Suppr超能文献

胃平滑肌瘤和平滑肌肉瘤——5例

Gastric leiomyoma and leiomyosarcoma--five cases.

作者信息

Lee F I

出版信息

Postgrad Med J. 1979 Sep;55(646):575-8. doi: 10.1136/pgmj.55.646.575.

Abstract

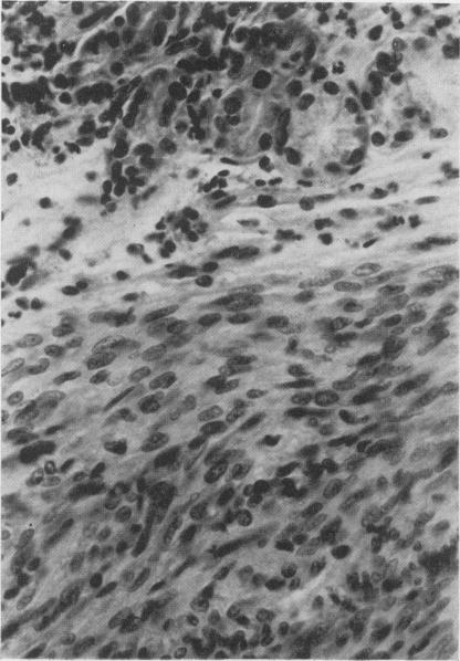
Five patients with smooth muscle tumours of the stomach are presented. In 3 cases, histological identification of the lesion was made pre-operatively on biopsy material obtained under direct vision at gastroscopy.

摘要

本文报告了5例胃平滑肌肿瘤患者。其中3例在术前通过胃镜直视下获取的活检材料进行了病变的组织学鉴定。

https://cdn.ncbi.nlm.nih.gov/pmc/blobs/79f1/2428101/29c4bc6b5812/postmedj00248-0064-a.jpg

文献检索

告别复杂PubMed语法,用中文像聊天一样搜索,搜遍4000万医学文献。AI智能推荐,让科研检索更轻松。

立即免费搜索

文件翻译

保留排版,准确专业,支持PDF/Word/PPT等文件格式,支持 12+语言互译。

免费翻译文档

深度研究

AI帮你快速写综述,25分钟生成高质量综述,智能提取关键信息,辅助科研写作。

立即免费体验