• 文献检索
  • 文档翻译
  • 深度研究
  • 学术资讯
  • Suppr Zotero 插件Zotero 插件
  • 邀请有礼
  • 套餐&价格
  • 历史记录
应用&插件
Suppr Zotero 插件Zotero 插件浏览器插件Mac 客户端Windows 客户端微信小程序
定价
高级版会员购买积分包购买API积分包
服务
文献检索文档翻译深度研究API 文档MCP 服务
关于我们
关于 Suppr公司介绍联系我们用户协议隐私条款
关注我们

Suppr 超能文献

核心技术专利:CN118964589B侵权必究
粤ICP备2023148730 号-1Suppr @ 2026

文献检索

告别复杂PubMed语法,用中文像聊天一样搜索,搜遍4000万医学文献。AI智能推荐,让科研检索更轻松。

立即免费搜索

文件翻译

保留排版,准确专业,支持PDF/Word/PPT等文件格式,支持 12+语言互译。

免费翻译文档

深度研究

AI帮你快速写综述,25分钟生成高质量综述,智能提取关键信息,辅助科研写作。

立即免费体验

肝转移性血管内皮肉瘤导致的心包填塞

Cardiac tamponade caused by metastasising haemangioendothelial sarcoma of the liver.

作者信息

Syed S, Jung R T

出版信息

Br Heart J. 1978 Jun;40(6):697-9. doi: 10.1136/hrt.40.6.697.

DOI:10.1136/hrt.40.6.697
PMID:566108
原文链接:https://pmc.ncbi.nlm.nih.gov/articles/PMC483469/
Abstract

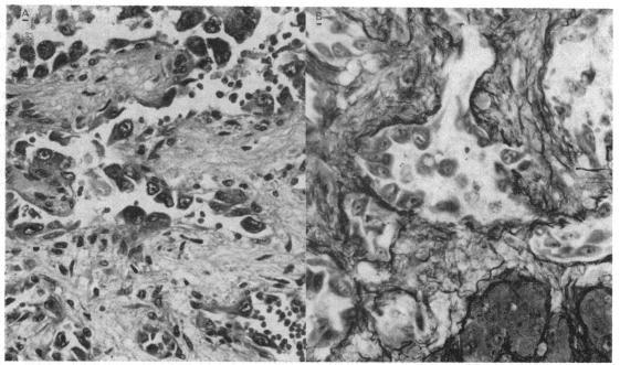
A case of primary haemangiosarcoma of the liver with secondary deposits in the pericardium is described. The patient presented most unusually with cardiac tamponade. There was no association with vinyl chloride, thorium dioxide, or arsenic.

摘要

本文描述了一例原发性肝血管肉瘤并心包继发性转移的病例。该患者表现极为罕见,以心脏压塞为症状。其发病与氯乙烯、二氧化钍或砷无关。

https://cdn.ncbi.nlm.nih.gov/pmc/blobs/26ea/483469/8cf7432d8295/brheartj00220-0110-b.jpg
https://cdn.ncbi.nlm.nih.gov/pmc/blobs/26ea/483469/495c778c256f/brheartj00220-0110-a.jpg
https://cdn.ncbi.nlm.nih.gov/pmc/blobs/26ea/483469/8cf7432d8295/brheartj00220-0110-b.jpg
https://cdn.ncbi.nlm.nih.gov/pmc/blobs/26ea/483469/495c778c256f/brheartj00220-0110-a.jpg
https://cdn.ncbi.nlm.nih.gov/pmc/blobs/26ea/483469/8cf7432d8295/brheartj00220-0110-b.jpg

