Keen G, Bradbrook R A, McGinn F
Thorax. 1969 Jan;24(1):25-31. doi: 10.1136/thx.24.1.25.
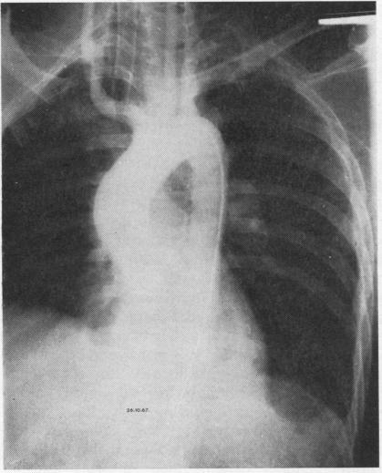
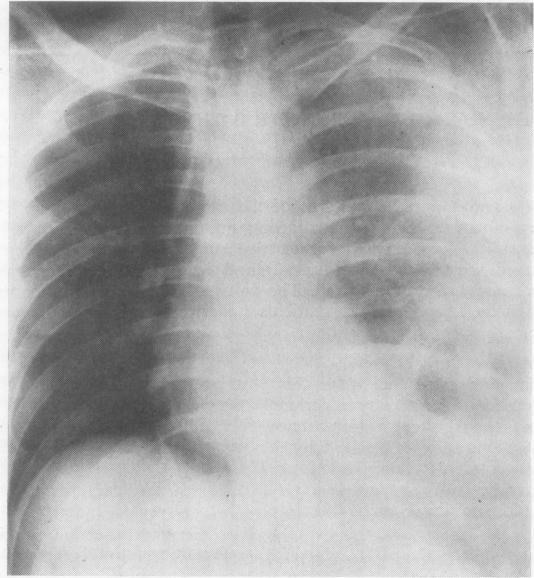
Seven patients who had traumatic ruptures of the thoracic aorta are reported. Four of these died within a few hours of admission, allowing no opportunity for diagnosis or treatment. However, three survived long enough for elective surgery to be undertaken. A diagnosis of ruptured aorta was missed in one patient (case 2), and the difficulties of diagnosing this condition, even during thoracotomy, are emphasized. The value of serial chest radiography and forward aortography is discussed. Two of these patients underwent successful aortic repair, using left atrio-femoral bypass.