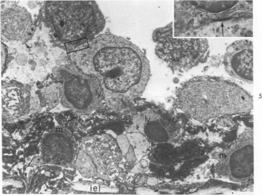
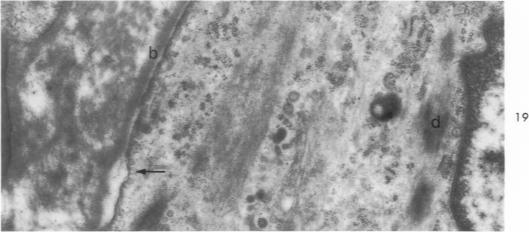
Thickening of arterial intima in rat cardiac allografts. A light and electron microscopic study.

作者信息

Laden A M, Sinclair R A

出版信息

Am J Pathol. 1971 Apr;63(1):69-84.

PMID:4927043
原文链接:https://pmc.ncbi.nlm.nih.gov/articles/PMC2047461/
Abstract
摘要
https://cdn.ncbi.nlm.nih.gov/pmc/blobs/d705/2047461/2df6f26bca26/amjpathol00410-0095-d.jpg
https://cdn.ncbi.nlm.nih.gov/pmc/blobs/d705/2047461/f6e5e1d467bc/amjpathol00410-0096-a.jpg
https://cdn.ncbi.nlm.nih.gov/pmc/blobs/d705/2047461/a20a844377c5/amjpathol00410-0096-b.jpg
https://cdn.ncbi.nlm.nih.gov/pmc/blobs/d705/2047461/1c5bfa4aef0a/amjpathol00410-0096-c.jpg
https://cdn.ncbi.nlm.nih.gov/pmc/blobs/d705/2047461/12fc907f6a5d/amjpathol00410-0093-a.jpg
https://cdn.ncbi.nlm.nih.gov/pmc/blobs/d705/2047461/8565bb86896e/amjpathol00410-0093-b.jpg
https://cdn.ncbi.nlm.nih.gov/pmc/blobs/d705/2047461/5b4e84948839/amjpathol00410-0093-c.jpg
https://cdn.ncbi.nlm.nih.gov/pmc/blobs/d705/2047461/1c6aafcbb845/amjpathol00410-0094-a.jpg
https://cdn.ncbi.nlm.nih.gov/pmc/blobs/d705/2047461/c4c4190dbb2a/amjpathol00410-0094-b.jpg
https://cdn.ncbi.nlm.nih.gov/pmc/blobs/d705/2047461/b1c90a6b2fd6/amjpathol00410-0094-c.jpg
https://cdn.ncbi.nlm.nih.gov/pmc/blobs/d705/2047461/6a82b183e307/amjpathol00410-0098-a.jpg
https://cdn.ncbi.nlm.nih.gov/pmc/blobs/d705/2047461/256d90024e0b/amjpathol00410-0098-b.jpg
https://cdn.ncbi.nlm.nih.gov/pmc/blobs/d705/2047461/4a18b6af792a/amjpathol00410-0098-c.jpg
https://cdn.ncbi.nlm.nih.gov/pmc/blobs/d705/2047461/dce2848ad937/amjpathol00410-0097-a.jpg
https://cdn.ncbi.nlm.nih.gov/pmc/blobs/d705/2047461/f7954a5465b7/amjpathol00410-0097-b.jpg
https://cdn.ncbi.nlm.nih.gov/pmc/blobs/d705/2047461/38a3ec492dc0/amjpathol00410-0092-a.jpg
https://cdn.ncbi.nlm.nih.gov/pmc/blobs/d705/2047461/94bc4f227ec7/amjpathol00410-0092-b.jpg
https://cdn.ncbi.nlm.nih.gov/pmc/blobs/d705/2047461/7daa429d28d2/amjpathol00410-0091-a.jpg
https://cdn.ncbi.nlm.nih.gov/pmc/blobs/d705/2047461/eb4f0af1f1da/amjpathol00410-0091-b.jpg
https://cdn.ncbi.nlm.nih.gov/pmc/blobs/d705/2047461/756b6e033527/amjpathol00410-0095-a.jpg
https://cdn.ncbi.nlm.nih.gov/pmc/blobs/d705/2047461/d2fe4c920e42/amjpathol00410-0095-b.jpg
https://cdn.ncbi.nlm.nih.gov/pmc/blobs/d705/2047461/178dc1637a0c/amjpathol00410-0095-c.jpg
https://cdn.ncbi.nlm.nih.gov/pmc/blobs/d705/2047461/2df6f26bca26/amjpathol00410-0095-d.jpg
https://cdn.ncbi.nlm.nih.gov/pmc/blobs/d705/2047461/f6e5e1d467bc/amjpathol00410-0096-a.jpg
https://cdn.ncbi.nlm.nih.gov/pmc/blobs/d705/2047461/a20a844377c5/amjpathol00410-0096-b.jpg
https://cdn.ncbi.nlm.nih.gov/pmc/blobs/d705/2047461/1c5bfa4aef0a/amjpathol00410-0096-c.jpg
https://cdn.ncbi.nlm.nih.gov/pmc/blobs/d705/2047461/12fc907f6a5d/amjpathol00410-0093-a.jpg
https://cdn.ncbi.nlm.nih.gov/pmc/blobs/d705/2047461/8565bb86896e/amjpathol00410-0093-b.jpg
https://cdn.ncbi.nlm.nih.gov/pmc/blobs/d705/2047461/5b4e84948839/amjpathol00410-0093-c.jpg
https://cdn.ncbi.nlm.nih.gov/pmc/blobs/d705/2047461/1c6aafcbb845/amjpathol00410-0094-a.jpg
https://cdn.ncbi.nlm.nih.gov/pmc/blobs/d705/2047461/c4c4190dbb2a/amjpathol00410-0094-b.jpg
https://cdn.ncbi.nlm.nih.gov/pmc/blobs/d705/2047461/b1c90a6b2fd6/amjpathol00410-0094-c.jpg
https://cdn.ncbi.nlm.nih.gov/pmc/blobs/d705/2047461/6a82b183e307/amjpathol00410-0098-a.jpg
https://cdn.ncbi.nlm.nih.gov/pmc/blobs/d705/2047461/256d90024e0b/amjpathol00410-0098-b.jpg
https://cdn.ncbi.nlm.nih.gov/pmc/blobs/d705/2047461/4a18b6af792a/amjpathol00410-0098-c.jpg
https://cdn.ncbi.nlm.nih.gov/pmc/blobs/d705/2047461/dce2848ad937/amjpathol00410-0097-a.jpg
https://cdn.ncbi.nlm.nih.gov/pmc/blobs/d705/2047461/f7954a5465b7/amjpathol00410-0097-b.jpg
https://cdn.ncbi.nlm.nih.gov/pmc/blobs/d705/2047461/38a3ec492dc0/amjpathol00410-0092-a.jpg
https://cdn.ncbi.nlm.nih.gov/pmc/blobs/d705/2047461/94bc4f227ec7/amjpathol00410-0092-b.jpg
https://cdn.ncbi.nlm.nih.gov/pmc/blobs/d705/2047461/7daa429d28d2/amjpathol00410-0091-a.jpg
https://cdn.ncbi.nlm.nih.gov/pmc/blobs/d705/2047461/eb4f0af1f1da/amjpathol00410-0091-b.jpg
https://cdn.ncbi.nlm.nih.gov/pmc/blobs/d705/2047461/756b6e033527/amjpathol00410-0095-a.jpg
https://cdn.ncbi.nlm.nih.gov/pmc/blobs/d705/2047461/d2fe4c920e42/amjpathol00410-0095-b.jpg
https://cdn.ncbi.nlm.nih.gov/pmc/blobs/d705/2047461/178dc1637a0c/amjpathol00410-0095-c.jpg
https://cdn.ncbi.nlm.nih.gov/pmc/blobs/d705/2047461/2df6f26bca26/amjpathol00410-0095-d.jpg