相似文献

1
Cardiac tamponade caused by metastasising haemangioendothelial sarcoma of the liver.肝转移性血管内皮肉瘤导致的心包填塞
Br Heart J. 1978 Jun;40(6):697-9. doi: 10.1136/hrt.40.6.697.
2
Angiosarcoma of the pericardium presenting as hemorrhagic pleuropericarditis, cardiac tamponade, and thromboembolic phenomena.表现为出血性胸膜心包炎、心脏压塞和血栓栓塞现象的心包血管肉瘤。
Int J Cardiol. 2007 Jan 31;115(1):e8-9. doi: 10.1016/j.ijcard.2006.06.034. Epub 2006 Aug 10.
3
[Primary right atrial hemangiosarcoma manifesting as cardiac tamponade: a case report with transesophageal echocardiography].[表现为心脏压塞的原发性右心房血管肉瘤:一例经食管超声心动图病例报告]
J Cardiol. 1996 Jun;27(6):329-33.
4
[Cardiac tamponade due to angiosarcoma--was surgical treatment necessary? A case report].[血管肉瘤导致的心包填塞——是否有必要进行手术治疗?一例病例报告]
Kardiol Pol. 2006 Dec;64(12):1426-7.
5
[Primary cardiac angiosarcoma in the right atrium with cardiac tamponade].[右心房原发性心脏血管肉瘤伴心脏压塞]
Kyobu Geka. 2014 Feb;67(2):125-9.
6
[A case of the right atrium-originating hemangiosarcoma manifested by cardiac tamponade].[一例以心脏压塞为表现的右心房起源血管肉瘤]
Nihon Naika Gakkai Zasshi. 1989 Oct;78(10):1488-9. doi: 10.2169/naika.78.1488.
7
A case of primary cardiac angiosarcoma: extensive right atrial wall reconstruction with autologous pericardium.一例原发性心脏血管肉瘤:应用自体心包进行广泛右心房壁重建。
J Card Surg. 2010 May;25(3):282-4. doi: 10.1111/j.1540-8191.2009.00910.x. Epub 2009 Oct 12.
8
Angiosarcoma of the heart presenting as recurrent cardiac tamponade.表现为复发性心脏压塞的心脏血管肉瘤
J Assoc Physicians India. 2001 Jun;49:662-3.
9
[A case report of cardiac angiosarcoma presented with recurrent pericardial effusion and cardiac tamponade].[一例以复发性心包积液和心脏压塞为表现的心脏血管肉瘤病例报告]
Zhonghua Xin Xue Guan Bing Za Zhi. 2014 Aug;42(8):699-700.
10
[A case of primary cardiac angiosarcoma associated with cardiac tamponade].[一例原发性心脏血管肉瘤合并心脏压塞]
Gan To Kagaku Ryoho. 2011 Aug;38(8):1353-5.

引用本文的文献

1
Angiosarcoma of the liver: annual occurrence and aetiology in Great Britain.肝脏血管肉瘤:英国的年发病率及病因
Br J Ind Med. 1980 Aug;37(3):213-21. doi: 10.1136/oem.37.3.213.

本文引用的文献

1
Endothelial-Cell Sarcoma of Liver Following Thorotrast Injections.钍造影剂注射后发生的肝脏内皮细胞肉瘤
Am J Pathol. 1947 Jul;23(4):585-611.
2
[Arsenic, liver and tumors; hemangioendothelioma].[砷、肝脏与肿瘤;血管内皮瘤]
Z Krebsforsch. 1957;61(5):468-503.
3
Angiosarcoma of liver in the manufacture of polyvinyl chloride.氯乙烯制造过程中发生的肝血管肉瘤。
J Occup Med. 1974 Mar;16(3):150-1.
4
Haemangio-endothelial sarcoma of the liver.肝血管内皮肉瘤
J Pathol. 1973 Jan;109(1):39-44. doi: 10.1002/path.1711090105.
5
Primary cardiac angiosarcoma.原发性心脏血管肉瘤
Isr J Med Sci. 1974 May;10(5):525-8.
6
Hemangiosarcoma of the liver. Spectrum of morphologic changes and clinical findings.肝血管肉瘤。形态学改变及临床发现的范围
Mayo Clin Proc. 1975 May;50(5):255-63.
7
Pathology of angiosarcoma of the liver among vinyl chloride-polyvinyl chloride workers.氯乙烯-聚氯乙烯工人中肝血管肉瘤的病理学
Ann N Y Acad Sci. 1975 Jan 31;246:268-77. doi: 10.1111/j.1749-6632.1975.tb51102.x.
8
Primary angiosarcoma of the heart.原发性心脏血管肉瘤
Cancer. 1976 Feb;37(2):891-4. doi: 10.1002/1097-0142(197602)37:2<891::aid-cncr2820370238>3.0.co;2-g.