• 文献检索
  • 文档翻译
  • 深度研究
  • 学术资讯
  • Suppr Zotero 插件Zotero 插件
  • 邀请有礼
  • 套餐&价格
  • 历史记录
应用&插件
Suppr Zotero 插件Zotero 插件浏览器插件Mac 客户端Windows 客户端微信小程序
定价
高级版会员购买积分包购买API积分包
服务
文献检索文档翻译深度研究API 文档MCP 服务
关于我们
关于 Suppr公司介绍联系我们用户协议隐私条款
关注我们

Suppr 超能文献

核心技术专利:CN118964589B侵权必究
粤ICP备2023148730 号-1Suppr @ 2026

文献检索

告别复杂PubMed语法,用中文像聊天一样搜索,搜遍4000万医学文献。AI智能推荐,让科研检索更轻松。

立即免费搜索

文件翻译

保留排版,准确专业,支持PDF/Word/PPT等文件格式,支持 12+语言互译。

免费翻译文档

深度研究

AI帮你快速写综述,25分钟生成高质量综述,智能提取关键信息,辅助科研写作。

立即免费体验

Viruslike particles in nuclei of cultured plant cells which have lost the ability to differentiate.

作者信息

Sjolund R D, Shih C Y

出版信息

Proc Natl Acad Sci U S A. 1970 May;66(1):25-31. doi: 10.1073/pnas.66.1.25.

DOI:10.1073/pnas.66.1.25
PMID:5273899
原文链接:https://pmc.ncbi.nlm.nih.gov/articles/PMC286082/
Abstract

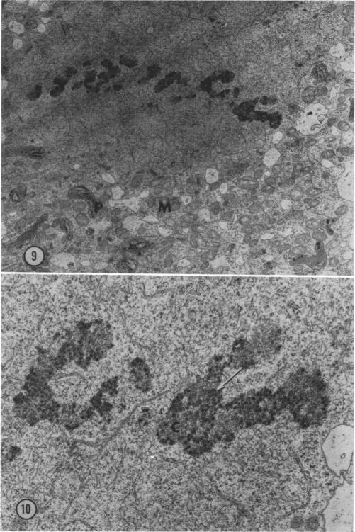
A line of cultured plant cells used to study cell differentiation and organ initiation over a period of several years has lost its ability to differentiate. Examination of these proliferating cells by electron microscopy reveals aggregates of 600-A polyhedral particles in the nucleoli and heterochromatic regions of interphase nuclei. During mitosis and cell division the same particles are present on the chromosomes and are segregated into the daughter cells. Although the nucleoli and nuclear envelope are absent during mitosis, the particles remain associated with the chromosomes and do not appear in the cytoplasm. The morphological similarity of these particles to several known plant viruses suggests that the nuclear particles may represent a viral infection. The relationship between these particles and the loss of differentiation ability is discussed with reference to the production of carcinomas and the transformation of animal cells by viruses.

摘要
https://cdn.ncbi.nlm.nih.gov/pmc/blobs/5cd8/286082/929ecad2ce57/pnas00096-0040-a.jpg
https://cdn.ncbi.nlm.nih.gov/pmc/blobs/5cd8/286082/86f97d565450/pnas00096-0037-a.jpg
https://cdn.ncbi.nlm.nih.gov/pmc/blobs/5cd8/286082/fa4c31613de1/pnas00096-0038-a.jpg
https://cdn.ncbi.nlm.nih.gov/pmc/blobs/5cd8/286082/929ecad2ce57/pnas00096-0040-a.jpg
https://cdn.ncbi.nlm.nih.gov/pmc/blobs/5cd8/286082/86f97d565450/pnas00096-0037-a.jpg
https://cdn.ncbi.nlm.nih.gov/pmc/blobs/5cd8/286082/fa4c31613de1/pnas00096-0038-a.jpg
https://cdn.ncbi.nlm.nih.gov/pmc/blobs/5cd8/286082/929ecad2ce57/pnas00096-0040-a.jpg

