• 文献检索
  • 文档翻译
  • 深度研究
  • 学术资讯
  • Suppr Zotero 插件Zotero 插件
  • 邀请有礼
  • 套餐&价格
  • 历史记录
应用&插件
Suppr Zotero 插件Zotero 插件浏览器插件Mac 客户端Windows 客户端微信小程序
定价
高级版会员购买积分包购买API积分包
服务
文献检索文档翻译深度研究API 文档MCP 服务
关于我们
关于 Suppr公司介绍联系我们用户协议隐私条款
关注我们

Suppr 超能文献

核心技术专利:CN118964589B侵权必究
粤ICP备2023148730 号-1Suppr @ 2026

文献检索

告别复杂PubMed语法,用中文像聊天一样搜索,搜遍4000万医学文献。AI智能推荐,让科研检索更轻松。

立即免费搜索

文件翻译

保留排版,准确专业,支持PDF/Word/PPT等文件格式,支持 12+语言互译。

免费翻译文档

深度研究

AI帮你快速写综述,25分钟生成高质量综述,智能提取关键信息,辅助科研写作。

立即免费体验

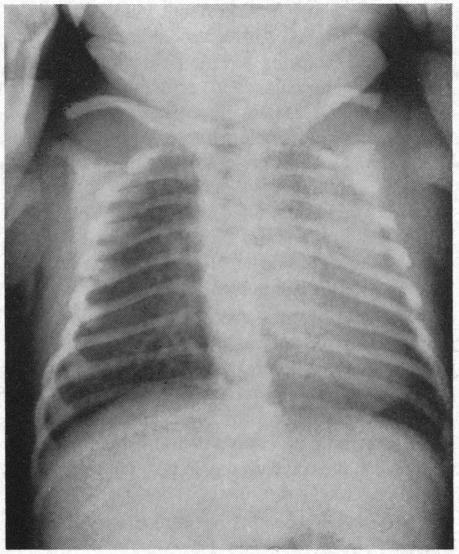
Syndrome of cyanosis, symmetry and splenic agenesis.

作者信息

Ziering W H, Larson R K

出版信息

Calif Med. 1966 Feb;104(2):120-3.

PMID:5909868
原文链接:https://pmc.ncbi.nlm.nih.gov/articles/PMC1516457/
Abstract
摘要
https://cdn.ncbi.nlm.nih.gov/pmc/blobs/5bca/1516457/4496de69c2a9/califmed00056-0045-b.jpg
https://cdn.ncbi.nlm.nih.gov/pmc/blobs/5bca/1516457/1db5650c3523/califmed00056-0045-a.jpg
https://cdn.ncbi.nlm.nih.gov/pmc/blobs/5bca/1516457/4496de69c2a9/califmed00056-0045-b.jpg
https://cdn.ncbi.nlm.nih.gov/pmc/blobs/5bca/1516457/1db5650c3523/califmed00056-0045-a.jpg
https://cdn.ncbi.nlm.nih.gov/pmc/blobs/5bca/1516457/4496de69c2a9/califmed00056-0045-b.jpg

相似文献

1
Syndrome of cyanosis, symmetry and splenic agenesis.青紫、对称及脾缺如综合征。
Calif Med. 1966 Feb;104(2):120-3.
2
[Cyanogenic cardiopathy with splenic agenesis (a case of bilocular heart with dextrocardia and visceral symmetry].[伴有脾缺如的氰化物中毒性心脏病(一例右位心伴内脏对称的双腔心)]
Mars Med. 1970;107(8):559-68.
3
[The asplenia (Ivemark) syndrome. On the differential diagnosis of congenital heart defects with cynosis in infancy].[无脾(艾维马克)综合征。关于婴儿期先天性青紫型心脏缺陷的鉴别诊断]
Monatsschr Kinderheilkd (1902). 1966 May;114(5):318-22.
4
Early detection of Berry syndrome in a newborn with differential cyanosis.一名患有差异性发绀的新生儿中贝里综合征的早期检测。
Chin Med J (Engl). 2006 Sep 5;119(17):1485-8.
5
[Differential diagnosis of heart defects with cyanosis in the newborn infant].[新生儿期伴有发绀的心脏缺陷的鉴别诊断]
Kinderarztl Prax. 1975 Mar;43(3):119-30.
6
[Atresia of the aortic valve--differential diagnosis in cyanosis in the newborn infant].[主动脉瓣闭锁——新生儿青紫的鉴别诊断]
Padiatr Grenzgeb. 1972;11(5):401-9.
7
[Splenic anomalies and congenital heart disease].
Harefuah. 1981 Jan 1;100(1):1-5.
8
[Syndrome of visceral symmetry. 12 children with the Ivemark syndrome].[内脏对称综合征。12例患有伊夫马克综合征的儿童]
Cesk Pediatr. 1970 Feb;25(2):89-93.
9
[The approach to the cyanotic newborn and the differential diagnosis of congenital cyanotic heart disease].[青紫型新生儿的处理及先天性青紫型心脏病的鉴别诊断]
Harefuah. 1985 Jan 1;108(1):23-8.
10
Congenital cardiac defects: assessment and case finding.
Am J Nurs. 1978 Feb;78(2):256-61.

本文引用的文献

1
The symmetrical liver as a roentgen sign of asplenia.对称肝脏作为无脾症的一种X线征象。
Circulation. 1962 Jun;25:973-5. doi: 10.1161/01.cir.25.6.973.
2
ASPLENIA: REPORT OF A CASE DIAGNOSED ANTEMORTEM ON THE BASIS OF ROENTGENOGRAMS.无脾症:一例根据X线照片生前诊断的病例报告
Radiology. 1964 Feb;82:258-61. doi: 10.1148/82.2.258.
3
Cardiac clinics. CXLVIII. Congenital cardiac disease and asplenia; report of seven cases.心脏科临床病例。第148例。先天性心脏病与无脾症;七例报告
Proc Staff Meet Mayo Clin. 1957 May 29;32(11):277-86.
4
Congenital absence of the spleen and associated anomalies.先天性无脾及相关异常。
Am J Clin Pathol. 1956 May;26(5):429-70. doi: 10.1093/ajcp/26.5.429.