Suppr超能文献

“小菌落阴性”粟酒裂殖酵母972h-的分离型呼吸缺陷突变体。

Segregational respiratory-deficient mutants of a "petite negative" yeast Schizosaccharomyces pombe 972h-.

作者信息

Heslot H, Louis C, Goffeau A

出版信息

J Bacteriol. 1970 Oct;104(1):482-91. doi: 10.1128/jb.104.1.482-491.1970.

Abstract

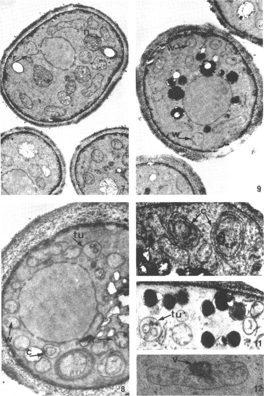
No viable respiratory-deficient mutants of Schizosaccharomyces pombe 972h(-) could be obtained by acriflavine and ethidium bromide treatments. These mutagens induce 15 to 70% of microcolonies which, after a growth-lag of a few days, further develop into normal, respiratory-competent colonies. These results suggest that unstable petites were induced. Segregational respiratory-deficient mutants resistant to cobalt sulfate inhibition were isolated. Some of these strains are deficient in cytochrome a + a(3) and respire at low rates. The morphology of their mitochondrial membranes is modified: either the cristae are absent or they show aberrant concentric or tubular structures. Segregational mutants resistant to the respiratory inhibitors, 2,4-dinitrophenol or decamethylene diguanidine, were obtained. Neither mitochondrial structure nor function seems to be modified in these mutants. A segregational mutant resistant to benzimidazole inhibition does not grow on glycerol, although neither growth on glucose nor respiration appear to be affected.

摘要

通过吖啶黄素和溴化乙锭处理,未能获得粟酒裂殖酵母972h(-)的可存活的呼吸缺陷型突变体。这些诱变剂可诱导15%至70%的小菌落,经过几天的生长滞后期后,进一步发育成正常的、具有呼吸能力的菌落。这些结果表明诱导出了不稳定的小菌落。分离出了对硫酸钴抑制有抗性的分离型呼吸缺陷型突变体。其中一些菌株缺乏细胞色素a + a(3),呼吸速率较低。它们线粒体膜的形态发生了改变:要么没有嵴,要么显示出异常的同心或管状结构。获得了对呼吸抑制剂2,4-二硝基苯酚或十亚甲基二胍有抗性的分离型突变体。这些突变体的线粒体结构和功能似乎均未改变。一个对苯并咪唑抑制有抗性的分离型突变体在甘油上不生长,尽管在葡萄糖上的生长和呼吸似乎均未受影响。

https://cdn.ncbi.nlm.nih.gov/pmc/blobs/8f8f/248233/eae571764f59/jbacter00376-0517-a.jpg

文献检索

告别复杂PubMed语法,用中文像聊天一样搜索,搜遍4000万医学文献。AI智能推荐,让科研检索更轻松。

立即免费搜索

文件翻译

保留排版,准确专业,支持PDF/Word/PPT等文件格式,支持 12+语言互译。

免费翻译文档

深度研究

AI帮你快速写综述,25分钟生成高质量综述,智能提取关键信息,辅助科研写作。

立即免费体验