• 文献检索
  • 文档翻译
  • 深度研究
  • 学术资讯
  • Suppr Zotero 插件Zotero 插件
  • 邀请有礼
  • 套餐&价格
  • 历史记录
应用&插件
Suppr Zotero 插件Zotero 插件浏览器插件Mac 客户端Windows 客户端微信小程序
定价
高级版会员购买积分包购买API积分包
服务
文献检索文档翻译深度研究API 文档MCP 服务
关于我们
关于 Suppr公司介绍联系我们用户协议隐私条款
关注我们

Suppr 超能文献

核心技术专利:CN118964589B侵权必究
粤ICP备2023148730 号-1Suppr @ 2026

文献检索

告别复杂PubMed语法,用中文像聊天一样搜索,搜遍4000万医学文献。AI智能推荐,让科研检索更轻松。

立即免费搜索

文件翻译

保留排版,准确专业,支持PDF/Word/PPT等文件格式,支持 12+语言互译。

免费翻译文档

深度研究

AI帮你快速写综述,25分钟生成高质量综述,智能提取关键信息,辅助科研写作。

立即免费体验

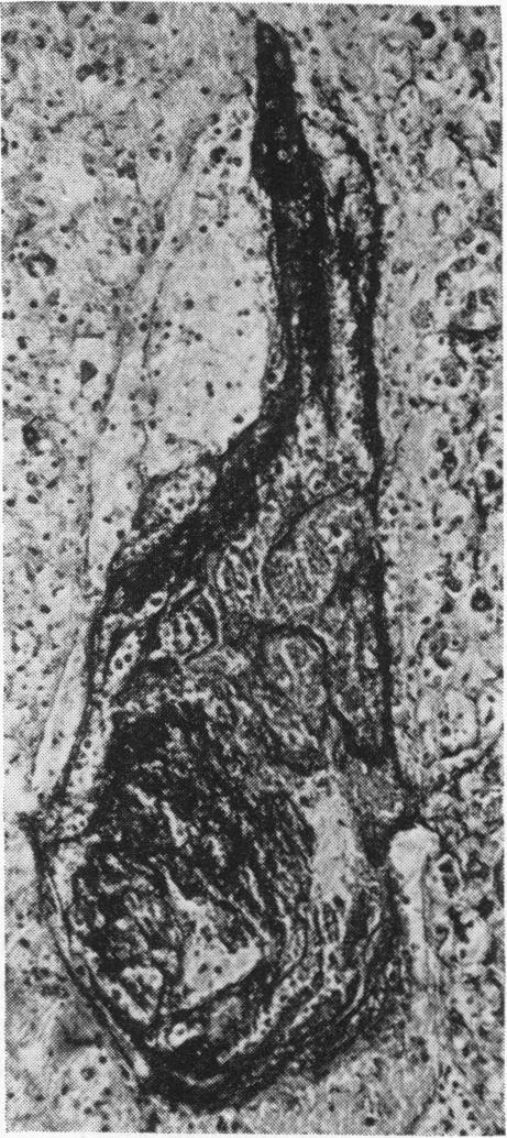
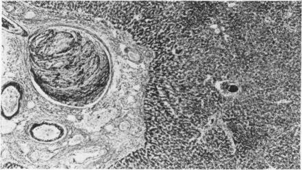
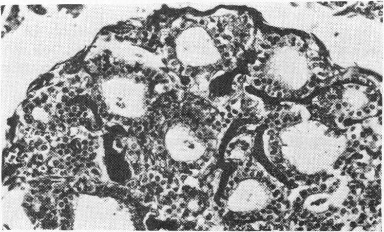
Disseminated fibrin thromboembolism among neonates dying within 48 hours of birth.

作者信息

Boyd J F

出版信息

Arch Dis Child. 1967 Aug;42(224):401-9. doi: 10.1136/adc.42.224.401.

