Suppr超能文献

移植睾丸中的镉坏死作为移植物中原始血管持续存在的证据。

Cadmium necrosis in transplanted testicles as evidence for persistence of original vessels in the graft.

作者信息

Záhor Z, Povýsil C

出版信息

Am J Pathol. 1979 Nov;97(2):223-33.

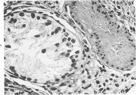
Abstract

The testicles of newborn rats were transplanted subcutaneously to the external ears of mature male rats. Four and 8 weeks later the hosts received a subtoxic dose of cadmium chloride. Forty-eight hours thereafter focal, but evidently cadmium-induced necroses occurred in the grafts. As is the generally acknowledged, the tissue selectively sensitive to cadmium is the original endothelium of testicular vessels. Therefore the results of the study can be summarized as follows: 1) In the transplanted testicles the original vessels and their endothelium survive for at least 8 weeks. 2) Under the experimental conditions used here, the original vasculature of the graft joins with the vascular system of the host.

摘要

将新生大鼠的睾丸皮下移植到成年雄性大鼠的外耳。4周和8周后,给宿主注射亚毒性剂量的氯化镉。此后48小时,移植组织中出现局灶性但明显由镉诱导的坏死。如大家普遍所知,对镉选择性敏感的组织是睾丸血管的原始内皮。因此,该研究结果可总结如下:1)在移植的睾丸中,原始血管及其内皮至少存活8周。2)在此处使用的实验条件下,移植组织的原始脉管系统与宿主的血管系统相连。

https://cdn.ncbi.nlm.nih.gov/pmc/blobs/5157/2042477/d5e4f895009e/amjpathol00237-0031-a.jpg

文献检索

告别复杂PubMed语法,用中文像聊天一样搜索,搜遍4000万医学文献。AI智能推荐,让科研检索更轻松。

立即免费搜索

文件翻译

保留排版,准确专业,支持PDF/Word/PPT等文件格式,支持 12+语言互译。

免费翻译文档

深度研究

AI帮你快速写综述,25分钟生成高质量综述,智能提取关键信息,辅助科研写作。

立即免费体验