相似文献

1
Thickening of arterial intima in rat cardiac allografts. A light and electron microscopic study.大鼠心脏同种异体移植中动脉内膜增厚:光镜和电镜研究
Am J Pathol. 1971 Apr;63(1):69-84.
2
Coronary venous intimal thickening in explanted cardiac allografts. Evidence demonstrating that transplant coronary artery disease is a manifestation of a diffuse allograft vasculopathy.
Transplantation. 1992 Jun;53(6):1247-51. doi: 10.1097/00007890-199206000-00015.
3
Acute vascular rejection involving the major coronary arteries of a cardiac allograft.涉及心脏同种异体移植主要冠状动脉的急性血管排斥反应。
J Heart Transplant. 1988 May-Jun;7(3):191-7.
4
Studies on the pathogenesis of atheroarteriosclerosis induced in rabbit cardiac allografts by the synergy of graft rejection and hypercholesterolemia.关于移植物排斥反应与高胆固醇血症协同作用诱导兔心脏同种异体移植动脉粥样硬化发病机制的研究。
Am J Pathol. 1977 May;87(2):415-42.
5
Hypercholesterolemia does not exacerbate arterial intimal thickening in chronically rejecting rat cardiac allografts.高胆固醇血症不会加重慢性排斥反应大鼠心脏移植后的动脉内膜增厚。
Transplant Proc. 1989 Feb;21(1 Pt 1):437-9.
6
The effects of treatment on the arterial lesions of rat and rabbit cardiac allografts.
Transplantation. 1972 Mar;13(3):281-90. doi: 10.1097/00007890-197203000-00014.
7
Heart graft arteriosclerosis.心脏移植动脉硬化
Transplant Proc. 1971 Mar;3(1):512-4.
8
Diltiazem preserves direct vasodilator response but fails to suppress intimal proliferation in rat allograft coronary artery disease.地尔硫䓬可保留直接血管舒张反应,但不能抑制大鼠同种异体移植冠状动脉疾病中的内膜增殖。
J Heart Lung Transplant. 1996 Jan;15(1 Pt 1):67-77.
9
Morphological changes in indefinitely surviving enhanced ectopic rat cardiac allografts.无限期存活的增强型异位大鼠心脏同种异体移植物的形态学变化。
J Pathol. 1976 May;119(1):29-34. doi: 10.1002/path.1711190106.
10
Experimental cardiac allograft vasculopathy in mice.小鼠实验性心脏移植血管病变
J Heart Lung Transplant. 1993 Sep-Oct;12(5):730-5.

