Hapke E J, Seal R M, Thomas G O, Hayes M, Meek J C
Thorax. 1968 Sep;23(5):451-68. doi: 10.1136/thx.23.5.451.
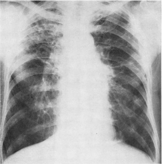
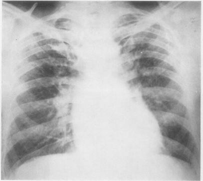
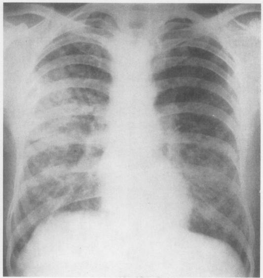
In assessing patients suffering from farmer's lung, the acute stage must be distinguished from the chronic stage of the disease. The conspicuous radiographic signs in the acute farmer's lung episode and the often dramatic clearing make an important contribution to the diagnosis. The radiographic changes in chronic farmer's lung are not specific and cover a wide range of appearances. Even minor nodular changes are significant. Farmer's lung, acute and chronic, is not a disease predominantly characterized by a defect in gas exchange. During the acute illness the reduction in diffusing capacity is often accompanied by a decrease in lung volumes; the pulmonary function profile of the chronic stage is variable. In only a relatively small proportion of chronic farmer's lung patients does a defect in gas exchange predominate, and in some it may be manifest only during exercise. Airway obstruction is a feature of chronic farmer's lung. In chronic farmer's lung patients discrepancies between the severity of complaints and results of pulmonary function tests are not infrequent. In some patients with considerable disability conventional pulmonary function studies may demonstrate little or no impairment of the functions measured. In patients suffering from an acute farmer's lung episode, serological tests should be positive, possibly in high titre. In the chronic stage of the disease the chance of finding positive serology in a patient diminishes with the length of time elapsed since the last acute episode. The period of serological transition appears to be the third year.
在评估患有农民肺的患者时,必须区分疾病的急性期和慢性期。急性农民肺发作时明显的影像学表现以及常常显著的消散对诊断有重要意义。慢性农民肺的影像学改变不具有特异性,表现形式多样。即使是轻微的结节状改变也很重要。急性和慢性农民肺并非主要以气体交换缺陷为特征的疾病。在急性发病期间,弥散能力下降常常伴有肺容积减小;慢性期的肺功能情况各不相同。只有相对少数的慢性农民肺患者以气体交换缺陷为主,而且有些患者可能仅在运动时才表现出来。气道阻塞是慢性农民肺的一个特征。在慢性农民肺患者中,症状严重程度与肺功能测试结果之间不一致的情况并不少见。在一些有明显残疾的患者中,传统的肺功能研究可能显示所测量的功能几乎没有或没有受损。在患有急性农民肺发作的患者中,血清学检查应该呈阳性,可能是高滴度阳性。在疾病的慢性期,患者血清学呈阳性的几率会随着自上次急性发作后所经过时间的延长而降低。血清学转变期似乎是在第三年。