DOI:10.1136/adc.42.224.401
PMID:4951639
原文链接:https://pmc.ncbi.nlm.nih.gov/articles/PMC2019786/
Abstract
摘要
https://cdn.ncbi.nlm.nih.gov/pmc/blobs/f237/2019786/18f012ea16e4/archdisch01565-0069-a.jpg
https://cdn.ncbi.nlm.nih.gov/pmc/blobs/f237/2019786/15e51ee8a3c7/archdisch01565-0064-a.jpg
https://cdn.ncbi.nlm.nih.gov/pmc/blobs/f237/2019786/113b05a7f51e/archdisch01565-0065-a.jpg
https://cdn.ncbi.nlm.nih.gov/pmc/blobs/f237/2019786/431836ae80a6/archdisch01565-0065-b.jpg
https://cdn.ncbi.nlm.nih.gov/pmc/blobs/f237/2019786/1a77f1787b04/archdisch01565-0066-a.jpg
https://cdn.ncbi.nlm.nih.gov/pmc/blobs/f237/2019786/87ac3f01d998/archdisch01565-0066-b.jpg
https://cdn.ncbi.nlm.nih.gov/pmc/blobs/f237/2019786/86d161218a0c/archdisch01565-0067-a.jpg
https://cdn.ncbi.nlm.nih.gov/pmc/blobs/f237/2019786/8538bceb6352/archdisch01565-0067-b.jpg
https://cdn.ncbi.nlm.nih.gov/pmc/blobs/f237/2019786/47e13a9665e8/archdisch01565-0068-a.jpg
https://cdn.ncbi.nlm.nih.gov/pmc/blobs/f237/2019786/b9c7d90d91cc/archdisch01565-0068-b.jpg
https://cdn.ncbi.nlm.nih.gov/pmc/blobs/f237/2019786/b4582e84c56b/archdisch01565-0068-c.jpg
https://cdn.ncbi.nlm.nih.gov/pmc/blobs/f237/2019786/18f012ea16e4/archdisch01565-0069-a.jpg
https://cdn.ncbi.nlm.nih.gov/pmc/blobs/f237/2019786/15e51ee8a3c7/archdisch01565-0064-a.jpg
https://cdn.ncbi.nlm.nih.gov/pmc/blobs/f237/2019786/113b05a7f51e/archdisch01565-0065-a.jpg
https://cdn.ncbi.nlm.nih.gov/pmc/blobs/f237/2019786/431836ae80a6/archdisch01565-0065-b.jpg
https://cdn.ncbi.nlm.nih.gov/pmc/blobs/f237/2019786/1a77f1787b04/archdisch01565-0066-a.jpg
https://cdn.ncbi.nlm.nih.gov/pmc/blobs/f237/2019786/87ac3f01d998/archdisch01565-0066-b.jpg
https://cdn.ncbi.nlm.nih.gov/pmc/blobs/f237/2019786/86d161218a0c/archdisch01565-0067-a.jpg
https://cdn.ncbi.nlm.nih.gov/pmc/blobs/f237/2019786/8538bceb6352/archdisch01565-0067-b.jpg
https://cdn.ncbi.nlm.nih.gov/pmc/blobs/f237/2019786/47e13a9665e8/archdisch01565-0068-a.jpg
https://cdn.ncbi.nlm.nih.gov/pmc/blobs/f237/2019786/b9c7d90d91cc/archdisch01565-0068-b.jpg
https://cdn.ncbi.nlm.nih.gov/pmc/blobs/f237/2019786/b4582e84c56b/archdisch01565-0068-c.jpg
https://cdn.ncbi.nlm.nih.gov/pmc/blobs/f237/2019786/18f012ea16e4/archdisch01565-0069-a.jpg

相似文献

1
Disseminated fibrin thromboembolism among neonates dying within 48 hours of birth.出生后48小时内死亡的新生儿中发生的播散性纤维蛋白血栓栓塞。
Arch Dis Child. 1967 Aug;42(224):401-9. doi: 10.1136/adc.42.224.401.
2
A study of disseminated intravascular coagulation.一项关于弥散性血管内凝血的研究。
Taiwan Yi Xue Hui Za Zhi. 1983 Jan;82(1):61-73.
3
Disseminated fibrin thrombo-embolism in stillbirths and neonatal deaths.死产和新生儿死亡中的播散性纤维蛋白血栓栓塞。
Bibl Anat. 1973;12:83-6.
4
Disseminated intravascular coagulation following extracorporeal circulation.体外循环后弥散性血管内凝血
J Thorac Cardiovasc Surg. 1972 Nov;64(5):685-93.
5
[Intravascular morphological manifestations of the syndrome of disseminated intravascular coagulation (DIC) in the acute period of burn disease].[烧伤疾病急性期弥散性血管内凝血(DIC)综合征的血管内形态学表现]
Vestn Khir Im I I Grek. 2005;164(6):58-61.
6
[A case of perinatal and maternal death].[一例围产期母婴死亡病例]
Ned Tijdschr Geneeskd. 1972 Oct 21;116(43):1961-2.
7
[The skin and disseminated intravascular coagulation].[皮肤与弥散性血管内凝血]
Rinsho Byori. 1985 Jun;Spec No 63:171-82.
8
Disseminated intravascular coagulation in virus diseases.病毒疾病中的弥散性血管内凝血
Arch Intern Med. 1967 Aug;120(2):129-52.
9
[Intravascular clotting as cause of fatal outcome of toxic diarrhea syndromes and septicemia in infants].[血管内凝血作为婴儿中毒性腹泻综合征和败血症致命结局的原因]
Pol Tyg Lek. 1975 Sep 29;30(39):1615-7.
10
[Disseminated intravascular coagulation syndrome in sepsis in infants].[婴儿脓毒症中的弥散性血管内凝血综合征]
Vestn Khir Im I I Grek. 1978 Sep;121(9):84-8.

