Tait R A, Kealy W F
J Clin Pathol. 1979 Nov;32(11):1090-9. doi: 10.1136/jcp.32.11.1090.
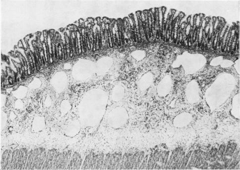
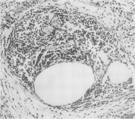
Five cases of neonatal necrotising enterocolitis occurred in full-term infants at Kingston Hospital in the space of 15 months. In all cases only the colon was involved. The pathological findings are discussed particularly in relation to the aetiology of the disease.