Suppr超能文献

色素痣。交界成分的诱导性改变。

Pigmented nevi. Induced changes in the junctional component.

作者信息

Cox A J, Walton R G

出版信息

Calif Med. 1966 Jan;104(1):32-4.

Abstract

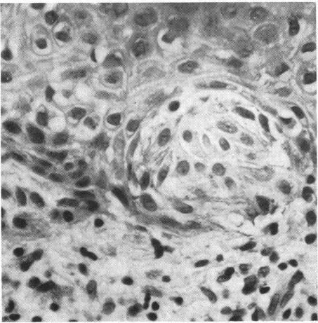
The pigmented nevus represents a potentially more dynamic lesion than has been indicated by most published studies. New nevus cell clusters frequently appear in the epidermis over the residual portion of a nevus that remains after partial surgical excision. Even in relatively inactive nevi in adults, new junctional nevus cells may be induced by surgical trauma. This stimulated growth usually regresses by the time one year or more has elapsed. The growth of nevus cells is probably comparable to that induced in other cells by traumatic injury. There is no evidence to suggest that it is related to the development of melanoma in pigmented nevi.

摘要

色素痣是一种潜在的比大多数已发表研究所指出的更具动态变化的病变。新的痣细胞簇经常出现在部分手术切除后残留痣的表皮部分。即使在成年人相对不活跃的痣中,手术创伤也可能诱导新的交界痣细胞产生。这种刺激生长通常在一年或更长时间后消退。痣细胞的生长可能与创伤性损伤诱导其他细胞的生长类似。没有证据表明它与色素痣中黑色素瘤的发生有关。

https://cdn.ncbi.nlm.nih.gov/pmc/blobs/6f85/1516182/65cf15905176/califmed00055-0035-a.jpg

文献AI研究员

20分钟写一篇综述,助力文献阅读效率提升50倍。

立即体验

用中文搜PubMed

大模型驱动的PubMed中文搜索引擎

马上搜索

文档翻译

学术文献翻译模型,支持多种主流文档格式。

立即体验