相似文献

1
Viruslike particles in nuclei of cultured plant cells which have lost the ability to differentiate.
Proc Natl Acad Sci U S A. 1970 May;66(1):25-31. doi: 10.1073/pnas.66.1.25.
2
Particles and associated inclusions in sugarbeet infected with the curly top virus.感染曲顶病毒的甜菜中的颗粒及相关内含物。
Virology. 1973 Dec;56(2):454-64. doi: 10.1016/0042-6822(73)90049-4.
3
Distribution of viruslike particles in leaf cells of Dianthus barbatus infected with carnation vein mottle virus.
Virology. 1970 Apr;40(4):868-81. doi: 10.1016/0042-6822(70)90133-9.
4
Electron microscopy of viruslike particles associated with necrotic fleck of Lilium longiflorum.
J Ultrastruct Res. 1969 Apr;27(1):198-204.
5
The eleven stages of the cell cycle, with emphasis on the changes in chromosomes and nucleoli during interphase and mitosis.细胞周期的十一个阶段,重点关注间期和有丝分裂期间染色体和核仁的变化。
Anat Rec. 1998 Nov;252(3):426-43. doi: 10.1002/(SICI)1097-0185(199811)252:3<426::AID-AR11>3.0.CO;2-3.
6
Short, rod-like particles associated with Citrus leprosis.与柑橘麻风病相关的短杆状颗粒。
Virology. 1972 Oct;50(1):254-8. doi: 10.1016/0042-6822(72)90366-2.
7
A cytological comparison of inclusions as a basis for distinguishing two filamentous legume viruses.作为区分两种丝状豆科病毒基础的内含体的细胞学比较。
J Gen Virol. 1972 May;15(2):113-8. doi: 10.1099/0022-1317-15-2-113.
8
Electron microscopy of sowthistle yellow vein virus in cells of sowthistle plants.苦苣菜黄脉病毒在苦苣菜植物细胞中的电子显微镜观察
Virology. 1972 Jun;48(3):739-48. doi: 10.1016/0042-6822(72)90157-2.
9
The fine structure of the nucleolus in mitotic divisions of Chinese hamster cells in vitro.体外培养的中国仓鼠细胞有丝分裂过程中核仁的精细结构。
J Cell Biol. 1965 Nov;27(2):411-22. doi: 10.1083/jcb.27.2.411.
10
The in vivo behaviour of twenty-four strains of alfalfa mosaic virus.二十四株苜蓿花叶病毒的体内行为
Virology. 1970 Nov;42(3):753-72. doi: 10.1016/0042-6822(70)90321-1.

引用本文的文献

1
Photosynthetic activity and membrane polypeptide composition of supergranal chloroplasts from plant tissue cultures containing a viruslike particle.含类似病毒颗粒的植物组织培养中超粒叶绿体的光合活性和膜多肽组成。
Plant Physiol. 1975 Mar;55(3):520-5. doi: 10.1104/pp.55.3.520.
2
Freeze-fracture studies of photosynthetically deficient "supergranal" chloroplasts in tissue cultures containing virus-like particles.对含有病毒样颗粒的组织培养物中光合缺陷型“超基粒”叶绿体的冷冻断裂研究。
J Cell Biol. 1974 Jan;60(1):285-92. doi: 10.1083/jcb.60.1.285.

本文引用的文献

1
GROWTH AND ORGANIZATION IN FREE CELL CULTURES.游离细胞培养中的生长与组织
Brookhaven Symp Biol. 1964 Mar;16:73-88.
2
Characteristics of an assay for Rous sarcoma virus and Rous sarcoma cells in tissue culture.组织培养中劳斯肉瘤病毒和劳斯肉瘤细胞检测方法的特点。
Virology. 1958 Dec;6(3):669-88. doi: 10.1016/0042-6822(58)90114-4.
3
Chemical regulation of growth and organ formation in plant tissues cultured in vitro.体外培养植物组织中生长和器官形成的化学调控
Symp Soc Exp Biol. 1957;11:118-30.
4
A low-viscosity epoxy resin embedding medium for electron microscopy.一种用于电子显微镜的低粘度环氧树脂包埋介质。
J Ultrastruct Res. 1969 Jan;26(1):31-43. doi: 10.1016/s0022-5320(69)90033-1.
5
Cell transformation by polyoma virus and SV40.多瘤病毒和猿猴空泡病毒40所致的细胞转化
Nature. 1969 Dec 13;224(5224):1069-71. doi: 10.1038/2241069a0.