Suppr超能文献

实验性高血压早期大血管病变的形态学

Morphology of early large vessel lesions in experimental hypertension.

作者信息

Veress B, Kóczé A, Jellinek H

出版信息

Br J Exp Pathol. 1969 Dec;50(6):600-4.

Abstract

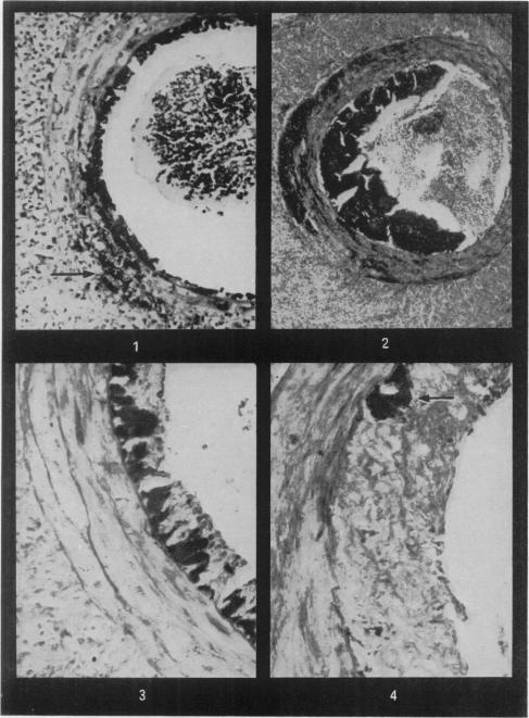
Lesions of the aorta and large muscular arteries were examined in experimental hypertension of the albino rat. In contradiction to the published data the earliest hypertensive lesion was a small artery type subendothelial fibrinoid and necrosis of single smooth muscle cells in the media and not an intimal thickening. In the large vessels such changes developed only after long periods of hypertension. No lesion corresponding to the media fibrinoid of small vessels was found in the large muscular vessels or in the aorta, owing apparently to inhibition of a greater penetration of plasma by the elastic fibres. This barrier role may in addition account for the absence of perivascular granulation around the aorta. In a later stage of the process, macrophages appeared in the subendothelial fibrinoid, phagocytosed it, and gave rise to intimal proliferation analogous to the intimal thickening in small vessels.

摘要

在白化大鼠实验性高血压模型中,对主动脉和大型肌性动脉的病变进行了检查。与已发表的数据相反,最早出现的高血压病变是小动脉型内皮下纤维蛋白样变性以及中膜单个平滑肌细胞坏死,而非内膜增厚。在大血管中,此类变化仅在高血压持续很长时间后才会出现。在大型肌性血管或主动脉中未发现与小血管中膜纤维蛋白样病变相对应的病变,这显然是由于弹性纤维对血浆更大穿透的抑制作用。这种屏障作用可能还解释了主动脉周围缺乏血管周围肉芽组织的原因。在病变后期,巨噬细胞出现在内皮下纤维蛋白样物质中,将其吞噬,并引发类似于小血管内膜增厚的内膜增殖。

https://cdn.ncbi.nlm.nih.gov/pmc/blobs/8516/2072176/46dcc6104b8f/brjexppathol00438-0110-a.jpg

文献AI研究员

20分钟写一篇综述,助力文献阅读效率提升50倍。

立即体验

用中文搜PubMed

大模型驱动的PubMed中文搜索引擎

马上搜索

文档翻译

学术文献翻译模型,支持多种主流文档格式。

立即体验