引用本文的文献

1
[On the pathological anatomy of circulatory shock in man. I. Microthrombosis of peripheral blood vessels].[人体循环性休克的病理解剖学。I. 外周血管的微血栓形成]
Klin Wochenschr. 1968 Apr 1;46(7):352-7. doi: 10.1007/BF01734126.
2
Secondary haemorrhagic disease of the newborn.新生儿继发性出血性疾病
Arch Dis Child. 1970 Aug;45(242):539-43. doi: 10.1136/adc.45.242.539.
3
Fate of surviving low-birth-weight infants with coagulation deficiencies on the first day of life.出生体重低且患有凝血功能缺陷的存活婴儿在出生第一天的转归。

本文引用的文献

1
Complications of late pregnancy in rabbits induced by experimental placental trauma.实验性胎盘创伤诱发兔晚期妊娠并发症。
Surg Gynecol Obstet. 1950 May;90(5):613-22.
2
Etiology of afibrinogenemia: fibrinogenolytic and fibrinolytic phenomena.无纤维蛋白原血症的病因:纤维蛋白原溶解和纤维蛋白溶解现象。
Ann N Y Acad Sci. 1959 Jan 9;75:676-84. doi: 10.1111/j.1749-6632.1959.tb44582.x.
3
IATROGENIC LESIONS IN BABIES FOLLOWING UMBILICAL VEIN CATHETERIZATION.脐静脉插管术后婴儿的医源性损伤
Br Med J. 1970 Dec 19;4(5737):707-9. doi: 10.1136/bmj.4.5737.707.
4
Fibrin-fibrinogen degradation products in sera of normal infants and children.正常婴幼儿血清中的纤维蛋白-纤维蛋白原降解产物
Arch Dis Child. 1969 Dec;44(238):761-4. doi: 10.1136/adc.44.238.761.
5
Endocarditis in the neonatal period.新生儿期的心内膜炎
Arch Dis Child. 1971 Oct;46(249):731-3. doi: 10.1136/adc.46.249.731.
6
[Surface structure of the human placenta in the scanning electron microscope].[扫描电子显微镜下的人类胎盘表面结构]
Arch Gynakol. 1971 Apr 27;210(1):1-20. doi: 10.1007/BF00668377.
7
[Demonstration of fibrin monomeres in umbilical cord blood].[脐血中纤维蛋白单体的显示]
Klin Wochenschr. 1971 Jan 15;49(2):106-8. doi: 10.1007/BF01497308.
8
Haemorrhage in the newborn.新生儿出血症
Br Med J. 1971 Oct 2;4(5778):1-2.
9
[Acute encephalo-enteritis and consumption coagulopathy].[急性脑-肠炎与消耗性凝血病]
Klin Wochenschr. 1972 Jan 15;50(2):76-85. doi: 10.1007/BF01484814.
10
Natural history of adrenal haemorrhage in the newborn.新生儿肾上腺出血的自然病史。
Arch Dis Child. 1973 Mar;48(3):183-90. doi: 10.1136/adc.48.3.183.
Arch Dis Child. 1965 Aug;40(212):426-9. doi: 10.1136/adc.40.212.426.
4
PATHOGENESIS OF FIBRINOLYSIS IN DEFIBRINATION SYNDROME: EFFECT OF HEPARIN ADMINISTRATION.去纤维蛋白原综合征中纤维蛋白溶解的发病机制:肝素给药的影响。
Blood. 1964 Dec;24:701-15.
5
HAEMORRHAGE AND FIBRINOLYSIS.出血与纤维蛋白溶解
Proc R Soc Med. 1964 Jul;57(7):603-6. doi: 10.1177/003591576405700733.
6
Thrombotic arteriolar lesions in lungs of newborn.新生儿肺部的血栓性小动脉病变
Arch Pathol. 1963 Feb;75:144-55.
7
Fibrinogenopenic accident of pregnancy and delivery: a syndrome with multiple etiological mechanisms.妊娠与分娩期纤维蛋白原缺乏性意外:一种具有多种病因机制的综合征。
Ann N Y Acad Sci. 1959 Jan 9;75:601-25. doi: 10.1111/j.1749-6632.1959.tb44579.x.
8
Thrombi in the hepatic sinusoids of the newborn and their relation to pulmonary hyaline membrane formation.新生儿肝血窦中的血栓及其与肺透明膜形成的关系。
Arch Dis Child. 1961 Jun;36(187):286-92. doi: 10.1136/adc.36.187.286.
9
Fibrinolysis and fibrinolytic activity in man.人体中的纤维蛋白溶解与纤维蛋白溶解活性。
Physiol Rev. 1959 Apr;39(2):343-82. doi: 10.1152/physrev.1959.39.2.343.
10
Fibrinolysis as mechanism of hemorrhagic tendency.纤维蛋白溶解作为出血倾向的机制。
Acta Haematol. 1958 Jul-Oct;20(1-4):85-96. doi: 10.1159/000205470.