引用本文的文献

1
Regulation of human aortic endothelial cell-derived mesenchymal growth factors by allogeneic lymphocytes in vitro. A potential mechanism for cardiac allograft vasculopathy.体外同种异体淋巴细胞对人主动脉内皮细胞衍生间充质生长因子的调节作用。心脏移植血管病变的一种潜在机制。
J Clin Invest. 1993 Sep;92(3):1269-77. doi: 10.1172/JCI116699.
2
VLA-4 and lymphocyte trafficking in immune-inflammatory states: novel therapeutic approaches in allograft arteriopathy.VLA - 4与免疫炎症状态下的淋巴细胞迁移:同种异体移植血管病的新型治疗方法
Springer Semin Immunopathol. 1995;16(4):443-65. doi: 10.1007/BF00196100.
3
Cardiac transplantation in the rat. I. The effect of histocompatibility differences on graft arteriosclerosis.

本文引用的文献

1
An Electron Microscopic Study of Experimental Atherosclerosis.实验性动脉粥样硬化的电子显微镜研究
Am J Pathol. 1960 Jan;36(1):19-53.
2
CELLS GROWN ON ISOLATED INTRAVASCULAR DACRON HUB; AN ELECTRON MICROSCOPIC STUDY.
Exp Mol Pathol. 1964 Oct;3:403-12. doi: 10.1016/0014-4800(64)90022-x.
3
VASCULAR AND OTHER CHANGES IN 200 CANINE RENAL HOMOTRANSPLANTS TREATED WITH IMMUNO-SUPPRESSIVE DRUGS.用免疫抑制药物治疗的200例犬肾同种移植中的血管及其他变化
Lab Invest. 1964 Jul;13:810-24.
大鼠心脏移植。I. 组织相容性差异对移植动脉硬化的影响。
Transplantation. 1989 Mar;47(3):414-9. doi: 10.1097/00007890-198903000-00002.
4
Towards understanding the pathophysiology of chronic rejection.迈向对慢性排斥反应病理生理学的理解。
Clin Investig. 1992 Sep;70(9):780-90. doi: 10.1007/BF00180748.
5
Transplant arteriosclerosis in a rat aortic model.大鼠主动脉模型中的移植动脉硬化
Am J Pathol. 1992 Nov;141(5):1139-49.
6
Rejection of first-set skin allografts in man. the microvasculature is the critical target of the immune response.人类首次皮肤同种异体移植的排斥反应。微血管是免疫反应的关键靶点。
J Exp Med. 1979 Aug 1;150(2):322-37. doi: 10.1084/jem.150.2.322.
7
The ultrastructure of the various forms of pulmonary arterial intimal fibrosis.各种形式的肺动脉内膜纤维化的超微结构
Virchows Arch A Pathol Anat Histol. 1979 May 31;382(2):139-50. doi: 10.1007/BF01102870.
4
OBLITERATIVE VASCULAR CHANGES IN FOUR HUMAN KIDNEY HOMOTRANSPLANTS.四例人类同种肾移植中的闭塞性血管改变
Br Med J. 1963 Sep 14;2(5358):639-45. doi: 10.1136/bmj.2.5358.639.
5
The mixed leucocyte reaction. I. Studies using inbred strains of rats.混合淋巴细胞反应。I. 使用近交系大鼠的研究。
Transplantation. 1968 May;6(3):363-73. doi: 10.1097/00007890-196805000-00007.
6
The origin of the cells constituting arterial intima thickening. An experimental autoradiographic study with the use of H3-thymidine.
Lab Invest. 1970 Apr;22(4):286-93.
7
Human renal transplants. I. Glomerular changes.人类肾移植。I. 肾小球变化。
Lab Invest. 1967 Jan;16(1):153-81.
8
Phagocytosis of platelets by monocytes in organizing arterial thrombi. An electron microscopical study.机化动脉血栓中单核细胞对血小板的吞噬作用。一项电子显微镜研究。
Q J Exp Physiol Cogn Med Sci. 1966 Jan;51(1):54-9. doi: 10.1113/expphysiol.1966.sp001824.
9
Host repopulation of the endothelium in allografts of kidneys and aorta.肾脏和主动脉同种异体移植中内皮的宿主再填充。
Surg Forum. 1969;20:293-4.
10
Cardiac transplantation in man. VII. Cardiac allograft pathology.
Circulation. 1970 May;41(5):753-72. doi: 10.1161/01.cir.41.5.753.