Suppr超能文献

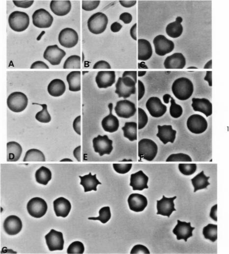
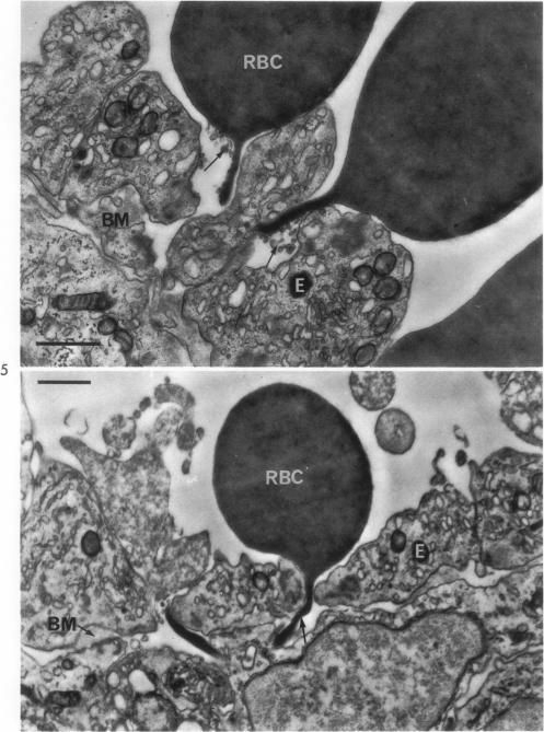
Studies of catecholamine shock. II. An experimental model of microangiopathic hemolysis.

作者信息

McKay D G, Whitaker A N

出版信息

Am J Pathol. 1969 Aug;56(2):177-200.

Abstract
摘要
https://cdn.ncbi.nlm.nih.gov/pmc/blobs/5e95/2013570/68909ed63bfa/amjpathol00423-0065-a.jpg

文献检索

告别复杂PubMed语法,用中文像聊天一样搜索,搜遍4000万医学文献。AI智能推荐,让科研检索更轻松。

立即免费搜索

文件翻译

保留排版,准确专业,支持PDF/Word/PPT等文件格式,支持 12+语言互译。

免费翻译文档

深度研究

AI帮你快速写综述,25分钟生成高质量综述,智能提取关键信息,辅助科研写作。

立即免费体验